Skip to Content
Merck

ABN352

Sigma-Aldrich

Anti-NENF Antibody

from rabbit, purified by affinity chromatography

Synonym(s):

NENF, Neuron derived neurotrophic factor, neudesin, CIR2, SPUF, SCIRP10

Sign Into View Organizational & Contract Pricing

Select a Size


About This Item

UNSPSC Code:
12352203
eCl@ss:
32160702
NACRES:
NA.41
Technical Service
Need help? Our team of experienced scientists is here for you.
Let Us Assist
Technical Service
Need help? Our team of experienced scientists is here for you.
Let Us Assist

biological source

rabbit

Quality Level

conjugate

unconjugated

antibody form

affinity isolated antibody

antibody product type

primary antibodies

clone

polyclonal

purified by

affinity chromatography

species reactivity

rat, human

technique(s)

immunohistochemistry: suitable
western blot: suitable

UniProt accession no.

shipped in

wet ice

target post-translational modification

unmodified

Gene Information

human ... NENF(29937)

General description

NENF is a secreted protein that is expressed in neurons but not glial cells of the brain. This protein has neurotrophic activity in primary cultured mouse neurons but not mitogenic activity in primary cultured mouse astrocytes. NENF activated mitogen-activated protein (MAP) and phosphotidylinositol-3 kinase pathways and could be inhibited by pertussis toxin but not receptor tyrosine kinases, suggesting that NENF acts through a Gi/Go-protein-coupled receptor.
~37 kDa observed

Immunogen

KLH-conjugated linear peptide corresponding to human NENF.

Application

Detect the NENF protein using this Anti-NENF validated for use in WB & IHC.
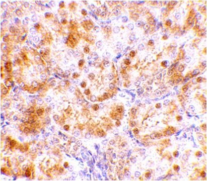
Immunohistochemistry Analysis: 10 µg/mL of this antibody from a representative lot detected NENF in rat kidney tissue.
Research Category
Neuroscience
Research Sub Category
Neuronal & Glial Markers

Physical form

Antigen Affinity Purified
Purified rabbit polyclonal in buffer containing PBS and 0.02% sodium azide.

Preparation Note

Stable for 1 year at 2-8°C from date of receipt.

Analysis Note

Control
Human kidney tissue lysate
Evaluated by Western Blot in human kidney tissue lysate.

Western Blotting Analysis: 2 µg/mL of this antibody detected NENF in 15 µg of human kidney tissue lysate.

Other Notes

Concentration: Please refer to the Certificate of Analysis for the lot-specific concentration.

Disclaimer

Unless otherwise stated in our catalog or other company documentation accompanying the product(s), our products are intended for research use only and are not to be used for any other purpose, which includes but is not limited to, unauthorized commercial uses, in vitro diagnostic uses, ex vivo or in vivo therapeutic uses or any type of consumption or application to humans or animals.

Not finding the right product?  

Try our Product Selector Tool.

Storage Class Code

12 - Non Combustible Liquids

WGK

WGK 1

Flash Point(F)

Not applicable

Flash Point(C)

Not applicable


Certificates of Analysis (COA)

Search for Certificates of Analysis (COA) by entering the products Lot/Batch Number. Lot and Batch Numbers can be found on a product’s label following the words ‘Lot’ or ‘Batch’.

Already Own This Product?

Find documentation for the products that you have recently purchased in the Document Library.

Visit the Document Library

Our team of scientists has experience in all areas of research including Life Science, Material Science, Chemical Synthesis, Chromatography, Analytical and many others.

Contact Technical Service