Skip to Content
Merck

MAB5466

Sigma-Aldrich

Anti-Bestrophin Antibody

Chemicon®, from mouse

Synonym(s):

Anti-Anti-ARB, Anti-Anti-BEST, Anti-Anti-BMD, Anti-Anti-Best1V1Delta2, Anti-Anti-RP50, Anti-Anti-TU15B, Anti-Anti-VMD2

Sign Into View Organizational & Contract Pricing

Select a Size


About This Item

UNSPSC Code:
12352203
eCl@ss:
32160702
NACRES:
NA.41
Technical Service
Need help? Our team of experienced scientists is here for you.
Let Us Assist
Technical Service
Need help? Our team of experienced scientists is here for you.
Let Us Assist

biological source

mouse

Quality Level

conjugate

unconjugated

antibody form

purified immunoglobulin

antibody product type

primary antibodies

clone

monoclonal

species reactivity

monkey, pig, mouse, bovine, human

manufacturer/tradename

Chemicon®

technique(s)

immunohistochemistry: suitable
western blot: suitable

isotype

IgG

NCBI accession no.

UniProt accession no.

shipped in

dry ice

target post-translational modification

unmodified

Gene Information

human ... BEST1(7439)

Immunogen

Recombinant human bestrophin protein.

Application

Detect Bestrophin using this Anti-Bestrophin Antibody validated for use in WB, IH.
Research Category
Neuroscience
Research Sub Category
Neurodegenerative Diseases
Western blot: 5 μg/mL of this antibody detected Bestrophin in bovine retina cell lysate.

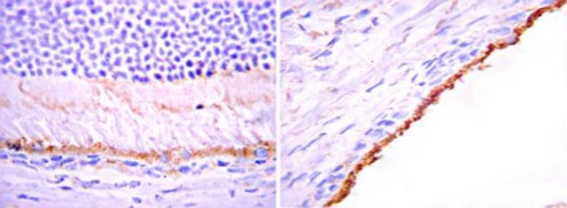
Immunohistochemistry (Paraffin) Analysis: A 1:20 dilution from a representative lot detected Bestrophin in mouse retina tissue sections.

Optimal working dilutions must be determined by end user.

Biochem/physiol Actions

Reacts with bestrophin.

Physical form

Format: Purified
Purified immunoglobulin. Liquid in PBS containing 0.08% sodium azide.

Preparation Note

Maintain at -20°C in undiluted aliquots for up to 6 months after date of receipt. Avoid repeated freeze/thaw cycles.

Other Notes

Concentration: Please refer to the Certificate of Analysis for the lot-specific concentration.

Legal Information

CHEMICON is a registered trademark of Merck KGaA, Darmstadt, Germany

Disclaimer

Unless otherwise stated in our catalog or other company documentation accompanying the product(s), our products are intended for research use only and are not to be used for any other purpose, which includes but is not limited to, unauthorized commercial uses, in vitro diagnostic uses, ex vivo or in vivo therapeutic uses or any type of consumption or application to humans or animals.

Not finding the right product?  

Try our Product Selector Tool.

Storage Class Code

10 - Combustible liquids

WGK

WGK 2

Flash Point(F)

Not applicable

Flash Point(C)

Not applicable


Certificates of Analysis (COA)

Search for Certificates of Analysis (COA) by entering the products Lot/Batch Number. Lot and Batch Numbers can be found on a product’s label following the words ‘Lot’ or ‘Batch’.

Already Own This Product?

Find documentation for the products that you have recently purchased in the Document Library.

Visit the Document Library

Transplantation of human central nervous system stem cells - neuroprotection in retinal degeneration.
Trevor J McGill,Benjamin Cottam,Bin Lu,Shaomei Wang,Sergej Girman,Chunyu Tian et al.
The European Journal of Neuroscience null
Attenuation of choroidal neovascularization by ?(2)-adrenoreceptor antagonism.
Lavine, JA; Sang, Y; Wang, S; Ip, MS; Sheibani, N
JAMA Ophthalmology null
Divya Sinha et al.
American journal of human genetics, 107(2), 278-292 (2020-07-25)
Dominantly inherited disorders are not typically considered to be therapeutic candidates for gene augmentation. Here, we utilized induced pluripotent stem cell-derived retinal pigment epithelium (iPSC-RPE) to test the potential of gene augmentation to treat Best disease, a dominant macular dystrophy
Alvaro Plaza Reyes et al.
Nature communications, 11(1), 1609-1609 (2020-04-02)
In vitro differentiation of human pluripotent stem cells into functional retinal pigment epithelial (RPE) cells provides a potentially unlimited source for cell based reparative therapy of age-related macular degeneration. Although the inherent pigmentation of the RPE cells have been useful
Cynthia Tang et al.
Communications biology, 4(1), 161-161 (2021-02-07)
Mutations in CLN3 lead to photoreceptor cell loss in CLN3 disease, a lysosomal storage disorder characterized by childhood-onset vision loss, neurological impairment, and premature death. However, how CLN3 mutations cause photoreceptor cell death is not known. Here, we show that

Our team of scientists has experience in all areas of research including Life Science, Material Science, Chemical Synthesis, Chromatography, Analytical and many others.

Contact Technical Service