Skip to Content
Merck

ABE432

Sigma-Aldrich

Anti-BRDT Antibody

from rabbit, purified by affinity chromatography

Synonym(s):

Bromodomain testis-specific protein, Bromodomain-containing female sterile homeotic-like protein, RING3-like protein

Sign Into View Organizational & Contract Pricing

Select a Size


About This Item

UNSPSC Code:
12352203
eCl@ss:
32160702
NACRES:
NA.41
Technical Service
Need help? Our team of experienced scientists is here for you.
Let Us Assist
Technical Service
Need help? Our team of experienced scientists is here for you.
Let Us Assist

biological source

rabbit

Quality Level

conjugate

unconjugated

antibody form

affinity isolated antibody

antibody product type

primary antibodies

clone

polyclonal

purified by

affinity chromatography

species reactivity

mouse

technique(s)

immunohistochemistry: suitable

NCBI accession no.

UniProt accession no.

shipped in

wet ice

target post-translational modification

unmodified

Gene Information

mouse ... Brdt(114642)

General description

107 kDa calculated
Bromodomain testis-specific protein (BRDT), also known as Bromodomain-containing female sterile homeotic-like protein, or RING3-like protein, and encoded by the gene BRDT/ FSRG3 is a testis-specific chromatin protein that binds specifically histone H4 acetylated at ′Lys-5′ and ′Lys-8′ (H4K5ac and H4K8ac, respectively) and plays a key role in spermatogenesis. Recent studies have shown that BRDT plays a role in meiotic and post-meiotic cells by binding to acetylated histones at the promoter of specific meiotic and post-meiotic genes, facilitating their activation at the appropriate time. Therefore, it is involved in the late pachytene spermatocytes development. In the post-meiotic phase of spermatogenesis, BRDT binds to hyperacetylated histones and participates in their general removal from DNA. In addition, BRDT acts as a component of the splicing machinery in pachytene spermatocytes and round spermatids, and participates in 3′-UTR truncation of specific mRNAs in post-meiotic spermatids. BRDT is required for chromocenter organization, a structure comprised of peri-centromeric heterochromatin. BRDT is testis-specific, and expressed in the germinal cells: in the early meiotic (pachytene) spermatocytes during spermiogenesis, in the round and elongating spermatids , and in the condensed late spermatids.

Immunogen

GST-tagged recombinant protein corresponding to mouse BRDT.

Application

This Anti-BRDT antibody is validated for use in Immunohistochemistry for the detection of BRDT.

Analysis Note

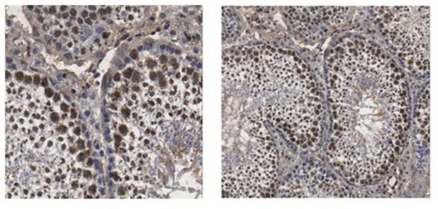
Evaluated by Immunohistochemistry in mouse testis tissue.

Immunohistochemistry Analysis: A 1:50 dilution of this antibody detected BRDT in mouse testis tissue.

Other Notes

Concentration: Please refer to lot specific datasheet.

Not finding the right product?  

Try our Product Selector Tool.

Storage Class Code

12 - Non Combustible Liquids

WGK

WGK 1

Flash Point(F)

Not applicable

Flash Point(C)

Not applicable


Certificates of Analysis (COA)

Search for Certificates of Analysis (COA) by entering the products Lot/Batch Number. Lot and Batch Numbers can be found on a product’s label following the words ‘Lot’ or ‘Batch’.

Already Own This Product?

Find documentation for the products that you have recently purchased in the Document Library.

Visit the Document Library

Chang Rok Kim et al.
Cell reports, 32(4), 107950-107950 (2020-07-30)
Spermatogenesis is a complex process of sperm generation, including mitosis, meiosis, and spermiogenesis. During spermiogenesis, histones in post-meiotic spermatids are removed from chromatin and replaced by protamines. Although histone-to-protamine exchange is important for sperm nuclear condensation, the underlying regulatory mechanism

Our team of scientists has experience in all areas of research including Life Science, Material Science, Chemical Synthesis, Chromatography, Analytical and many others.

Contact Technical Service