Skip to Content
Merck

ZRB2992

Anti-GPX1 Antibody, clone 1J19 ZooMAb® Rabbit Monoclonal

greener alternative

recombinant, expressed in HEK 293 cells

Synonym(s):

Cellular glutathione peroxidase, EC:1.11.1.12, EC:1.11.1.9, Phospholipid-hydroperoxide glutathione peroxidase GPX1

Sign In to View Organizational & Contract Pricing.

Select a Size

Change View

About This Item

UNSPSC Code:
12352203
NACRES:
NA.41
Conjugate:
unconjugated
Clone:
1J19, recombinant monoclonal
Application:
ICC, IHC, WB
Citations:
-
Technical Service
Need help? Our team of experienced scientists is here for you.
Let Us Assist


biological source

rabbit

Quality Level

recombinant

expressed in HEK 293 cells

conjugate

unconjugated

antibody form

purified antibody

antibody product type

primary antibodies

clone

1J19, recombinant monoclonal

description

recombinant, expressed in HEK 293 cells

product line

ZooMAb® learn more

form

lyophilized

mol wt

calculated mol wt 22 kDa, observed mol wt ~22 kDa

purified by

using Protein A

species reactivity

human

species reactivity (predicted by homology)

monkey, canine, porcine, feline

packaging

antibody small pack of 25

greener alternative product characteristics

Waste Prevention
Designing Safer Chemicals
Design for Energy Efficiency
Learn more about the Principles of Green Chemistry.

enhanced validation

recombinant expression
Learn more about Antibody Enhanced Validation

sustainability

Greener Alternative Product

technique(s)

immunocytochemistry: suitable, immunohistochemistry: suitable, western blot: suitable

isotype

IgGκ

epitope sequence

N-terminal half

Protein ID accession no.

UniProt accession no.

greener alternative category

shipped in

ambient

storage temp.

2-8°C

Gene Information

human ... GPX1(2876)

General description

Glutathione peroxidase 1 (UniProt: P07203; EC:1.11.1.9; EC:1.11.1.12, also known as GPx-1, Cellular glutathione peroxidase, Phospholipid-hydroperoxide glutathione peroxidase GPX1) is encoded by the GPX1 gene (Gene ID: 2876) in human. Glutathione peroxidase 1 (GPX1) is one of the most important enzymes in the cellular defense against oxidative stress. GPX1 is a selenoprotein, containing a selenocysteine residue at its active site, which is critical for its catalytic activity. The enzyme typically exists as a tetramer, each monomer consisting of about 200 amino acids. The structure allows for the reduction of hydrogen peroxide and organic hydroperoxides to water and corresponding alcohols, respectively. The primary function of GPX1 is to protect the organism from oxidative damage by reducing lipid hydroperoxides as well as hydrogen peroxide using glutathione as the electron donor. This activity is crucial in the detoxification of peroxides generated during metabolism and in protecting biomembranes and other cellular components from oxidative stress. GPX1 is ubiquitously expressed in nearly all mammalian tissues, with particularly high levels in the liver and kidney. The expression of GPX1 can be induced by oxidative stress, and it is regulated by dietary selenium intake, as selenium is a cofactor for the enzyme. Altered expression of GPX1 has been linked to various cancers. Low GPX1 activity might contribute to the oxidative environment that is conducive to cancer development, whereas some cancer cells may upregulate GPX1 as a protective mechanism against oxidative stress. GPX1 deficiency has been associated with increased risk of cardiovascular diseases, including atherosclerosis and hypertension, likely due to the inability to adequately clear peroxides. Oxidative stress is a feature of many neurodegenerative diseases such as Alzheimer′s and Parkinson′s disease. GPX1, through its antioxidant function, is thought to play a protective role in the nervous system.
We are committed to bringing you greener alternative products, which adhere to one or more of the 12 Principles of Green Chemistry. This antibody is preservative-free, produced without the harm or sacrifice of animals and exceptionally stable to allow for ambient shipping and storage if needed, and thus aligns with "Waste Prevention", "Designing Safer Chemicals" and "Design for Energy Efficiency". Click here for more information.
ZooMAb® antibodies represent an entirely new generation of recombinant monoclonal antibodies. Each ZooMAb® antibody is manufactured using our proprietary recombinant expression system, purified to homogeneity, and precisely dispensed to produce robust and highly reproducible lot-to-lot consistency. Only top-performing clones are released for use by researchers. Each antibody is validated for high specificity and affinity across multiple applications, including its most commonly used application. ZooMAb® antibodies are reliably available and ready to ship when you need them.

