Skip to Content
Merck

SAB4300023

Sigma-Aldrich

Anti-phospho-ATF2 (pSer112 or pSer94) antibody produced in rabbit

affinity isolated antibody

Synonym(s):

Anti-CRE-BP1 antibody produced in rabbit, Anti-CREB2 antibody produced in rabbit, Anti-HB16 antibody produced in rabbit, Anti-MGC111558 antibody produced in rabbit, Anti-activating transcription factor 2 antibody produced in rabbit

Sign Into View Organizational & Contract Pricing

Select a Size


About This Item

UNSPSC Code:
12352203
NACRES:
NA.41
Technical Service
Need help? Our team of experienced scientists is here for you.
Let Us Assist
Technical Service
Need help? Our team of experienced scientists is here for you.
Let Us Assist

biological source

rabbit

conjugate

unconjugated

antibody form

affinity isolated antibody

antibody product type

primary antibodies

clone

polyclonal

form

buffered aqueous solution

mol wt

65-75 kDa

species reactivity

rat, mouse, human

concentration

1 mg/mL

technique(s)

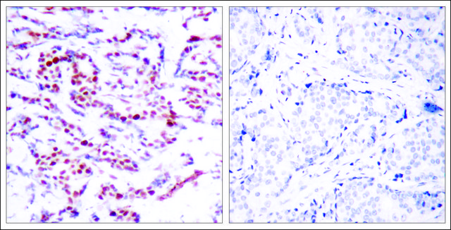
immunohistochemistry (formalin-fixed, paraffin-embedded sections): 1:50-1:100

isotype

IgG

immunogen sequence

(D-L-SP-P-L)

NCBI accession no.

UniProt accession no.

shipped in

wet ice

storage temp.

−20°C

target post-translational modification

phosphorylation (pSer112/pSer94)

Gene Information

human ... ATF2(1386)

General description

Transcriptional activator, probably constitutive, which binds to the cAMP-responsive element (CRE) (consensus: 5'-GTGACGT[AC][AG]-3'), a sequence present in many viral and cellular promoters. Interaction with JUN redirects JUN to bind to CRES preferentially over the 12-O-tetradecanoylphorbol-13-acetate response elements (TRES) as part of an ATF2-c-Jun complex.

Immunogen

Peptide sequence around phosphorylation site of serine 112 or 94 (D-L-S(p)-P-L), according to the protein ATF2.

Features and Benefits

Evaluate our antibodies with complete peace of mind. If the antibody does not perform in your application, we will issue a full credit or replacement antibody. Learn more.

Physical form

Solution in phosphate-buffered saline containing 0.02% sodium azide and 50% glycerol

Not finding the right product?  

Try our Product Selector Tool.

Storage Class Code

10 - Combustible liquids

WGK

WGK 1

Flash Point(F)

Not applicable

Flash Point(C)

Not applicable


Choose from one of the most recent versions:

Certificates of Analysis (COA)

Lot/Batch Number

Don't see the Right Version?

If you require a particular version, you can look up a specific certificate by the Lot or Batch number.

Already Own This Product?

Find documentation for the products that you have recently purchased in the Document Library.

Visit the Document Library

Our team of scientists has experience in all areas of research including Life Science, Material Science, Chemical Synthesis, Chromatography, Analytical and many others.

Contact Technical Service