Skip to Content
Merck

ZRB1911

Anti-FABP4 Antibody, clone 1J20 ZooMAb® Rabbit Monoclonal

greener alternative

recombinant, expressed in HEK 293 cells

Synonym(s):

Fatty acid-binding protein adipocyte;Adipocyte lipid-binding protein;ALBP;Adipocyte-type fatty acid-binding protein;A-FABP;AFABP;Fatty acid-binding protein 4

Sign In to View Organizational & Contract Pricing.

Select a Size

Change View

About This Item

NACRES:
NA.43
UNSPSC Code:
12352203
Conjugate:
unconjugated
Clone:
1J20, recombinant monoclonal
Application:
ICC, IHC, WB, affinity binding assay
Citations:
-
Technical Service
Need help? Our team of experienced scientists is here for you.
Let Us Assist


biological source

rabbit

Quality Level

recombinant

expressed in HEK 293 cells

conjugate

unconjugated

antibody form

purified antibody

antibody product type

primary antibodies

clone

1J20, recombinant monoclonal

description

1J20 Clone

product line

ZooMAb® learn more

form

lyophilized

mol wt

calculated mol wt 14.72 kDa, observed mol wt ~15 kDa

purified by

using Protein A

species reactivity

mouse, human

species reactivity (predicted by homology)

monkey

packaging

antibody small pack of 25 μL

greener alternative product characteristics

Waste Prevention
Designing Safer Chemicals
Design for Energy Efficiency
Learn more about the Principles of Green Chemistry.

enhanced validation

recombinant expression
Learn more about Antibody Enhanced Validation

sustainability

Greener Alternative Product

technique(s)

affinity binding assay: suitable, immunocytochemistry: suitable, immunohistochemistry: suitable, western blot: suitable

isotype

IgG

epitope sequence

C-terminal half

Protein ID accession no.

UniProt accession no.

greener alternative category

shipped in

ambient

storage temp.

2-8°C

target post-translational modification

unmodified

Gene Information

human ... FABP4(2167)

General description

Fatty acid-binding protein, adipocyte (UniProt: P15090; also known as Adipocyte lipid-binding protein, ALBP, Adipocyte-type fatty acid-binding protein, A-FABP, AFABP, Fatty acid-binding protein 4) is encoded by the FABP4 gene (Gene ID: 2167) in human. FABPs are a family of proteins that function as intracellular lipid chaperones and regulate lipid trafficking and responses in cells. They can reversibly bind to hydrophobic ligands, such as saturated and unsaturated long-chain fatty acids (FAs), eicosanoids, and other lipids, with high affinity and broad selectivity. FABP4 binds both long chain fatty acids and retinoic acid and delivers them to their cognate receptors in the nucleus. Its fatty acid binding sequence is localized to amino acids 127-129 and its nuclear localization signal resides in amino acids 27-32. FABP4 is mainly expressed in adipocytes, however, smaller amounts may also be found in macrophages. In adipocytes its levels are found to be about 10,000-fold higher than in macrophages. It is released from adipocytes in a non-classical pathway associated with lipolysis, possibly acting as an adipokine. Elevated levels of FABP4 have been linked to development of obesity, insulin resistance, diabetes mellitus, hypertension, and atherosclerosis. FABP4-deficient mice display increased body weight but reduced insulin resistance in both high-fat diet-induced and genetic obesity mouse models. Expression of FABP4 is reported to be high during adipocyte differentiation and is transcriptionally controlled by peroxisome proliferator-activated receptor (PPAR) agonists. This ZooMAbZooMAb® recombinant monoclonal antibody, generated by our propriety technology, offers significantly enhanced specificity, affinity, reproducibility, and stability over conventional monoclonals. (Ref.: Furuhashi, M., et al. (2014). Clin. Med. Insights Cardiol. 8(Suppl 3); : 23-33).
We are committed to bringing you greener alternative products, which adhere to one or more of The 12 Principles of Green Chemistry.This antibody is Preservative-free, produced without the harm or sacrifice of animals and exceptionally stable to allow for ambient shipping and storage if needed and thus aligns with "Waste Prevention", "Designing Safer Chemicals" and "Design for Energy Efficiency". Click here for more information.
ZooMAb® antibodies represent an entirely new generation of recombinant monoclonal antibodies.Each ZooMAb® antibody is manufactured using our proprietary recombinant expression system, purified to homogeneity, and precisely dispensed to produce robust and highly reproducible lot-to-lot consistency. Only top-performing clones are released for use by researchers. Each antibody is validated for high specificity and affinity across multiple applications, including its most commonly used application. ZooMAb® antibodies are reliably available and ready to ship when you need them.