Immunogen

KLH-conjugated linear peptide corresponding to 15 amino acids from the N-terminal half of human GPX1.

Application

Quality Control Testing

Evaluated by Western Blotting in PC-3 cell lysate.

Western Blotting Analysis: A 1:10,000 dilution of this antibody detected GPX1 in PC-3 cell lysate.

Tested Applications

Western Blotting Analysis: A 1:1,000-10,000 dilution from a representative lot detected GPX1 in HepG2, THP-1, human liver, and human kidney lysates.

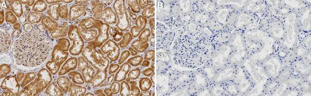
Immunohistochemistry (Paraffin) Analysis: A 1:100 dilution from a representative lot detected GPX1 in human kidney tissue sections.

Immunocytochemistry Analysis: A 1:100 dilution from a representative lot detected GPX1 in HepG2 cells.

Note: Actual optimal working dilutions must be determined by end user as specimens, and experimental conditions may vary with the end user.

Biochem/physiol Actions

Clone 1J19 is a ZooMAb® rabbit recombinant monoclonal antibody that detects GPX1. It targets an epitope within 15 amino acids from the N-terminal half.

Physical form

Purified recombinant rabbit monoclonal antibody IgG, lyophilized in PBS with 5% Trehalose, normal appearance a coarse or translucent resin. The PBS/trehalose components in the ZooMAb formulation can have the appearance of a semi-solid (bead like gel) after lyophilization. This is a normal phenomenon. Please follow the recommended reconstitution procedure in the data sheet to dissolve the semi-solid, bead-like, gel-appearing material. The resulting antibody solution is completely stable and functional as proven by full functional testing. Contains no biocide or preservatives, such as azide, or any animal by-products. Larger pack sizes provided as multiples of 25 µL.

Preparation Note

Recommend storage of lyophilized product at 2-8°C; Before reconstitution, micro-centrifuge vials briefly to spin down material to bottom of the vial; Reconstitute each vial by adding 25 µL of filtered lab grade water or PBS; Reconstituted antibodies can be stored at 2-8°C, or -20°C for long term storage. Avoid repeated freeze-thaws.
Reconstitute lyophilized antibody pellet with 25μL of ultrapure water or Phosphate Buffered Saline (PBS). Please refer to our reconstitution protocol and the specific application guidance on the suggested starting dilutions and sample type.

Legal Information

ZooMAb is a registered trademark of Merck KGaA, Darmstadt, Germany

Disclaimer

Unless otherwise stated in our catalog or other company documentation accompanying the product(s), our products are intended for research use only and are not to be used for any other purpose, which includes but is not limited to, unauthorized commercial uses, in vitro diagnostic uses, ex vivo or in vivo therapeutic uses or any type of consumption or application to humans or animals.


Still not finding the right product?

Try our Product Selector Tool to narrow your options


Storage Class

11 - Combustible Solids

wgk

WGK 2

flash_point_f

Not applicable

flash_point_c

Not applicable



Choose from one of the most recent versions:

Certificates of Analysis (COA)

Lot/Batch Number

It looks like we've run into a problem, but you can still download Certificates of Analysis from our Documents section.

If you need assistance, please contact Customer Support

Already Own This Product?

Find documentation for the products that you have recently purchased in the Document Library.

Visit the Document Library



Global Trade Item Number

SKUGTIN
ZRB2992-4X25UL04065271965225
ZRB2992-25UL04065271965218