Skip to Content
Merck

MAB5606Z

Sigma-Aldrich

Anti-GD1a Ganglioside Antibody, clone GD1a-1 (Azide Free)

clone GD1a-1, from mouse

Synonym(s):

GD1a Ganglioside

Sign Into View Organizational & Contract Pricing

Select a Size


About This Item

UNSPSC Code:
12352203
eCl@ss:
32160702
NACRES:
NA.41
Technical Service
Need help? Our team of experienced scientists is here for you.
Let Us Assist
Technical Service
Need help? Our team of experienced scientists is here for you.
Let Us Assist

biological source

mouse

Quality Level

antibody form

purified immunoglobulin

antibody product type

primary antibodies

clone

GD1a-1, monoclonal

species reactivity

bovine, human, fish, mouse, rat

species reactivity (predicted by homology)

vertebrates (based on 100% sequence homology)

technique(s)

ELISA: suitable
immunohistochemistry: suitable (paraffin)

isotype

IgG1κ

shipped in

dry ice

target post-translational modification

unmodified

General description

Gangliosides are sialic acid-containing oligoglycosylceramides. The German scientist Ernst Klenk used the term ganglioside in 1942 to refer to lipids isolated from ganglions. Gangliosides are grouped based on the number of sialic acid residues per molecule, GM gangliosides contain one sialic acid residue, GD gangliosides contain two, GT contain three, GQ contain four sialic acid residues. Glycolipids constitute >80% of mammalian brain glycans, with gangliosides being the major glycans in nerve cells. Among the hundreds of ganglioside structures, GM1a, GD1a, GD1b and GT1b comprise up to 97% of gangliosides in the human brain. These four gangliosides share the same neutral tetrasaccharide core (Galβ1-3GalNAcβ1-4Galβ1-4Glcβ1-1′Cer), but differ from each other by their sialic acid residue(s). GM1a and GD1b contain one or two sialic acids on the internal galactose, respectively, and no sialic acid on the terminal galactose. The St3gal2 and St3gal3 gene products (ST3Gal-II and ST3Gal-III sialyltransferase, respectively) are largely responsible for ganglioside terminal α2-3 sialylation of GM1a and GD1b to produce GD1a and GT1b in the brain. Brain GD1a and GT1b in St3gal2-null mice is about half the level in wild-type mice, while GD1a and GT1b level in St3gal2/3-double-null mice is less than 5% of the level in wild-type mice. St3gal2/3-double-null mice are half the weight of wild-type mice at weaning and display early hindlimb dysreflexia.

Immunogen

KLH-conjugated GD1a ganglioside.

Application

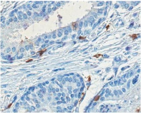
Anti-GD1a Ganglioside Antibody, clone GD1a-1 (Azide Free) is an antibody against GD1a Ganglioside for use in Immunohistochemistry (Paraffin) and Enzyme Immunoassay (ELISA).
Immunohistochemistry Analysis: A 1:50 dilution from a representative lot detected GD1a Ganglioside in human prostate tissue.
ELISA Analysis: Target specificity of a representative lot was determined by ELISA analysis (Gong, Y., et al. (2002). Brain. 125(Pt 11):2491-2506).
Immunohistochemistry Analysis: A representative lot detected GD1a immunoreactivity in fresh-frozenmid-sagittal brain sections from wild-type and St3gal2/3-double-null mice (Sturgill, E.R., et al. (2012). Glycobiology.22(10):1289-1301).
Immunohistochemistry Analysis: A representative lot detected GD1a immunoreactivity in various fish brain regions using free-floating sections (Viljetić, B., et al. (2012). Biochim Biophys Acta. 1820(9):1437-1443).
Immunohistochemistry Analysis: A representative lot detected GD1a in fresh-frozen human and rat brain sections by both fluorescent and non-fluorescent immunohistochemistry (Gong, Y., et al. (2002). Brain. 125(Pt 11):2491-2506).
Immuno-overlay Assay: A representative lot detected bovine brain GD1a, as well as GD1a in human ventral and dorsal root gangliosides extracts (Gong, Y., et al. (2002). Brain. 125(Pt 11):2491-2506).
Research Category
Neuroscience
Research Sub Category
Developmental Neuroscience

Biochem/physiol Actions

GD1a ganglioside. The antibody shows approximately 10% reactivity to GalNAc-GD1a and GT1aα. Preferentially binds to motor myelinated fibers in cross-sections of ventral roots and sciatic nerves.