Immunogen

KLH-conjugated linear peptide corresponding to 20 amino acids from the C-terminal half of human Fatty acid-binding protein 4 (FABP4).

Application

Quality Control Testing

Evaluated by Western Blotting in Mouse heart tissue lysate.

Western Blotting Analysis: A 1:1,000 dilution of this antibody detected FABP4 in Mouse heart tissue lysate.

Tested applications

Western Blotting Analysis: A 1:1000 Dilution from a representative lot detected FABP4 in lysates from Human heart tissue and SH-SY5Y cells.

Immunocytochemistry Analysis: A 1:100 dilution from a representative lot detected FABP4 in SH-SY5Y cells.

Affinity Binding Assay: A representative lot of this antibody bound FABP4 with a KD of 3.8 x 10-9 in an affinity binding assay.

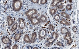
Immunohistochemistry (Paraffin) Analysis: A 1:100 dilution from a representative lot detected FABP4 in human breast tissue sections.

Note: Actual optimal working dilutions must be determined by end user as specimens, and experimental conditions may vary with the end user

Evaluated by Western Blotting in Mouse heart tissue lysate.

Western Blotting Analysis: A 1:1,000 dilution of this antibody detected FABP4 in Mouse heart tissue lysate.

Biochem/physiol Actions

Clone 1J20 is a ZooMAb® Rabbit recombinant monoclonal antibody that specifically detects Fatty acid-binding protein 4 (FABP4). It targets an epitope within 20 amino acids from the C-terminal half.

Physical form

Purified recombinant rabbit monoclonal antibody IgG, lyophilized in PBS with 5% Trehalose, normal appearance a coarse or translucent resin. The PBS/trehalose components in the ZooMAb formulation can have the appearance of a semi-solid (bead like gel) after lyophilization. This is a normal phenomenon. Please follow the recommended reconstitution procedure in the data sheet to dissolve the semi-solid, bead-like, gel-appearing material. The resulting antibody solution is completely stable and functional as proven by full functional testing. Contains no biocide or preservatives, such as azide, or any animal by-products. Larger pack sizes provided as multiples of 25 μL.

Preparation Note

Recommend storage of lyophilized product at 2-8°C; Before reconstitution, micro-centrifuge vials briefly to spin down material to bottom of the vial; Reconstitute each vial by adding 25 μL of filtered lab grade water or PBS; Reconstituted antibodies can be stored at 2-8°C, or -20°C for long term storage. Avoid repeated freeze-thaws.
Reconstitute lyophilized antibody pellet with 25μL of ultrapure water or Phosphate Buffered Saline (PBS). Please refer to our reconstitution protocol and the specific application guidance on the suggested starting dilutions and sample type.

Legal Information

ZooMAb is a registered trademark of Merck KGaA, Darmstadt, Germany

Disclaimer

Unless otherwise stated in our catalog or other company documentation accompanying the product(s), our products are intended for research use only and are not to be used for any other purpose, which includes but is not limited to, unauthorized commercial uses, in vitro diagnostic uses, ex vivo or in vivo therapeutic uses or any type of consumption or application to humans or animals.


Still not finding the right product?

Try our Product Selector Tool to narrow your options


Storage Class

11 - Combustible Solids

wgk

WGK 1

flash_point_f

Not applicable

flash_point_c

Not applicable



Choose from one of the most recent versions:

Certificates of Analysis (COA)

Lot/Batch Number

It looks like we've run into a problem, but you can still download Certificates of Analysis from our Documents section.

If you need assistance, please contact Customer Support

Already Own This Product?

Find documentation for the products that you have recently purchased in the Document Library.

Visit the Document Library



Global Trade Item Number

SKUGTIN
ZRB1911-25UL04065268344248
ZRB1911-4X25UL04065268344255