Skip to Content
Merck

MAB3448

Sigma-Aldrich

Anti-Heterochromatin Protein-1 β Antibody, clone 1MOD-1A9

ascites fluid, clone 1MOD-1A9, Chemicon®

Synonym(s):

HP1b

Sign Into View Organizational & Contract Pricing

Select a Size


About This Item

UNSPSC Code:
12352203
eCl@ss:
32160702
NACRES:
NA.41
Technical Service
Need help? Our team of experienced scientists is here for you.
Let Us Assist
Technical Service
Need help? Our team of experienced scientists is here for you.
Let Us Assist

biological source

mouse

Quality Level

conjugate

unconjugated

antibody form

ascites fluid

antibody product type

primary antibodies

clone

1MOD-1A9, monoclonal

species reactivity

mouse, human

manufacturer/tradename

Chemicon®

technique(s)

ELISA: suitable
immunocytochemistry: suitable
immunohistochemistry: suitable
immunoprecipitation (IP): suitable
western blot: suitable

isotype

IgG1

NCBI accession no.

UniProt accession no.

shipped in

dry ice

target post-translational modification

unmodified

Gene Information

human ... CBX1(10951)

General description

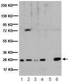
28 kDa
Chromatin assembly factor-1 (CAF-1) is a multisubunit protein complex that comprises three polypeptide subunits known as p150, p60, and p48. CAF-1 is a nucleosome assembly factor that deposits newly synthesized and acetylated histones H3/H4 into nascent chromatin during DNA replication.

Heterochromatin is characterized as densely coiled chromatin that generally replicates late during S phase, has a low gene density, and contains large blocks of repetitive DNA that is relatively inaccessible to DNA-modifying reagents. In late S phase, p150 directly associates with heterochromatin associated proteins 1 (HP1α, HP1β and HP1γ). As cells prepare for mitosis, CAF-1 p150 and some HP1 progressively dissociate from heterochromatin, coinciding with the phosphorylation of histone H3. The HP1 proteins reassociate with chromatin at the end of mitosis, as histone H3 is dephosphorylated.

Immunogen

Recombinant mouse HP1beta.

Application

Use Anti-Heterochromatin Protein-1 β Antibody, clone 1MOD-1A9 (Mouse Monoclonal Antibody) validated in ELISA, ICC, IHC, IP, WB to detect Heterochromatin Protein-1 β also known as HP1b.
Western blot: 1:500-1:5,000


Immunofluorescence: 1:500-1:5,000


Immunohistochemistry: 1:500-1:5,000


Immunoprecipitation: 1:500 - 1:5,000


ELISA: 1:500-1:5,000


Optimal working dilutions must be determined by the end user.

Biochem/physiol Actions

Reacts with Heterochromatin protein-1 b (HP1b).

Analysis Note

Control
HeLa, 293 or NIH/3T3 cell lysates

Other Notes

Concentration: Please refer to the Certificate of Analysis for the lot-specific concentration.

Legal Information

CHEMICON is a registered trademark of Merck KGaA, Darmstadt, Germany

Not finding the right product?  

Try our Product Selector Tool.

Storage Class Code

10 - Combustible liquids

WGK

WGK 1

Flash Point(F)

Not applicable

Flash Point(C)

Not applicable


Certificates of Analysis (COA)

Search for Certificates of Analysis (COA) by entering the products Lot/Batch Number. Lot and Batch Numbers can be found on a product’s label following the words ‘Lot’ or ‘Batch’.

Already Own This Product?

Find documentation for the products that you have recently purchased in the Document Library.

Visit the Document Library

Structural differences in centromeric heterochromatin are spatially reconciled on fertilisation in the mouse zygote.
Aline V Probst, Fatima Santos, Wolf Reik, Genevieve Almouzni, Wendy Dean
Chromosoma null
The chemokine growth-regulated oncogene 1 (Gro-1) links RAS signaling to the senescence of stromal fibroblasts and ovarian tumorigenesis.
Yang, G; Rosen, DG; Zhang, Z; Bast, RC; Mills, GB; Colacino, JA; Mercado-Uribe, I; Liu, J
Proceedings of the National Academy of Sciences of the USA null
Epigenetic regulation of myogenic gene expression by heterochromatin protein 1 alpha.
Sdek, P; Oyama, K; Angelis, E; Chan, SS; Schenke-Layland, K; MacLellan, WR
Testing null
Jmjd1a and Jmjd2c histone H3 Lys 9 demethylases regulate self-renewal in embryonic stem cells.
Loh, YH; Zhang, W; Chen, X; George, J; Ng, HH
Genes & Development null
Essential role of DPPA3 for chromatin condensation in mouse oocytogenesis.
Liu, YJ; Nakamura, T; Nakano, T
Biology of reproduction null

Our team of scientists has experience in all areas of research including Life Science, Material Science, Chemical Synthesis, Chromatography, Analytical and many others.

Contact Technical Service