Physical form

Format: Purified
Protein G Purified
Purified mouse monoclonal IgG1κ antibody in buffer containing PBS with no azide

Preparation Note

Stable for 1 year at -20°C from date of receipt.
Handling Recommendations: Upon receipt and prior to removing the cap, centrifuge the vial and gently mix the solution. Aliquot into microcentrifuge tubes and store at -20°C. Avoid repeated freeze/thaw cycles, which may damage IgG and affect product performance.

Analysis Note

Evaluated by Immunohistochemistry in human heart tissue.

Immunohistochemistry Analysis: A 1:50 dilution of this antibody detected GD1a Ganglioside in human heart tissue.

Other Notes

Concentration: Please refer to lot specific datasheet.
Replaces: MAB5606

Disclaimer

Unless otherwise stated in our catalog or other company documentation accompanying the product(s), our products are intended for research use only and are not to be used for any other purpose, which includes but is not limited to, unauthorized commercial uses, in vitro diagnostic uses, ex vivo or in vivo therapeutic uses or any type of consumption or application to humans or animals.

Not finding the right product?  

Try our Product Selector Tool.

Storage Class Code

12 - Non Combustible Liquids

WGK

WGK 1

Flash Point(F)

Not applicable

Flash Point(C)

Not applicable


Certificates of Analysis (COA)

Search for Certificates of Analysis (COA) by entering the products Lot/Batch Number. Lot and Batch Numbers can be found on a product’s label following the words ‘Lot’ or ‘Batch’.

Already Own This Product?

Find documentation for the products that you have recently purchased in the Document Library.

Visit the Document Library

Biosynthesis of the major brain gangliosides GD1a and GT1b.
Sturgill, ER; Aoki, K; Lopez, PH; Colacurcio, D; Vajn, K; Lorenzini, I; Majic, S; Yang et al.
Glycobiology null
Karin Säljö et al.
Glycobiology, 27(4), 291-305 (2016-12-10)
High expectations are held for human-induced pluripotent stem cells (hiPSC) since they are established from autologous tissues thus overcoming the risk of allogeneic immune rejection when used in regenerative medicine. However, little is known regarding the cell-surface carbohydrate antigen profile
Localization of major gangliosides in the PNS: implications for immune neuropathies.
Gong, Y; Tagawa, Y; Lunn, MP; Laroy, W; Heffer-Lauc, M; Li, CY; Griffin, JW; Schnaar, RL; Sheikh, KA
Brain null
Barbara Viljetić et al.
Biochimica et biophysica acta, 1820(9), 1437-1443 (2011-12-31)
Mono-, di- and trisialo gangliosides are major glycosphingolipids in the brain of higher vertebrates involved in lipid raft assembly. In contrast, the fish brain is abundant in polisialo-gangliosides, whose function is implicated in the modulation of repulsive and attractive intercellular

Related Content

Alzheimer’s Disease is a progressively deteriorating disease. It manifests itself with memory loss, confusion, problems with judgment, planning, concentration, and personality changes; and in it’s later stages, a decline in physical abilities. The disease’s causes, cures, and preventions are unknown; however, key proteins likely involved in the degenerative mechanism have been identified. Alzheimer’s Disease is characterized by neuronal loss, alterations in neurotransmitter systems, and the presence of neurofibrillary tangles composed of abnormally hyperphosphorylated tau proteins. A prominent feature of Alzheimer’s Disease is the formation of senile plaques in selected regions of the brain. The center of these plaques are composed mainly of fibrillary aggregates of a common, but not well understood, b amyloid peptides (Aβ). The Aβ peptides are generated from the larger amyloid-β precursor protein (APP) by the sequential action of β- and γ-secretase, and it is generally accepted that oligomeric forms of this Aβ are neurotoxic, resulting in disease progression.

"Mods – modifications – small alterations can have a big impact on form and function. In the motorsports world, stock vehicles are modified to enhance their performance. Modifications, or mods, to the engine, drive train, intake and exhaust components add up to provide phenomenal performance gains that can be measured as horsepower and torque increases, which yield a competitive advantage, and result in reduced run times. In biology, proteins undergo modifications that alter their function. Some proteins require the modifications in order to perform their function effectively, whether it’s a pro-protein that is cleaved to produce an active enzyme, or a protein that is phosphorylated to facilitate a signaling process. Other proteins, such as histones, undergo modifications that regulate gene expression and alter cellular function. There are several post translational modifications such as acetylation, methylation, phosphorylation, and ubiquitination that impact protein function and activity. As a result, the analysis of proteins and their post-translational modifications are particularly important for the study of normal and disease-associated processes. New antibodies to detect phospho Histidines are now available from EMD Millipore."

Our team of scientists has experience in all areas of research including Life Science, Material Science, Chemical Synthesis, Chromatography, Analytical and many others.

Contact Technical Service