Skip to Content
Merck

MABF2287

Sigma-Aldrich

Anti-IL-13 Antibody, clone 6D11.8.11

Sign Into View Organizational & Contract Pricing

Select a Size


About This Item

UNSPSC Code:
12352203
NACRES:
NA.41
Technical Service
Need help? Our team of experienced scientists is here for you.
Let Us Assist
Technical Service
Need help? Our team of experienced scientists is here for you.
Let Us Assist

biological source

mouse

Quality Level

conjugate

unconjugated

antibody form

purified antibody

antibody product type

primary antibodies

clone

6D11.8.11, monoclonal

mol wt

calculated mol wt 15.82 kDa
observed mol wt ~12 kDa

purified by

using protein G

species reactivity

human

packaging

antibody small pack of 100 μg

technique(s)

immunohistochemistry (formalin-fixed, paraffin-embedded sections): suitable
western blot: suitable

isotype

IgG1κ

epitope sequence

Unknown

Protein ID accession no.

UniProt accession no.

shipped in

2-8°C

target post-translational modification

unmodified

General description

Interleukin-13 (UniProt: P35225; also known as IL-13) is encoded by the IL13 (also known as NC30) gene (Gene ID: 3596) in human. IL-13 is an extracellular/secreted glycoprotein that is synthesized with a signal peptide (aa 1-24), which is subsequently cleaved off to generate the mature form. IL-13 is an immunoregulatory cytokine that is released predominantly by CD4+ and CD8+ T cells and by mast cells and eosinophils and regulates the function of human B cells and monocytes. It is closely related to IL-4 in its biological function but, in general, the responses of cells to IL-13 appear to be smaller in magnitude. Both IL-4 and IL-13, independently of each other, are able to induce IgE antibody production. The intracellular site of storage of IL-13 in eosinophils is associated with the crystalloid granules, indicating that IL-13 is a preformed mediator and is released upon stimulation of degranulation. IL-13 signaling is mediated through a shared multi-subunit heterodimeric receptor complex consisting of IL-4R and IL-13R1. This heterodimerization activates STAT6 and most of the biological effects of IL-13 have been linked to STAT6 activation. IL-13 inhibits the production of pro-inflammatory cytokines but can up-regulate the synthesis of IL-12 in dendritic cells and macrophages. IL-13 is typically associated with allergic inflammation, including asthma. It induces many features of allergic lung disease, including airway hyperresponsiveness, goblet cell metaplasia, and glycoprotein hypersecretion, which all contribute to airway obstruction. (Ref.: Marone, G., et al (2019). Front. Pharmacol. 10; 1387; Van Der Pouw Kraan, TCTM., et al. (1998). Clin. Exp. Immunol. 111(1): 129-135).

Immunogen

Recombinant fragment corresponding to 114 amino acids (aa 33-146) from human Interleukin-13 expressed in CHO cells.

Application

Quality Control Testing

Evaluated by Western Blotting with human recombinant IL-13.

Western Blotting Analysis: A 1:2,000 dilution of this antibody detected human recombinant IL-13.

Tested Applications

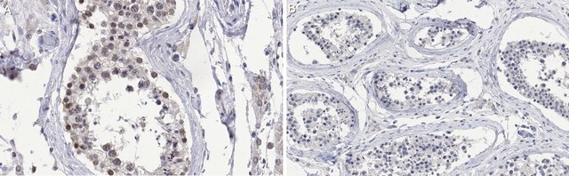
Immunohistochemistry (Paraffin) Analysis: A 1:50 dilution from a representative lot detected IL-13 in human testis tissue sections.

Note: Actual optimal working dilutions must be determined by end user as specimens, and experimental conditions may vary with the end user
Anti-IL-13, clone 6D11.8.11, Cat. No. MABF2287, is a mouse monoclonal antibody that detects Interleukin-13 and is tested for use in Immunohistochemistry (Paraffin) and Western Blotting.

Biochem/physiol Actions

Clone 6D11.8.11 is a mouse monoclonal antibody that detects human Interleukin-13.

Physical form

Purified mouse monoclonal antibody IgG1 in PBS with 0.05% sodium azide.

Preparation Note

Recommend storage at +2°C to +8°C. For long term storage antibodies can be kept at -20°C. Avoid repeated freeze-thaws.

Other Notes

Concentration: Please refer to the Certificate of Analysis for the lot-specific concentration.

Disclaimer

Unless otherwise stated in our catalog or other company documentation accompanying the product(s), our products are intended for research use only and are not to be used for any other purpose, which includes but is not limited to, unauthorized commercial uses, in vitro diagnostic uses, ex vivo or in vivo therapeutic uses or any type of consumption or application to humans or animals.

Not finding the right product?  

Try our Product Selector Tool.

Storage Class Code

12 - Non Combustible Liquids

WGK

WGK 2

Flash Point(F)

Not applicable

Flash Point(C)

Not applicable


Certificates of Analysis (COA)

Search for Certificates of Analysis (COA) by entering the products Lot/Batch Number. Lot and Batch Numbers can be found on a product’s label following the words ‘Lot’ or ‘Batch’.

Already Own This Product?

Find documentation for the products that you have recently purchased in the Document Library.

Visit the Document Library

Our team of scientists has experience in all areas of research including Life Science, Material Science, Chemical Synthesis, Chromatography, Analytical and many others.

Contact Technical Service