Skip to Content
Merck

ABT28

Sigma-Aldrich

Anti-Autotaxin Antibody

from rabbit, purified by affinity chromatography

Synonym(s):

Ectonucleotide pyrophosphatase/phosphodiesterase family member 2, E-NPP 2, Autotaxin, Extracellular lysophospholipase D, LysoPLD

Sign Into View Organizational & Contract Pricing

Select a Size


About This Item

UNSPSC Code:
12352203
eCl@ss:
32160702
NACRES:
NA.41
Technical Service
Need help? Our team of experienced scientists is here for you.
Let Us Assist
Technical Service
Need help? Our team of experienced scientists is here for you.
Let Us Assist

biological source

rabbit

Quality Level

conjugate

unconjugated

antibody form

affinity isolated antibody

antibody product type

primary antibodies

clone

polyclonal

purified by

affinity chromatography

species reactivity

human

species reactivity (predicted by homology)

canine (based on 100% sequence homology), mouse (based on 100% sequence homology), bovine (based on 100% sequence homology), rat (based on 100% sequence homology)

technique(s)

immunohistochemistry: suitable (paraffin)
western blot: suitable

NCBI accession no.

UniProt accession no.

shipped in

wet ice

target post-translational modification

unmodified

Gene Information

human ... ENPP2(5168)

General description

Autotaxin (also known as Enpp2), an exo-enzyme that is upregulated in various cancers such as breast and lung cancer, is a secreted protein integral to the production of the lipid signaling molecule, lysophosphatidic acid (LPA). Wutotaxin is synthesized as a pre-pro-enzyme and stimulates cell proliferation, cell motility, and angiogenesis. Studies have shown increased expression of autotaxin in tumors is associated with increased tumor aggressiveness.
~100/125 kDa observed.
3 isoforms are produced by alternative splicing with molecular weights of 99, 105, and 101 kDa The calculated molecular weight of this protein is 99 kDa, but can be observed at ~125 kDa due to high glycosylation. An uncharacterized band may appear at ~35 kDa in some lysates.

Immunogen

Epitope: Substrate binding region
KLH-conjugated linear peptide corresponding to human Autotaxin at the substrate binding region.

Application

Detect Autotaxin using this Anti-Autotaxin Antibody validated for use in WB, IH(P).
Western Blot Analysis: 0.5 µg/mL from a representative lot detected Autotaxin in 10 µg of oligodendrocyte precursor cell lysate. Western Blot performed with Tween.

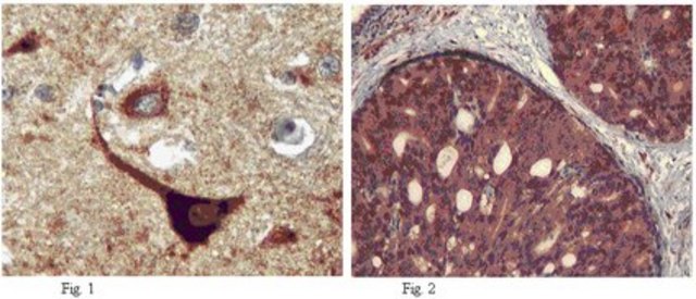
Immunohistochemistry Analysis: A 1:400 dilution from a representative lot detected Autotaxin in human cerebral cortex and ductal carcinoma tissues.

Biochem/physiol Actions

This antibody recognizes Autotaxin at the substrate binding region.

Analysis Note

Control
Oligodendrocyte precursor cell lysate
Evaluated by Western Blot in oligodendrocyte precursor cell lysate.

Western Blot Analysis: 0.5 µg/mL of this antibody detected Autotaxin in 10 µg of oligodendrocyte precursor cell lysate. Western Blot performed without Tween.

Other Notes

Concentration: Please refer to the Certificate of Analysis for the lot-specific concentration.

Not finding the right product?  

Try our Product Selector Tool.

Storage Class Code

12 - Non Combustible Liquids

WGK

WGK 1

Flash Point(F)

Not applicable

Flash Point(C)

Not applicable


Certificates of Analysis (COA)

Search for Certificates of Analysis (COA) by entering the products Lot/Batch Number. Lot and Batch Numbers can be found on a product’s label following the words ‘Lot’ or ‘Batch’.

Already Own This Product?

Find documentation for the products that you have recently purchased in the Document Library.

Visit the Document Library

Paul A Volden et al.
Cancer prevention research (Philadelphia, Pa.), 9(5), 367-378 (2016-02-11)
Lysophosphatidic acid (LPA), acting in an autocrine or paracrine fashion through G protein-coupled receptors, has been implicated in many physiologic and pathologic processes, including cancer. LPA is converted from lysophosphatidylcholine (LPC) by the secreted phospholipase autotaxin (ATX). Although various cell
Filipa L Cardoso et al.
Journal of neuroinflammation, 12, 82-82 (2015-05-01)
The inflammatory mediator lipopolysaccharide (LPS) has been shown to induce acute gliosis in neonatal mice. However, the progressive effects on the murine neurodevelopmental program over the week that follows systemic inflammation are not known. Thus, we investigated the effects of

Our team of scientists has experience in all areas of research including Life Science, Material Science, Chemical Synthesis, Chromatography, Analytical and many others.

Contact Technical Service