Skip to Content
Merck

ABN26

Sigma-Aldrich

Anti-iNOS/NOS II Antibody, NT

from rabbit, purified by affinity chromatography

Synonym(s):

Nitric oxide synthase, inducible, Inducible NO synthase, Inducible NOS, iNOS, Macrophage NOS, MAC-NOS, NOS type II, Peptidyl-cysteine S-nitrosylase NOS2

Sign Into View Organizational & Contract Pricing

Select a Size


About This Item

UNSPSC Code:
12352203
eCl@ss:
32160702
NACRES:
NA.41
Technical Service
Need help? Our team of experienced scientists is here for you.
Let Us Assist
Technical Service
Need help? Our team of experienced scientists is here for you.
Let Us Assist

biological source

rabbit

Quality Level

conjugate

unconjugated

antibody form

affinity isolated antibody

antibody product type

primary antibodies

clone

polyclonal

purified by

affinity chromatography

species reactivity

mouse, human

packaging

antibody small pack of 25 μg

technique(s)

immunohistochemistry: suitable (paraffin)
immunoprecipitation (IP): suitable
western blot: suitable

NCBI accession no.

UniProt accession no.

shipped in

ambient

storage temp.

2-8°C

target post-translational modification

unmodified

Gene Information

mouse ... Nos2(18126)

General description

Nitric oxide (NO) is an inorganic, gaseous free radical that carries a variety of messages between cells. Vasorelaxation, neurotransmission and cytotoxicity can all be potentiated through cellular response to NO. NO production is mediated by members of the nitric oxide synthase (NOS) family. NOS catalyzes the oxidization of L-arginine to produce L-citrulline and NO. Two constitutive isoforms, brain or neuronal NOS (b or nNOS, type I) & endothelial cell NOS (eNOS, type III), and one inducible isoform (iNOS, type II), have been cloned. Cytokines such as interferon-gamma (IFN), tumor necrosis factor (TNF), interleukin-1 and -2, and lipopolysaccarides (LPS) cause an increase in iNOS mRNA, protein, and activity levels. Protein kinase C-stimulating agents exhibit the same effect on iNOS activity. Human iNOS is regulated by calcium/calmodulin (in contrast with mouse NOS2).
~125 kDa observed

Immunogen

Epitope: N-terminus
GST-tagged recombinant protein corresponding to the N-terminus of mouse iNOS/NOS II.

Application

Detect iNOS/NOS II using this Anti-iNOS/NOS II Antibody, NT validated for use in WB, IP, IH(P).
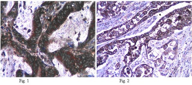
Immunohistochemistry Analysis: 1:50-200 dilution from a representative lot detected iNOS/NOS II in malignant human lung tissues.

Immunoprecipitation Analysis: 10 µg of this antibody immunoprecipitated iNOS/NOSII from IFNgamma/LPS treated RAW264.7 cell lysate.
Research Category
Neuroscience
Research Sub Category
Oxidative Stress

Biochem/physiol Actions

Other homologies: Rat (85% sequence homology).
This antibody recognizes iNOS/NOS II at the N-terminus.

Physical form

Affinity purified
Purified rabbit polyclonal in buffer containing 0.1 M Tris-Glycine (pH 7.4), 150 mM NaCl with 0.05% sodium azide.

Preparation Note

Stable for 1 year at 2-8°C from date of receipt.

Analysis Note

Control
IFNgamma/LPS untreated and treated RAW264.7 cell lysates
Evaluated by Western Blot in IFNgamma/LPS untreated and treated RAW264.7 cell lysates.

Western Blot Analysis: 0.5 µg/mL of this antibody detected iNOS/NOS II on 10 µg of IFNgamma/LPS untreated and treated RAW264.7 cell lysates.

Other Notes

Concentration: Please refer to the Certificate of Analysis for the lot-specific concentration.
Replaces: 06-573

Disclaimer

Unless otherwise stated in our catalog or other company documentation accompanying the product(s), our products are intended for research use only and are not to be used for any other purpose, which includes but is not limited to, unauthorized commercial uses, in vitro diagnostic uses, ex vivo or in vivo therapeutic uses or any type of consumption or application to humans or animals.

Not finding the right product?  

Try our Product Selector Tool.


