HPA001654
Anti-APOH antibody produced in rabbit

Prestige Antibodies® Powered by Atlas Antibodies, affinity isolated antibody, buffered aqueous glycerol solution
Synonym(s):
Anti-β-2-Glycoprotein I antibody produced in rabbit, Anti-β2-GPI antibody produced in rabbit, Anti-β2-Glycoprotein 1 precursor antibody produced in rabbit, Anti-β2-Glycoprotein I antibody produced in rabbit, Anti-APC inhibitor antibody produced in rabbit, Anti-Activated protein C-binding protein antibody produced in rabbit, Anti-Anticardiolipin cofactor antibody produced in rabbit, Anti-Apo-H antibody produced in rabbit, Anti-Apolipoprotein H antibody produced in rabbit, Anti-B2GPI antibody produced in rabbit
biological source
rabbit
Quality Level
conjugate
unconjugated
antibody form
affinity isolated antibody
antibody product type
primary antibodies
clone
polyclonal
product line
Prestige Antibodies® Powered by Atlas Antibodies
form
buffered aqueous glycerol solution
species reactivity
human
enhanced validation
independent
independent
RNAi knockdown
Learn more about Antibody Enhanced Validation
technique(s)
immunoblotting: 0.04-0.4 μg/mL
immunofluorescence: 0.25-2 μg/mL
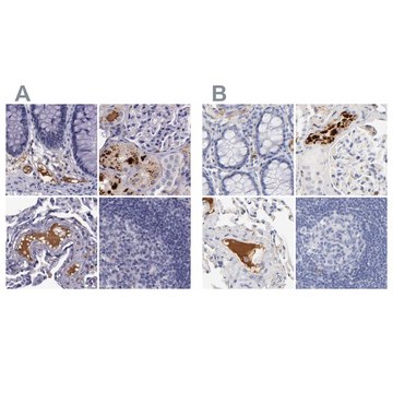
immunohistochemistry: 1:50-1:200
immunogen sequence
ECREVKCPFPSRPDNGFVNYPAKPTLYYKDKATFGCHDGYSLDGPEEIECTKLGNWSAMPSCKASCKVPVKKATVVYQGERVKIQEKFKNGMLHGDKVSFFCKNKEKKCSYTEDAQCIDGTIEVPKCFKEHSSLAFSKTDASDVK
UniProt accession no.
shipped in
wet ice
storage temp.
−20°C
target post-translational modification
unmodified
Gene Information
human ... APOH(350)
Looking for similar products? Visit Product Comparison Guide
General description
Immunogen
Application
The Human Protein Atlas project can be subdivided into three efforts: Human Tissue Atlas, Cancer Atlas, and Human Cell Atlas. The antibodies that have been generated in support of the Tissue and Cancer Atlas projects have been tested by immunohistochemistry against hundreds of normal and disease tissues and through the recent efforts of the Human Cell Atlas project, many have been characterized by immunofluorescence to map the human proteome not only at the tissue level but now at the subcellular level. These images and the collection of this vast data set can be viewed on the Human Protein Atlas (HPA) site by clicking on the Image Gallery link. We also provide Prestige Antibodies® protocols and other useful information.
Biochem/physiol Actions
Features and Benefits
Every Prestige Antibody is tested in the following ways:
- IHC tissue array of 44 normal human tissues and 20 of the most common cancer type tissues.
- Protein array of 364 human recombinant protein fragments.
Physical form
Other Notes
Legal Information
Disclaimer
Not finding the right product?
Try our Product Selector Tool.
Storage Class Code
10 - Combustible liquids
WGK
WGK 1
Flash Point(F)
Not applicable
Flash Point(C)
Not applicable
Personal Protective Equipment
Choose from one of the most recent versions:
Already Own This Product?
Find documentation for the products that you have recently purchased in the Document Library.
Our team of scientists has experience in all areas of research including Life Science, Material Science, Chemical Synthesis, Chromatography, Analytical and many others.
Contact Technical Service