Skip to Content
Merck

MABS419

Sigma-Aldrich

Anti-BMPR-1A, clone 4B7B2 Antibody

ascites fluid, clone 4B7B2, from mouse

Synonym(s):

Bone morphogenetic protein receptor type-1A, BMP type-1A receptor, BMPR-1A

Sign Into View Organizational & Contract Pricing

Select a Size


About This Item

UNSPSC Code:
12352203
eCl@ss:
32160702
NACRES:
NA.41
Technical Service
Need help? Our team of experienced scientists is here for you.
Let Us Assist
Technical Service
Need help? Our team of experienced scientists is here for you.
Let Us Assist

biological source

mouse

Quality Level

conjugate

unconjugated

antibody form

ascites fluid

antibody product type

primary antibodies

clone

4B7B2, monoclonal

species reactivity

mouse, human

technique(s)

ELISA: suitable
flow cytometry: suitable
immunohistochemistry: suitable
western blot: suitable

isotype

IgG1

UniProt accession no.

shipped in

wet ice

target post-translational modification

unmodified

Gene Information

human ... BMPR1A(657)

Related Categories

General description

BMPR-1A (bone morphogenic protein receptor type 1A) signaling is known to be important for inner root sheath differentiation, hair follicle cycling and tooth development. Mutations in BMPR-1A are a common cause of juvenile polyposis syndrome (JPS). BMPR-1A is expressed in a high quantity during the formation of the primary and secondary palate and the loss of BMPR-1A could be a cause for the cleft palate birth defect.
~65 kDa observed. Uncharacterized bands may be observed in some lysate(s).

Immunogen

Purified recombinant fragment of human BMPR1A expressed in E. Coli

Application

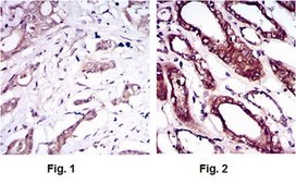
Immunohistochemistry Analysis: A 1:200-1,000 dilution from a representative lot detected BMPR-1A in colon cancer and kidney tissues.

Flow Cytometry Analysis: A 1;200-400 dilution from a representative lot detected BMPR-1A in HeLa cells.

ELISA: A representative lot detected control Antigen (100 ng) and Antigen (10 ng, 50 ng, 100 ng) in ELISA (Direct).
Research Category
Signaling
Research Sub Category
Developmental Signaling
This Anti-BMPR-1A, clone 4B7B2 Antibody is validated for use in western blotting, IHC, flow cytometry & ELISA for the detection of BMPR-1A.

Physical form

Mouse monoclonal IgG1 ascitic fluid containing up to 0.1% sodium azide.
Unpurified

Preparation Note

Stable for 1 year at -20°C from date of receipt.
Handling Recommendations: Upon receipt and prior to removing the cap, centrifuge the vial and gently mix the solution. Aliquot into microcentrifuge tubes and store at -20°C. Avoid repeated freeze/thaw cycles, which may damage IgG and affect product performance.

Analysis Note

Evaluated by Western Blotting in PC-3, K562 and mouse liver lysates.

Western Blotting Analysis: A 1:500-2,000 dilution of this antibody detected BMPR-1A in PC-3, K562 and mouse liver lysates.

Disclaimer

Unless otherwise stated in our catalog or other company documentation accompanying the product(s), our products are intended for research use only and are not to be used for any other purpose, which includes but is not limited to, unauthorized commercial uses, in vitro diagnostic uses, ex vivo or in vivo therapeutic uses or any type of consumption or application to humans or animals.

Not finding the right product?  

Try our Product Selector Tool.

Storage Class Code

12 - Non Combustible Liquids

WGK

nwg

Flash Point(F)

Not applicable

Flash Point(C)

Not applicable


Certificates of Analysis (COA)

Search for Certificates of Analysis (COA) by entering the products Lot/Batch Number. Lot and Batch Numbers can be found on a product’s label following the words ‘Lot’ or ‘Batch’.

Already Own This Product?

Find documentation for the products that you have recently purchased in the Document Library.

Visit the Document Library

Our team of scientists has experience in all areas of research including Life Science, Material Science, Chemical Synthesis, Chromatography, Analytical and many others.

Contact Technical Service