Skip to Content
Merck

MABC603

Sigma-Aldrich

Anti-SERPINB5 Antibody, clone 5C6.2

clone 5C6.2, from mouse

Synonym(s):

Serpin B5, SERPINB5, Maspin, Peptidase inhibitor 5, PI-5

Sign Into View Organizational & Contract Pricing

Select a Size


About This Item

UNSPSC Code:
12352203
eCl@ss:
32160702
NACRES:
NA.43
Technical Service
Need help? Our team of experienced scientists is here for you.
Let Us Assist
Technical Service
Need help? Our team of experienced scientists is here for you.
Let Us Assist

biological source

mouse

Quality Level

conjugate

unconjugated

antibody form

purified immunoglobulin

antibody product type

primary antibodies

clone

5C6.2, monoclonal

species reactivity

human

technique(s)

immunohistochemistry: suitable (paraffin)
western blot: suitable

isotype

IgG2bκ

NCBI accession no.

UniProt accession no.

shipped in

dry ice

target post-translational modification

unmodified

Gene Information

human ... SERPINB5(5268)

General description

Serpin B5 (UniProt P36952; also known as Maspin, Peptidase inhibitor 5, PI-5) is encoded by the SERPINB5 (also known as PI5) gene (Gene ID 5268) in human. Serpin B5/Maspin is an evolutionarily conserved serine protease inhibitor that induces apoptosis and inhibits the motility of breast cancer cells. DNA hypermethylation and histone deacetylation lead to silencing of the SERPINB5 gene in human breast cancer.
~42 kDa observed

Immunogen

Epitope: C-terminal half
GST-tagged recombinant protein corresponding to the C-terminal of human SERPINB5.

Application

Research Category
Apoptosis & Cancer
Research Sub Category
Apoptosis - Additional
This Anti-SERPINB5 Antibody, clone 5C6.2 is validated for use in Western Blotting, Immunohistochemistry (Paraffin) for the detection of SERPINB5.
Western Blotting Analysis: 1.0 µg/mL from a representative lot detected SERPINB5 in 10 µg of HT-1080 and HT-29 cell lysates.
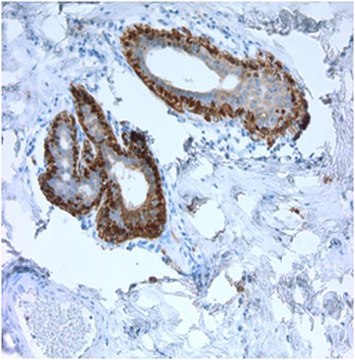
Immunohistochemistry Analysis: A 1:1,000 dilution from a representative lot detected SERPINB5 in human breast tissue.

Biochem/physiol Actions

Does not detect spliced isoform 2 (UniProt P36952-2).

Physical form

Format: Purified
Protein G Purified
Purified mouse monoclonal IgG2bκ antibody in buffer containing 0.1 M Tris-Glycine (pH 7.4), 150 mM NaCl with 0.05% sodium azide.

Preparation Note

Stable for 1 year at 2-8°C from date of receipt.

Analysis Note

Evaluated by Western Blotting in HCT116 cell lysate.

Western Blotting Analysis: 1.0 µg/mL of this antibody detected SERPINB5 in 10 µg of HCT116 cell lysate.

Other Notes

Concentration: Please refer to lot specific datasheet.

Disclaimer

Unless otherwise stated in our catalog or other company documentation accompanying the product(s), our products are intended for research use only and are not to be used for any other purpose, which includes but is not limited to, unauthorized commercial uses, in vitro diagnostic uses, ex vivo or in vivo therapeutic uses or any type of consumption or application to humans or animals.

Not finding the right product?  

Try our Product Selector Tool.

Storage Class Code

12 - Non Combustible Liquids

WGK

WGK 1

Flash Point(F)

Not applicable

Flash Point(C)

Not applicable


Certificates of Analysis (COA)

Search for Certificates of Analysis (COA) by entering the products Lot/Batch Number. Lot and Batch Numbers can be found on a product’s label following the words ‘Lot’ or ‘Batch’.

Already Own This Product?

Find documentation for the products that you have recently purchased in the Document Library.

Visit the Document Library

Related Content

A major focus of breast cancer research is to understand the mechanisms responsible for disease progression and drug resistance. Toward that end, it has been found that approximately two thirds of all human breast carcinomas overexpress the Estrogen Receptor α (ERα) protein and it remains the primary pharmacological target for endocrine therapy1,2. The normal cellular function of ERα is as a transcription factor that mediates a wide variety of physiological processes, many of which are dependent upon phosphorylation of the receptor at specific amino acid residues3,4. Indeed, ERα is known to be phosphorylated at a multitude of different sites, yet how these all correlate to disease remains unclear5. Here, we interrogated multiple sites of ERα for phosphorylation status by screening an extensive panel of different breast cancer patient samples and other non-breast cancer tissue microarray (TMA) slide samples to determine their relevance to disease.

Our team of scientists has experience in all areas of research including Life Science, Material Science, Chemical Synthesis, Chromatography, Analytical and many others.

Contact Technical Service