A9044
Anti-Mouse IgG (whole molecule)–Peroxidase antibody produced in rabbit
IgG fraction of antiserum, buffered aqueous solution
Synonym(s):
Anti Mouse Antibody, Anti Mouse Antibody - Anti-Mouse IgG (whole molecule)–Peroxidase antibody produced in rabbit, Anti Mouse Hrp, Anti Mouse Hrp Sigma, Anti Mouse Igg, Sigma Anti Mouse Hrp
biological source
rabbit
Quality Level
conjugate
peroxidase conjugate
antibody form
IgG fraction of antiserum
antibody product type
secondary antibodies
clone
polyclonal
form
buffered aqueous solution
technique(s)
direct ELISA: 1:40,000 using using 5 μg/ml of mouse IgG for coating and OPD substrate
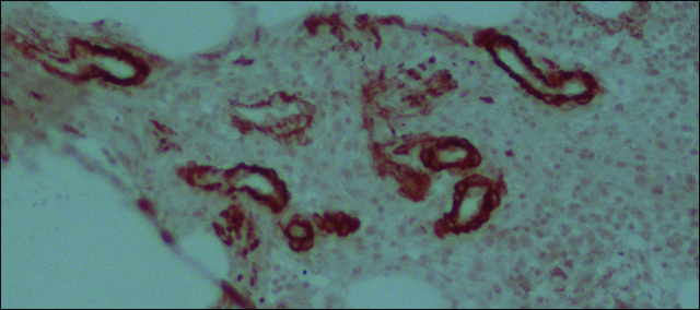
immunohistochemistry (formalin-fixed, paraffin-embedded sections): 1:200
western blot (chemiluminescent): 1:80,000-160,000
shipped in
dry ice
storage temp.
−20°C
target post-translational modification
unmodified
Related Categories
General description
IgG antibody is a glycoprotein, composed of two polypeptide chains (light and heavy), each possessing variable and constant domains. The variable region of IgG antibody is specific to antigens and is highly conserved.
Anti-Mouse IgG (whole molecule)-Peroxidase antibody is specific for all mouse IgG subclasses. IgG is purified from mouse serum by fractionation and ion exchange chromatography. The purified IgG is then conjugated to peroxidase by protein cross-linking with 0.2% glutaraldehyde.
Immunogen
Application
Biochem/physiol Actions
Physical form
Preparation Note
Disclaimer
Not finding the right product?
Try our Product Selector Tool.
Signal Word
Danger
Hazard Statements
Precautionary Statements
Hazard Classifications
Resp. Sens. 1 - Skin Sens. 1
Storage Class Code
12 - Non Combustible Liquids
WGK
WGK 2
Flash Point(F)
Not applicable
Flash Point(C)
Not applicable
Choose from one of the most recent versions:
Already Own This Product?
Find documentation for the products that you have recently purchased in the Document Library.
Articles
Review the key factors that should figure in your decision to choose a secondary antibody. Learn about species, subclass, isotype, label, and more.
Related Content
Instructions
Our team of scientists has experience in all areas of research including Life Science, Material Science, Chemical Synthesis, Chromatography, Analytical and many others.
Contact Technical Service