Skip to Content
Merck

MABT162

Sigma-Aldrich

Anti-Pinch-1 Antibody, clone 9D2.1

clone 9D2.1, from mouse

Synonym(s):

LIM and senescent cell antigen-like-containing domain protein 1, Particularly interesting new Cys-His protein 1, PINCH-1, Renal carcinoma antigen NY-REN-48

Sign Into View Organizational & Contract Pricing

Select a Size


About This Item

UNSPSC Code:
12352203
eCl@ss:
32160702
NACRES:
NA.41
Technical Service
Need help? Our team of experienced scientists is here for you.
Let Us Assist
Technical Service
Need help? Our team of experienced scientists is here for you.
Let Us Assist

biological source

mouse

Quality Level

conjugate

unconjugated

antibody form

purified immunoglobulin

antibody product type

primary antibodies

clone

9D2.1, monoclonal

species reactivity

human, mouse

technique(s)

immunohistochemistry: suitable
western blot: suitable

isotype

IgMκ

NCBI accession no.

UniProt accession no.

shipped in

wet ice

target post-translational modification

unmodified

Gene Information

human ... LIMS1(3987)

General description

Pinch-1 (Particularly interesting new Cys-His protein 1) is also known as LIM and senescent cell antigen-like-containing domain protein 1 (LIMS1). Pinch-1 is expressed in most tissues except for brain. Pinch-1 is an adhesion protein and is part of the ILK-PINCH complex that is involved in integrin and growth factor signaling by coupling surface receptors to downstream signaling molecules related to the regulation of cell survival, cell proliferation and cell differentiation.
~40 kDa observed. Uniprot describes 4 isoforms produced by alternative splicing at ~38 kDa, ~44 kDa, ~37 kDa, and ~42 kDa

Immunogen

KLH-conjugated linear peptide corresponding to human Pinch-1.

Application

Anti-Pinch-1 Antibody, clone 9D2.1 is a highly specific mouse monoclonal antibody, that targets Pinch-1 & has been tested in western blotting & IHC.
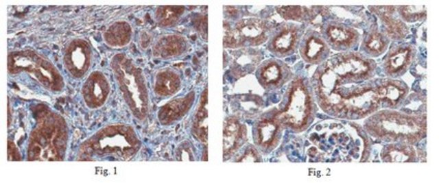
Immunohistochemistry Analysis: A 1:250 dilution from a representative lot detected Pinch-1 in human renal tubules and mouse renal tubules tissue.
Research Category
Cell Structure
Research Sub Category
Adhesion (CAMs)

Physical form

Format: Purified
Purified mouse monoclonal IgMκ in buffer containing PBS with 0.05% sodium azide.

Preparation Note

Stable for 1 year at 2-8°C from date of receipt.

Analysis Note

Control
Human heart tissue lysate
Evaluated by Western Blotting in human heart tissue lysate.

Western Blotting Analysis: 0.5 µg/mL of this antibody detected Pinch-1 in 10 µg of human heart tissue lysate.

Other Notes

Concentration: Please refer to the Certificate of Analysis for the lot-specific concentration.

Disclaimer

Unless otherwise stated in our catalog or other company documentation accompanying the product(s), our products are intended for research use only and are not to be used for any other purpose, which includes but is not limited to, unauthorized commercial uses, in vitro diagnostic uses, ex vivo or in vivo therapeutic uses or any type of consumption or application to humans or animals.

Not finding the right product?  

Try our Product Selector Tool.

Storage Class Code

10 - Combustible liquids

WGK

WGK 2

Flash Point(F)

Not applicable

Flash Point(C)

Not applicable


Certificates of Analysis (COA)

Search for Certificates of Analysis (COA) by entering the products Lot/Batch Number. Lot and Batch Numbers can be found on a product’s label following the words ‘Lot’ or ‘Batch’.

Already Own This Product?

Find documentation for the products that you have recently purchased in the Document Library.

Visit the Document Library

Our team of scientists has experience in all areas of research including Life Science, Material Science, Chemical Synthesis, Chromatography, Analytical and many others.

Contact Technical Service