Skip to Content
Merck

ABN88

Sigma-Aldrich

Anti-phospho-NR1 (Ser896) Antibody

from rabbit, purified by affinity chromatography

Synonym(s):

glutamate receptor, ionotropic, N-methyl D-aspartate 1, glutamate [NMDA] receptor subunit zeta 1, N-methyl-D-aspartate receptor channel, subunit zeta-1, N-methyl-D-aspartate receptor subunit NR1, glutamate [NMDA] receptor subunit zeta-1

Sign Into View Organizational & Contract Pricing

Select a Size


About This Item

UNSPSC Code:
12352203
eCl@ss:
32160702
NACRES:
NA.41
Technical Service
Need help? Our team of experienced scientists is here for you.
Let Us Assist
Technical Service
Need help? Our team of experienced scientists is here for you.
Let Us Assist

biological source

rabbit

Quality Level

antibody form

affinity isolated antibody

antibody product type

primary antibodies

clone

polyclonal

purified by

affinity chromatography

species reactivity

rat

species reactivity (predicted by homology)

mouse (based on 100% sequence homology), human (based on 100% sequence homology)

technique(s)

immunohistochemistry: suitable (paraffin)
western blot: suitable

NCBI accession no.

UniProt accession no.

shipped in

wet ice

target post-translational modification

phosphorylation (pSer896)

Gene Information

human ... GRIN1(2902)
mouse ... Grin1(14810)
rat ... Grin1(24408)

General description

NR1 (NMDA1or NMDAR1, also known as GRIN1) along with the NR2 subunit forms a heterodimer that make up the NMDA receptor. The NMDA receptor (NMDAR) is characterized as a ionotropic receptor for glutamate. As the name suggests, (NMDA (N-methyl D-aspartate) is an agonist for the receptor. A distinct characteristic of the NMDA receptor is that it is both ligand-gated and voltage-dependent based on its sensitivity to magnesium. Activated NMDA receptors result in the opening of an ion channel that is nonselective to cations. The result is the flow of Na+ and small amounts of Ca2+ ions into the cell and K+ out of the cell. Calcium flux by the NMDARs has been implicated in synaptic plasticity, a mechanism in the cell for learning and memory.
~130kDa observed

Immunogen

Epitope: Phosphorylated Ser896
KLH-conjugated linear peptide corresponding to rat NR1 phosphorylated at Ser896.

Application

Detect phospho-NR1 (Ser896) using this Anti-phospho-NR1 (Ser896) Antibody validated for use in WB, IH(P).
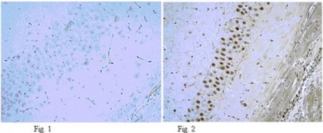
Immunohistochemistry Analysis: 1:25 dilution from a previous lot detected NR1 in normal rat hippocampus tissue.

Biochem/physiol Actions

This antibody recognizes NR1 when phosphorylated at Ser896.

Analysis Note

Control
Lambda phosphatase untreated and treated rat microsomal brain tissue lysates
Evaluated by Western Blot in lambda phosphatase untreated and treated rat microsomal brain tissue lysates.

Western Blot Analysis: 1 µg/mL of this antibody detected NR1 on 10 µg of lambda phosphatase untreated and treated rat microsomal brain tissue lysates.

Other Notes

Concentration: Please refer to the Certificate of Analysis for the lot-specific concentration.
Replaces: 06-640

Not finding the right product? Ā 

Try our Product Selector Tool.

Storage Class Code

10-13 - German Storage Class 10 to 13


Certificates of Analysis (COA)

Search for Certificates of Analysis (COA) by entering the products Lot/Batch Number. Lot and Batch Numbers can be found on a product’s label following the words ā€˜Lot’ or ā€˜Batch’.

Already Own This Product?

Find documentation for the products that you have recently purchased in the Document Library.

Visit the Document Library

Jing-Dun Xie et al.
The Journal of biological chemistry, 291(37), 19364-19373 (2016-07-28)
Painful peripheral neuropathy is a severe adverse effect of chemotherapeutic drugs such as paclitaxel (Taxol). The glutamate N-methyl-d-aspartate receptors (NMDARs) are critically involved in the synaptic plasticity associated with neuropathic pain. However, paclitaxel treatment does not alter the postsynaptic NMDAR
Milena De Felice et al.
Molecular pain, 12 (2016-04-21)
Bone metastases occur frequently in advanced breast, lung, and prostate cancer, with approximately 70% of patients affected. Pain is a major symptom of bone metastases, and current treatments may be inadequate or have unacceptable side effects. The mechanisms that drive
Sheu-Ran Choi et al.
Experimental neurobiology, 28(4), 516-528 (2019-09-09)
We have previously demonstrated that the neurosteroid dehydroepiandrosterone sulfate (DHEAS) induces functional potentiation of N-methyl-D-aspartate (NMDA) receptors via increases in phosphorylation of NMDA receptor GluN1 subunit (pGluN1). However, the modulatory mechanisms responsible for the expression of the DHEA-synthesizing enzyme, cytochrome
Sheu-Ran Choi et al.
Biological & pharmaceutical bulletin, 39(12), 1922-1931 (2016-09-08)
We recently demonstrated that activation of spinal sigma-1 receptors (Sig-1Rs) induces pain hypersensitivity via the activation of neuronal nitric oxide synthase (nNOS) and nicotinamide adenine dinucleotide phosphate (NADPH) oxidase 2 (Nox2). However, the potential direct interaction between nNOS-derived nitric oxide
Lack of synergistic effect of resveratrol and sigma-1 receptor agonist (PRE-084) in SOD1G??A ALS mice: overlapping effects or limited therapeutic opportunity?
Mancuso, R; Del Valle, J; Morell, M; Pallas, M; Osta, R; Navarro, X
Orphanet Journal of Rare Diseases null

Related Content

Glutamate is an excitatory neurotransmitter found in the synaptic vesicles of glutamatergic synapses. The post-synaptic neurons in these synapses contain ionotropic and metabotropic glutamate receptors. Glutamate binds to AMPA (α-amino-3-hydroxy-5- methylisoxazole-4-propionic acid) subtype glutamate receptors, leading to sodium influx into the post-synaptic cell and resulting in neuronal excitability and synaptic transmission. The NMDA (N-methyl-d-aspartate) subtype glutamate receptors, on the other hand, regulate synaptic plasticity, and can influence learning and memory. The metabotropic g-protein coupled mGluRs modulate downstream calcium signaling pathways and indirectly influence the synapse’s excitability. The synaptic architecture includes intracellular scaffolding proteins (PSD-95, GRIP), intercellular cell adhesion molecules (NCAMs, N-Cadherins), and a variety of signaling proteins (CaMKII/PKA, PP1/PP2B). Processes critical for synaptic transmission and plasticity are influenced by these molecules and their interactions. When the function of these molecules is disrupted, it leads to synaptic dysfunction and degeneration, and can contribute to dementia as seen in Alzheimer’s disease.

Our team of scientists has experience in all areas of research including Life Science, Material Science, Chemical Synthesis, Chromatography, Analytical and many others.

Contact Technical Service