G0296
Anti-GRK2 antibody produced in rabbit

affinity isolated antibody, buffered aqueous solution
Synonym(s):
Anti-β-ARK1, Anti-β-Adrenergic receptor kinase-1, Anti-ADRBK1, Anti-BARK1, Anti-G Protein-dependent receptor kinase 2
biological source
rabbit
conjugate
unconjugated
antibody form
affinity isolated antibody
antibody product type
primary antibodies
clone
polyclonal
form
buffered aqueous solution
mol wt
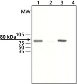
antigen ~80 kDa
species reactivity
human
enhanced validation
recombinant expression
Learn more about Antibody Enhanced Validation
technique(s)
western blot: 0.5-1 μg/mL using HEK-293T cells expressing human GRK2 or Jurkat cell lysate
shipped in
dry ice
storage temp.
−20°C
target post-translational modification
unmodified
Gene Information
human ... ADRBK1(156)
Related Categories
General description
Immunogen
Application
Biochem/physiol Actions
Physical form
Disclaimer
Not finding the right product?
Try our Product Selector Tool.
Choose from one of the most recent versions:
Already Own This Product?
Find documentation for the products that you have recently purchased in the Document Library.
Related Content
Our team of scientists has experience in all areas of research including Life Science, Material Science, Chemical Synthesis, Chromatography, Analytical and many others.
Contact Technical Service