Skip to Content
Merck

ABS1068

Sigma-Aldrich

Anti-Acetyl CoA Carboxylase 1

from rabbit, purified by affinity chromatography

Synonym(s):

ACC1, ACC-alpha, EC 6.4.1.2

Sign Into View Organizational & Contract Pricing

Select a Size


About This Item

UNSPSC Code:
12352203
eCl@ss:
32160702
NACRES:
NA.41
Technical Service
Need help? Our team of experienced scientists is here for you.
Let Us Assist
Technical Service
Need help? Our team of experienced scientists is here for you.
Let Us Assist

biological source

rabbit

Quality Level

conjugate

unconjugated

antibody form

affinity isolated antibody

antibody product type

primary antibodies

clone

polyclonal

purified by

affinity chromatography

species reactivity

human

packaging

antibody small pack of 25 μL

technique(s)

immunohistochemistry: suitable (paraffin)
western blot: suitable

NCBI accession no.

UniProt accession no.

shipped in

ambient

target post-translational modification

unmodified

Gene Information

human ... ACACA(31)

Related Categories

General description

Acetyl-CoA carboxylase 1 (UniProt: Q13085; also known as EC: 6.4.1.2, ACC1, ACC-alpha) is encoded by the ACACA (also known as ACAC, ACC1, ACCA) gene (Gene ID: 31) in human. ACC1 is a cytoplasmic protein that is expressed in brain, placental, skeletal muscle, renal, pancreatic and adipose tissues. It is also expressed at low level in pulmonary tissue, but is not detected in the liver. ACC1 can be present as a monomer, homodimer, or homotetramer. It can also form filamentous polymers. Four isoforms of ACC1 have been described that are produced by alternative splicing. It catalyzes the rate-limiting reaction in the biogenesis of long-chain fatty acids and carries out three functions: biotin carboxyl carrier protein, biotin carboxylase and carboxyltransferase. The activity of ACC can be controlled at the transcriptional level as well as by small molecule modulators and covalent modification. ACC1 levels are regulated under long term control at the transcriptional and translational levels and under short term regulation by the phosphorylation/dephosphorylation of targeted serine residues and by allosteric transformation by citrate or palmitoyl-CoA. Mutations in ACACA gene can result in ACC1 deficiency and lead to error of de novo fatty acid synthesis associated with severe brain damage, persistent myopathy and poor growth.
~220 kDa observed; 265.55 kDa calculated. Uncharacterized bands may be observed in some lysate(s).

Immunogen

Epitope: C-terminus
GST-tagged recombinant fragment corresponding to 245 amino acids from the C-terminal half of human Acetyl-CoA carboxylase 1.

Application

Anti-Acetyl CoA Carboxylase 1, Cat. No. ABS1068, is a rabbit polyclonal antibody that detects Acetyl CoA Carboxylase 1 and has been tested for use in Immunohistochemistry (Paraffin) and Western Blotting.
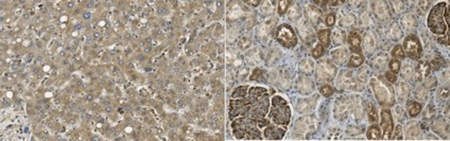
Immunohistochemistry Analysis: A 1:50 dilution from a representative lot detected Acetyl CoA Carboxylase 1 in human liver and human kidney tissue sections.
Research Category
Signaling

Biochem/physiol Actions

This rabbit polyclonal antibody detects Acetyl-CoA carboxylase 1 in human cells. It targets an epitope within 245 amino acids from the C-terminal region.

Physical form

Affinity Purified
Purified rabbit polyclonal antibody in buffer containing 0.1 M Tris-Glycine (pH 7.4), 150 mM NaCl with 0.05% sodium azide.

Preparation Note

Stable for 1 year at 2-8°C from date of receipt.

Analysis Note

Evaluated by Western Blotting in A431 cell lysate.

Western Blotting Analysis: A 1:2,000 dilution of this antibody detected Acetyl CoA Carboxylase 1 in A431 cell lysate.

Other Notes

Concentration: Please refer to lot specific datasheet.

Disclaimer

Unless otherwise stated in our catalog or other company documentation accompanying the product(s), our products are intended for research use only and are not to be used for any other purpose, which includes but is not limited to, unauthorized commercial uses, in vitro diagnostic uses, ex vivo or in vivo therapeutic uses or any type of consumption or application to humans or animals.

Not finding the right product?  

Try our Product Selector Tool.

Storage Class Code

12 - Non Combustible Liquids

WGK

WGK 1

Flash Point(F)

does not flash

Flash Point(C)

does not flash


Certificates of Analysis (COA)

Search for Certificates of Analysis (COA) by entering the products Lot/Batch Number. Lot and Batch Numbers can be found on a product’s label following the words ‘Lot’ or ‘Batch’.

Already Own This Product?

Find documentation for the products that you have recently purchased in the Document Library.

Visit the Document Library

Our team of scientists has experience in all areas of research including Life Science, Material Science, Chemical Synthesis, Chromatography, Analytical and many others.

Contact Technical Service