Certificates of Analysis (COA)

Search for Certificates of Analysis (COA) by entering the products Lot/Batch Number. Lot and Batch Numbers can be found on a product’s label following the words ‘Lot’ or ‘Batch’.

Already Own This Product?

Find documentation for the products that you have recently purchased in the Document Library.

Visit the Document Library

Francisco J Salguero et al.
Parasites & vectors, 11(1), 73-73 (2018-02-02)
Visceral leishmaniasis (VL) is a neglected tropical disease (NTD), caused by the intracellular protozoan parasites Leishmania donovani and Leishmania infantum. Symptomatic VL is considered fatal when left untreated. At present, there is no effective vaccine licensed for human use and
Florence Vallelian et al.
Pharmacology research & perspectives, 6(2), e00392-e00392 (2018-04-04)
Activation of the innate immune system by free heme has been proposed as one of the principal consequences of cell-free hemoglobin (Hb) exposure. Nonetheless, in the absence of infection, heme exposures within a hematoma, during hemolysis, or upon systemic administration
Delphine Séhédic et al.
Theranostics, 7(18), 4517-4536 (2017-11-22)
Gold standard beam radiation for glioblastoma (GBM) treatment is challenged by resistance phenomena occurring in cellular populations well prepared to survive or to repair damage caused by radiation. Among signals that have been linked with radio-resistance, the SDF1/CXCR4 axis, associated
Kosaku Okuda et al.
Nature communications, 14(1), 621-621 (2023-02-05)
DNA methyltransferases (DNMTs) catalyze methylation at the C5 position of cytosine with S-adenosyl-L-methionine. Methylation regulates gene expression, serving a variety of physiological and pathophysiological roles. The chemical mechanisms regulating DNMT enzymatic activity, however, are not fully elucidated. Here, we show
Gulsan Ara Sathi et al.
Journal of cell science, 130(9), 1559-1569 (2017-03-30)
The importance of macrophages in tissue development and regeneration has been strongly emphasized. However, the specific roles of macrophage colony-stimulating factor (MCSF), the key regulator of macrophage differentiation, in glandular tissue development have been unexplored. Here, we disclose new macrophage-independent

Related Content

"Aging: getting older, exhibiting the signs of age, the decline in the physical (and mental) well-being over time, leading to death. Since the beginning of time, man has been obsessed with trying to slow down, stop, or even reverse the signs of aging. Many have gone as far as experimenting with nutritional regimens, eccentric exercises, fantastic rituals, and naturally occurring or synthetic wonder-elements to evade the signs of normal aging. Biologically speaking, what is aging? And what does the latest research tell us about the possibility of discovering the elusive “fountain of youth”? Many advances in our understanding of aging have come from systematic scientific research, and perhaps it holds the key to immortality. Scientifically, aging can be defined as a systems-wide decline in organismal function that occurs over time. This decline occurs as a result of numerous events in the organism, and these events can be classified into nine “hallmarks” of aging, as proposed by López-Otin et al. (2013). Several of the pathologies associated with aging are a direct result of these events going to extremes and may also involve aberrant activation of proliferation signals or hyperactivity. The hallmarks of aging have been defined based on their fulfillment of specific aging related criteria, such as manifestation during normal aging, acceleration of aging if experimentally induced or aggravated, and retardation of aging if prevented or blocked, resulting in increased lifespan. The nine hallmarks of aging are genomic instability, telomere attrition, epigenetic alterations, loss of proteostasis, deregulated nutrient sensing, mitochondrial dysfunction, cellular senescence, stem cell exhaustion, and altered intercellular communication. The biological processes underlying aging are complex. By understanding the hallmarks in greater detail, we can get closer to developing intervention strategies that can make the aging process less of a decline, and more of a recline."

"Redox reactions are powerful chemical processes that involve the reduction and oxidation of proteins and metabolites found in living things. The mechanisms that regulate them are key to maintaining homeostasis and the balance between good health and disease pathology. Oxidative stress is the state where the delicate balance of redox biology is upset, and the pathology of oxidative stress are the cellular consequences to such an imbalance."

Our team of scientists has experience in all areas of research including Life Science, Material Science, Chemical Synthesis, Chromatography, Analytical and many others.

Contact Technical Service