Skip to Content
Merck

ABE477

Sigma-Aldrich

Anti-BRD2 Antibody

from rabbit, purified by affinity chromatography

Synonym(s):

Bromodomain-containing protein 2, O27.1.1, Really interesting new gene 3 protein

Sign Into View Organizational & Contract Pricing

Select a Size


About This Item

UNSPSC Code:
12352203
eCl@ss:
32160702
NACRES:
NA.41
Technical Service
Need help? Our team of experienced scientists is here for you.
Let Us Assist
Technical Service
Need help? Our team of experienced scientists is here for you.
Let Us Assist

biological source

rabbit

Quality Level

conjugate

unconjugated

antibody form

affinity isolated antibody

antibody product type

primary antibodies

clone

polyclonal

purified by

affinity chromatography

species reactivity

human, rat

technique(s)

immunohistochemistry: suitable
western blot: suitable

NCBI accession no.

UniProt accession no.

shipped in

wet ice

target post-translational modification

unmodified

Gene Information

human ... BRD2(6046)

General description

Bromodomain-containing protein 2 (BRD2) is a member of the BET subfamily of bromodomain proteins. These proteins contain two tandem N-terminal bromodomains and a single C-terminal extra-terminal domain. Studies have shown BRD2 to be associated with several regulators of transcription (eg. TFIID and Swi/Snf complexes) in addition to its involvement in guiding cell cycle gene expression through its binding to multiple E2F. BRD2 is hypothesized to function in mammalian development by regulating chromatin structure and transcription. Consistent with this hypothesis, studies have shown BRD2 to bind histone H4 via acetylated Lys12. BRD2 mutants have been associated with increased susceptibility to juvenile myoclonic epilepsy.
~110 kDa observed. Uniprot describes two isoforms at 88 kDa (isoform 1) and 92 kDa (isoform 2). Uncharacterized band(s) may be observed in some cell lysates.

Immunogen

GST-tagged recombinant protein corresponding to a region near the C-terminus of human BRD2.

Application

Anti-BRD2 Antibody is a highly specific rabbit polyclonal antibody, that targets BRD2 & has been tested in western blotting & IHC.
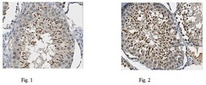
Immunohistochemistry Analysis: A 1:500 dilution of this antibody from a representative lot detected BRD2 in human testis tissues.

Immunohistochemistry Analysis: A 1:2,000 and a 1:500 dilution from a representative lot detected BRD2 in rat testis tissues.
Research Category
Epigenetics & Nuclear Function
Research Sub Category
Chromatin Biology

Biochem/physiol Actions

This antibody is expected to cross react with isoforms 1 and 2 of BRD2, based upon sequence homology.

Physical form

Affinity purified
Purified rabbit polyclonal in buffer containing 0.1 M Tris-Glycine (pH 7.4), 150 mM NaCl with 0.05% sodium azide.

Preparation Note

Stable for 1 year at 2-8°C from date of receipt.

Analysis Note

Evaluated by Western Blotting in Jurkat cell lysate.

Western Blotting Analysis: 0.25 µg/mL of this antibody detected BRD2 in 10 µg of Jurkat cell lysate.

Other Notes

Concentration: Please refer to the Certificate of Analysis for the lot-specific concentration.

Disclaimer

Unless otherwise stated in our catalog or other company documentation accompanying the product(s), our products are intended for research use only and are not to be used for any other purpose, which includes but is not limited to, unauthorized commercial uses, in vitro diagnostic uses, ex vivo or in vivo therapeutic uses or any type of consumption or application to humans or animals.

Not finding the right product?  

Try our Product Selector Tool.

Storage Class Code

12 - Non Combustible Liquids

WGK

WGK 1

Flash Point(F)

Not applicable

Flash Point(C)

Not applicable


Certificates of Analysis (COA)

Search for Certificates of Analysis (COA) by entering the products Lot/Batch Number. Lot and Batch Numbers can be found on a product’s label following the words ‘Lot’ or ‘Batch’.

Already Own This Product?

Find documentation for the products that you have recently purchased in the Document Library.

Visit the Document Library

Our team of scientists has experience in all areas of research including Life Science, Material Science, Chemical Synthesis, Chromatography, Analytical and many others.

Contact Technical Service