Skip to Content
Merck

ABC138

Sigma-Aldrich

Anti-DHODH Antibody

from rabbit, purified by affinity chromatography

Synonym(s):

Dihydroorotate dehydrogenase (quinone), mitochondrial, DHOdehase, Dihydroorotate oxidase

Sign Into View Organizational & Contract Pricing

Select a Size


About This Item

UNSPSC Code:
12352203
eCl@ss:
32160702
NACRES:
NA.41
Technical Service
Need help? Our team of experienced scientists is here for you.
Let Us Assist
Technical Service
Need help? Our team of experienced scientists is here for you.
Let Us Assist

biological source

rabbit

Quality Level

conjugate

unconjugated

antibody form

affinity isolated antibody

antibody product type

primary antibodies

clone

polyclonal

purified by

affinity chromatography

species reactivity

human

technique(s)

immunohistochemistry: suitable (paraffin)
western blot: suitable

NCBI accession no.

UniProt accession no.

shipped in

wet ice

target post-translational modification

unmodified

Gene Information

human ... DHODH(1723)

General description

Dihydroorotate oxidase (DHODH) is also called Dihydroorotate dehydrogenase (quinone), mitochondrial (DHOdehase). DHODH is a member the dihydroorotate dehydrogenase (Type 2) family and is involved in pyrimidine biosynthesis. DHODH catalyzes the conversion of dihydroorotate to orotate using quinone as an electron acceptor. DHODH defects can cause postaxial acrofacial dysostosis (POADS).
~43 kDa observed. Uncharacterized band(s) may be observed in some cell lysates.

Immunogen

Epitope: Topological Domain ( Mitochondrial intermembrane)
KLH-conjugated linear peptide corresponding to the Topological Domain (Mitochondrial intermembrane) of human DHODH.

Application

Anti-DHODH Antibody is a rabbit polyclonal antibody, validated for use in western blotting & IHC (Paraffin).
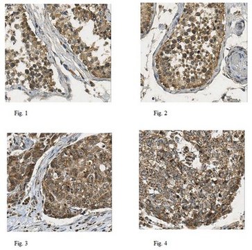
Immunohistochemistry Analysis: A 1:100 dilution from a representative lot detected DHODH in human testis and breast carcinoma sections.
Research Category
Apoptosis & Cancer
Research Sub Category
Apoptosis - Additional

Biochem/physiol Actions

Other Homologies: Rat (93% sequence homology) and Mouse (86% sequence homology).
This antibody recognizes the Topological Domain (Mitochondrial intermembrane) of DHODH.

Physical form

Affinity purified
Purified rabbit polyclonal in buffer containing 0.1 M Tris-Glycine (pH 7.4), 150 mM NaCl with 0.05% sodium azide.

Preparation Note

Stable for 1 year at 2-8°C from date of receipt.

Analysis Note

Control
T47D cell lysate
Evaluated by Western Blotting in T47D cell lysate.

Western Blotting Analysis: 0.25 µg/mL of this antibody detected DHODH in 10 µg of T47D cell lysate.

Other Notes

Concentration: Please refer to the Certificate of Analysis for the lot-specific concentration.

Disclaimer

Unless otherwise stated in our catalog or other company documentation accompanying the product(s), our products are intended for research use only and are not to be used for any other purpose, which includes but is not limited to, unauthorized commercial uses, in vitro diagnostic uses, ex vivo or in vivo therapeutic uses or any type of consumption or application to humans or animals.

Not finding the right product?  

Try our Product Selector Tool.

Storage Class Code

12 - Non Combustible Liquids

WGK

WGK 1

Flash Point(F)

Not applicable

Flash Point(C)

Not applicable


Certificates of Analysis (COA)

Search for Certificates of Analysis (COA) by entering the products Lot/Batch Number. Lot and Batch Numbers can be found on a product’s label following the words ‘Lot’ or ‘Batch’.

Already Own This Product?

Find documentation for the products that you have recently purchased in the Document Library.

Visit the Document Library

Our team of scientists has experience in all areas of research including Life Science, Material Science, Chemical Synthesis, Chromatography, Analytical and many others.

Contact Technical Service