Skip to Content
Merck

07-1348

Anti-phospho-PLK1 (Ser137) Antibody

from rabbit, purified by affinity chromatography

Synonym(s):

Polo-like kinase 1, Serine/threonine-protein kinase 13, cell cycle regulated protein kinase, polo (Drosophia)-like kinase, polo like kinase, polo-like kinase (Drosophila), polo-like kinase 1 (Drosophila)

Sign In to View Organizational & Contract Pricing.

Select a Size

Change View

About This Item

UNSPSC Code:
12352203
NACRES:
NA.41
eCl@ss:
32160702
Clone:
polyclonal
Species reactivity:
human, mouse, rat
Application:
WB
Citations:
3
Technical Service
Need help? Our team of experienced scientists is here for you.
Let Us Assist


biological source

rabbit

Quality Level

antibody form

affinity isolated antibody

antibody product type

primary antibodies

clone

polyclonal

purified by

affinity chromatography

species reactivity

human, mouse, rat

species reactivity (predicted by homology)

bovine

technique(s)

western blot: suitable

NCBI accession no.

UniProt accession no.

shipped in

wet ice

target post-translational modification

phosphorylation (pSer137)

Gene Information

human ... PLK1(5347)

General description

68 kDa
Polo-like Kinase 1 (PLK1) is a serine/threonine-protein kinase that performs several important functions throughout M phase of the cell cycle, including the regulation of centrosome maturation and spindle assembly, the removal of cohesins from chromosome arms, the inactivation of APC/C inhibitors, and the regulation of mitotic exit and cytokinesis. Expressed PLK protein accumulates to a maximum during the G2 and M phases, declines to a nearly undetectable level following mitosis and throughout G1 phase, and then begins to accumulate again during S phase.

Immunogen

KLH-conjugated linear peptide corresponding to human phosphoylated PLK1 at and around Ser137.

Application

Detect phospho-PLK1 (Ser137) using this Anti-phospho-PLK1 (Ser137) Antibody validated for use in WB.
Research Category
Signaling
Research Sub Category
Kinases & Phosphatases
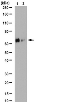
Western Blot (SNAP ID) Analysis: 0.5 µg/mL of this antibody detected PLK1 phosphorylated at Ser137 in human placenta tissue lysate.

Biochem/physiol Actions

This antibody recognizes phosphorylated PLK1 at Ser137.

Physical form

Affinity purified
Affinity purified rabbit serum in 0.1M Tris-Glycine (pH7.4), 150mM NaCl with 0.05% sodium azide.

Preparation Note

Maintain refrigerated at 2-8°C for up to 12 months.

Analysis Note

Control
Lambda phosphatase treated and untreated human placenta tissue lysate.
Evaluated by Western Blot in human placenta tissue lysate.
Western Blot Analysis: 0.5 µg/mL of this antibody detected PLK1 phosphorylated at Ser137 in lambda phosphatase treated and untreated human placenta tissue lysate.

Other Notes

Concentration: Please refer to the Certificate of Analysis for the lot-specific concentration.

Disclaimer

Unless otherwise stated in our catalog or other company documentation accompanying the product(s), our products are intended for research use only and are not to be used for any other purpose, which includes but is not limited to, unauthorized commercial uses, in vitro diagnostic uses, ex vivo or in vivo therapeutic uses or any type of consumption or application to humans or animals.


Still not finding the right product?

Try our Product Selector Tool to narrow your options


Storage Class

12 - Non Combustible Liquids

wgk

WGK 1

flash_point_f

Not applicable

flash_point_c

Not applicable



Certificates of Analysis (COA)

Search for Certificates of Analysis (COA) by entering the products Lot/Batch Number. Lot and Batch Numbers can be found on a product’s label following the words ‘Lot’ or ‘Batch’.

Already Own This Product?

Find documentation for the products that you have recently purchased in the Document Library.

Visit the Document Library



Juan Du et al.
Cell cycle (Georgetown, Tex.), 14(22), 3566-3579 (2015-12-15)
Polo-like kinase 1 (Plk1) is pivotal for proper mitotic progression, its targeting activity is regulated by precise subcellular positioning and phosphorylation. Here we assessed the protein expression, subcellular localization and possible functions of phosphorylated Plk1 (pPlk1(Ser137) and pPlk1(Thr210)) in mouse
Monika Raab et al.
Oncogene, 41(3), 372-386 (2021-11-12)
Polo-like kinase 1 (PLK1) is a crucial regulator of cell cycle progression. It is established that the activation of PLK1 depends on the coordinated action of Aurora-A and Bora. Nevertheless, very little is known about the spatiotemporal regulation of PLK1
Bin Peng et al.
Nucleic acids research, 49(13), 7554-7570 (2021-07-02)
Polo-like kinase 1 (PLK1) is a master kinase that regulates cell cycle progression. How its enzymatic activity is regulated in response to DNA damage is not fully understood. We show that PLK1 is enriched at double strand breaks (DSBs) within