Skip to Content
Merck

AB16942

Sigma-Aldrich

Anti-DR5 Antibody, CT

Chemicon®, from rabbit

Synonym(s):

Anti-CD262, Anti-DR5, Anti-KILLER, Anti-KILLER/DR5, Anti-TRAIL-R2, Anti-TRAILR2, Anti-TRICK2, Anti-TRICK2A, Anti-TRICK2B, Anti-TRICKB, Anti-ZTNFR9

Sign Into View Organizational & Contract Pricing

Select a Size


About This Item

UNSPSC Code:
12352203
eCl@ss:
32160702
NACRES:
NA.41
Technical Service
Need help? Our team of experienced scientists is here for you.
Let Us Assist
Technical Service
Need help? Our team of experienced scientists is here for you.
Let Us Assist

biological source

rabbit

Quality Level

conjugate

unconjugated

antibody form

affinity purified immunoglobulin

antibody product type

primary antibodies

clone

polyclonal

mol wt

calculated mol wt-47.88 kDa
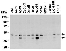
observed mol wt ~55 kDa

species reactivity

human

manufacturer/tradename

Chemicon®

technique(s)

western blot: suitable

NCBI accession no.

UniProt accession no.

shipped in

wet ice

target post-translational modification

unmodified

Gene Information

human ... TNFRSF10B(8795)

Immunogen

Epitope: C-terminus
Polyclonal antibody raised against a peptide corresponding to amino acids 388-407 of human DR5 precursor (Pan et al. 1997; Sheridan et al. 1997).

Application

Anti-DR5 Antibody, C-terminus detects level of DR5 & has been published & validated for use in WB.
Research Category
Apoptosis & Cancer
Research Sub Category
Apoptosis - Additional
Western blot: 1:250 to 1:500

Whole cell lysate from HeLa or K562 cells can be used as a positive control .

Optimal working dilutions must be determined by end user.

Biochem/physiol Actions

Apoptosis is induced by certain cytokines including TNF and Fas ligand in the TNF family through their death domain containing receptors. TRAIL/Apo2L is a new member of the TNF family. DR4 was recently identified as the receptor for TRAIL. A novel death domain containing receptor for TRAIL was more recently identified and designated DR5, Apo2, TRAIL-R2, TRICK2 or KILLER by several groups independently (Pan et al. 1997; Sheridan et al. 1997; Walczak et al. 1997; MacFarlane et al. 1997; Screaton et al. 1997; Wu et al. 1997; Chaudhary et al. 1997). Like DR4, DR5 transcript is widely expressed in normal tissues and in many types of tumor cells. DR5 binds to TRAIL and mediates TRAIL induced cell death. Overexpression of DR5 induces apoptosis and activates NF-kB.

Physical form

Affinity purified immunoglobulin. Liquid in PBS containing 0.02% sodium azide.
Format: Purified

Preparation Note

Maintain refrigerated at 2-8°C in undiluted aliquots for up to 12 months.

Other Notes

Click here for more information on observed vs. calculated molecular weight.


Concentration: Please refer to the Certificate of Analysis for the lot-specific concentration.

Legal Information

CHEMICON is a registered trademark of Merck KGaA, Darmstadt, Germany

Disclaimer

Unless otherwise stated in our catalog or other company documentation accompanying the product(s), our products are intended for research use only and are not to be used for any other purpose, which includes but is not limited to, unauthorized commercial uses, in vitro diagnostic uses, ex vivo or in vivo therapeutic uses or any type of consumption or application to humans or animals.

Not finding the right product?  

Try our Product Selector Tool.

Storage Class Code

10 - Combustible liquids

WGK

WGK 2

Flash Point(F)

Not applicable

Flash Point(C)

Not applicable


Certificates of Analysis (COA)

Search for Certificates of Analysis (COA) by entering the products Lot/Batch Number. Lot and Batch Numbers can be found on a product’s label following the words ‘Lot’ or ‘Batch’.

Already Own This Product?

Find documentation for the products that you have recently purchased in the Document Library.

Visit the Document Library

Beneficial effect of glatiramer acetate (Copaxone) on immune modulation of experimental hepatic fibrosis.
Horani, A; Muhanna, N; Pappo, O; Melhem, A; Alvarez, CE; Doron, S; Wehbi, W; Dimitrios et al.
American Journal of Physiology: Gastrointestinal and Liver Physiology null
TRAIL-related death receptors in normal, Lurcher and weaver mutant mouse brain.
Jorg Baurle, Sabine Frischmuth, Karel Kranda
Neuroscience Letters null
P M Chaudhary et al.
Immunity, 7(6), 821-830 (1998-01-16)
Death receptor 4 (DR4) is a recently described receptor for the cytotoxic ligand TRAIL that reportedly uses a FADD-independent pathway to induce apoptosis and does not activate the NF-kappaB pathway. We have isolated a new member of the tumor necrosis
Orhan Aktas et al.
Neuron, 46(3), 421-432 (2005-05-11)
Here, we provide evidence for a detrimental role of tumor necrosis factor-related apoptosis-inducing ligand (TRAIL) in neural death in T cell-induced experimental autoimmune encephalomyelitis (EAE), an animal model of multiple sclerosis (MS). Clinical severity and neuronal apoptosis in brainstem motor
KILLER/DR5 is a DNA damage-inducible p53-regulated death receptor gene.
G S Wu et al.
Nature genetics, 17(2), 141-143 (1997-11-05)

Related Content

Our team of scientists has experience in all areas of research including Life Science, Material Science, Chemical Synthesis, Chromatography, Analytical and many others.

Contact Technical Service