Skip to Content
Merck

ABC513

Sigma-Aldrich

Anti-Rab11-FIP1/RCP Antibody

from rabbit, purified by affinity chromatography

Synonym(s):

Rab11 family-interacting protein 1, Rab11-FIP1, Rab-coupling protein

Sign Into View Organizational & Contract Pricing

Select a Size


About This Item

UNSPSC Code:
12352203
eCl@ss:
32160702
NACRES:
NA.41
Technical Service
Need help? Our team of experienced scientists is here for you.
Let Us Assist
Technical Service
Need help? Our team of experienced scientists is here for you.
Let Us Assist

biological source

rabbit

Quality Level

conjugate

unconjugated

antibody form

affinity isolated antibody

antibody product type

primary antibodies

clone

polyclonal

purified by

affinity chromatography

species reactivity

human, rat, mouse

technique(s)

immunocytochemistry: suitable
immunoprecipitation (IP): suitable
western blot: suitable

NCBI accession no.

UniProt accession no.

shipped in

wet ice

target post-translational modification

unmodified

Gene Information

human ... RAB11FIP1(80223)

General description

The protein Rab11-FIP1/RCP, or alternatively named Rab11 family-interacting protein 1, or Rab-coupling protein, and encoded by the human gene RAB11FIP1/RCP is an effector protein that interacts with Rab11 in the processes surrounding endosomal recycling. Rab11-FIP1/RCP also is involved in membrane trafficking in phagocytosis, as well as during axon growth, mediating integrin trafficking in various cancers. RAB11-FIP1/RCP has isoforms. Isoform 1 is non-membrane bound and is localized in the endosome and is involved in endosome recycling. Isoform 2 is more cytoplasmic being confined, for example, to the cytoplasmic phagosome vesicles and the phagosome membrane. Rab11-FIP1/RCP is expressed in multiple tissues and comprises one member of a large family of Rab11 family interacting proteins (Fab11-FIPs) that define discrete subdomains and carry out temporally distinct roles within the recycling and membrane trafficking system of the cell.
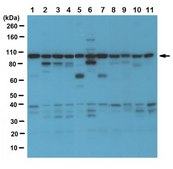
~90 kDa observed. Uncharacterized band(s) may be observed in some cell lysates.

Immunogen

GST-tagged recombinant protein corresponding to human Rab11-FIP1/RCP.

Application

Research Category
Apoptosis & Cancer
Research Sub Category
Apoptosis - Additional
This Anti-Rab11-FIP1/RCP Antibody is validated for use in western blotting, ICC & IP for the detection of Rab11-FIP1/RCP.
Western Blotting Analysis: A 1:1,000 dilution of this antibody detected Rab11-FIP1/RCP in 10 µg of C2C12, HEK293, HeLa, HepG2, HUVEC, Jurkat, L6, NIH/3T3, PC-12, PC-3, RAW264.7 cell lysate.

Western Blotting Analysis: A representative lot from an independent laboratory detected Rab11-FIP1/RCP in Tac-TGN38 expressing HeLa cell lysates (Jing, J., et al. (2010). Mol Cell Biol. 21(17):3041-3053.).

Immunocytochemistry Analysis: A representative lot from an independent laboratory detected Rab11-FIP1/RCP in Tac-TGN38 expressing HeLa cells (Jing, J., et al. (2010). Mol Cell Biol. 21(17):3041-3053.).

Immunoprecipitation Analysis: A representative lot from an independent laboratory immunoprecipitated Rab11-FIP1/RCP from HeLa cell lysate (Jing, J., et al. (2010). Mol Cell Biol. 21(17):3041-3053.).

Physical form

Affinity purified
Purified rabbit polyclonal in buffer containing PBS with 0.05% sodium azide.

Preparation Note

Stable for 1 year at 2-8°C from date of receipt.

Analysis Note

Evaluated by Western Blotting in A431 cell lysate.

Western Blotting Analysis: A 1:1,000 dilution of this antibody detected Rab11-FIP1/RCP in 10 µg of A431 cell lysate.

Disclaimer

Unless otherwise stated in our catalog or other company documentation accompanying the product(s), our products are intended for research use only and are not to be used for any other purpose, which includes but is not limited to, unauthorized commercial uses, in vitro diagnostic uses, ex vivo or in vivo therapeutic uses or any type of consumption or application to humans or animals.

Not finding the right product?  

Try our Product Selector Tool.

Storage Class Code

10 - Combustible liquids

WGK

WGK 2

Flash Point(F)

Not applicable

Flash Point(C)

Not applicable


Certificates of Analysis (COA)

Search for Certificates of Analysis (COA) by entering the products Lot/Batch Number. Lot and Batch Numbers can be found on a product’s label following the words ‘Lot’ or ‘Batch’.

Already Own This Product?

Find documentation for the products that you have recently purchased in the Document Library.

Visit the Document Library

Jian Jing et al.
Molecular biology of the cell, 21(17), 3041-3053 (2010-07-09)
Many proteins are retrieved to the trans-Golgi Network (TGN) from the endosomal system through several retrograde transport pathways to maintain the composition and function of the TGN. However, the molecular mechanisms involved in these distinct retrograde pathways remain to be

Our team of scientists has experience in all areas of research including Life Science, Material Science, Chemical Synthesis, Chromatography, Analytical and many others.

Contact Technical Service