Skip to Content
Merck

AB1543

Sigma-Aldrich

Anti-Synapsin I Antibody

serum, Chemicon®

Synonym(s):

Synapsin-1

Sign Into View Organizational & Contract Pricing

Select a Size


About This Item

UNSPSC Code:
12352203
eCl@ss:
32160702
NACRES:
NA.41
Technical Service
Need help? Our team of experienced scientists is here for you.
Let Us Assist
Technical Service
Need help? Our team of experienced scientists is here for you.
Let Us Assist

biological source

rabbit

Quality Level

conjugate

unconjugated

antibody form

serum

antibody product type

primary antibodies

clone

polyclonal

species reactivity

human, bovine, rat, mouse

manufacturer/tradename

Chemicon®

technique(s)

immunocytochemistry: suitable
immunohistochemistry: suitable (paraffin)
immunoprecipitation (IP): suitable
western blot: suitable

NCBI accession no.

UniProt accession no.

shipped in

dry ice

target post-translational modification

unmodified

Gene Information

human ... SYN1(6853)

General description

77 & 80 kDa
Synapsin I is a member of the synapsin family. Synapsins are neuronal phosphoproteins which associate with the cytoplasmic surface of synaptic vesicles. Family members are characterized by common protein domains, and they are implicated in synaptogenesis and the modulation of neurotransmitter release, suggesting a potential role in several neuropsychiatric diseases. This member of the synapsin family plays a role in regulation of axonogenesis and synaptogenesis. The protein serves as a substrate for several different protein kinases and phosphorylation may function in the regulation of this protein in the nerve terminal. Mutations of the Synapsin I gene may be associated with X linked disorders with primary neuronal degeneration such as Rett syndrome.

Immunogen

Synapsin I (mixture of Ia & Ib) purified from bovine brain.

Application

Detect Synapsin I using this Anti-Synapsin I Antibody validated for use in IC, IH(P), IP & WB.
Research Category
Neuroscience
Research Sub Category
Synapse & Synaptic Biology
Western blotting:
1:200 of a previous lot was used for labeled Protein A, 1:1,000 dilution for ECL.

Immunocytochemistry:
1:500-1:2,000 dilution of a previous lot was used.

Immunoprecipitation:
5 μL of a previous lot quantitatively immunoprecipitated all synapsin in 200 μg of rat brain.

Optimal working dilutions must be determined by the end user.

Biochem/physiol Actions

Synapsin I (Mr of 80,000 and 77,000). Immunolabeling is blocked by preadsorption of antibody with Synapsin I. Synapsin is located only in brain nerve terminal and is an excellent marker for synapses.

Physical form

Rabbit polyclonal antiserum in buffer containing no preservatives.
Unpurified

Preparation Note

Stable for 1 year at -20ºC from date of receipt.
Handling Recommendations: Upon receipt and prior to removing the cap, centrifuge the vial and gently mix the solution. Aliquot into microcentrifuge tubes and store at -20°C. Avoid repeated freeze/thaw cycles, which may damage IgG and affect product performance.

Analysis Note

Control
Mouse hippocampal primary neurons, Mouse brain lysates, PC-12 cells.
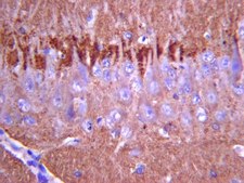
Immunohistochemistry(paraffin): Synapsin representative staining pattern/morphology in rat hippocampal neurons. Tissue was pretreated with Citrate pH 6.0, antigen retrieval. A previous lot of this antibody was diluted to 1:1000, using IHC-Select reagents used with HRP-DAB. Immunoreactivity is seen directly associated with terminal end of neuronal cell body.
IHC-Paraffin Staining With Epitope Retrieval: Rat Hippocampus

Other Notes

Concentration: Please refer to the Certificate of Analysis for the lot-specific concentration.

Legal Information

CHEMICON is a registered trademark of Merck KGaA, Darmstadt, Germany

Disclaimer

Unless otherwise stated in our catalog or other company documentation accompanying the product(s), our products are intended for research use only and are not to be used for any other purpose, which includes but is not limited to, unauthorized commercial uses, in vitro diagnostic uses, ex vivo or in vivo therapeutic uses or any type of consumption or application to humans or animals.

Not finding the right product?  

Try our Product Selector Tool.

Storage Class Code

10 - Combustible liquids

WGK

WGK 1

Flash Point(F)

Not applicable

Flash Point(C)

Not applicable


Certificates of Analysis (COA)

Search for Certificates of Analysis (COA) by entering the products Lot/Batch Number. Lot and Batch Numbers can be found on a product’s label following the words ‘Lot’ or ‘Batch’.

Already Own This Product?

Find documentation for the products that you have recently purchased in the Document Library.

Visit the Document Library

Cleavage of the vesicular glutamate transporters under excitotoxic conditions.
Lobo, Andrea C, et al.
Neurobiology of Disease, 44, 292-303 (2011)
TPM3 and TPM4 gene products segregate to the postsynaptic region of central nervous system synapses.
Guven, K; Gunning, P; Fath, T
Bioarchitecture null
Interaction of NMDA receptors and L-type calcium channels during early odor preference learning in rats.
Jerome, David, et al.
The European Journal of Neuroscience, 36, 3134-3141 (2012)
Innate synchronous oscillations in freely-organized small neuronal circuits.
Shein Idelson, M; Ben-Jacob, E; Hanein, Y
Testing null
Fernando J Sepulveda et al.
PloS one, 5(7), e11820-e11820 (2010-08-03)
The mechanisms that induce Alzheimer's disease (AD) are largely unknown thereby deterring the development of disease-modifying therapies. One working hypothesis of AD is that Abeta excess disrupts membranes causing pore formation leading to alterations in ionic homeostasis. However, it is

Related Content

Glutamate is an excitatory neurotransmitter found in the synaptic vesicles of glutamatergic synapses. The post-synaptic neurons in these synapses contain ionotropic and metabotropic glutamate receptors. Glutamate binds to AMPA (α-amino-3-hydroxy-5- methylisoxazole-4-propionic acid) subtype glutamate receptors, leading to sodium influx into the post-synaptic cell and resulting in neuronal excitability and synaptic transmission. The NMDA (N-methyl-d-aspartate) subtype glutamate receptors, on the other hand, regulate synaptic plasticity, and can influence learning and memory. The metabotropic g-protein coupled mGluRs modulate downstream calcium signaling pathways and indirectly influence the synapse’s excitability. The synaptic architecture includes intracellular scaffolding proteins (PSD-95, GRIP), intercellular cell adhesion molecules (NCAMs, N-Cadherins), and a variety of signaling proteins (CaMKII/PKA, PP1/PP2B). Processes critical for synaptic transmission and plasticity are influenced by these molecules and their interactions. When the function of these molecules is disrupted, it leads to synaptic dysfunction and degeneration, and can contribute to dementia as seen in Alzheimer’s disease.

Our team of scientists has experience in all areas of research including Life Science, Material Science, Chemical Synthesis, Chromatography, Analytical and many others.

Contact Technical Service