Skip to Content
Merck

AV40572

Sigma-Aldrich

Anti-SFPQ antibody produced in rabbit

IgG fraction of antiserum

Sign Into View Organizational & Contract Pricing

Select a Size


About This Item

UNSPSC Code:
12352203
NACRES:
NA.41
Technical Service
Need help? Our team of experienced scientists is here for you.
Let Us Assist
Technical Service
Need help? Our team of experienced scientists is here for you.
Let Us Assist

biological source

rabbit

Quality Level

conjugate

unconjugated

antibody form

IgG fraction of antiserum

antibody product type

primary antibodies

clone

polyclonal

form

buffered aqueous solution

mol wt

78 kDa

species reactivity

dog, human, bovine

concentration

0.5 mg - 1 mg/mL

technique(s)

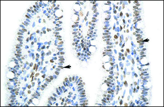
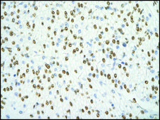
immunohistochemistry: suitable
western blot: suitable

NCBI accession no.

UniProt accession no.

shipped in

wet ice

storage temp.

−20°C

target post-translational modification

unmodified

Gene Information

human ... SFPQ(6421)

Immunogen

Synthetic peptide directed towards the N terminal region of human SFPQ

Biochem/physiol Actions

SFPQ is DNA- and RNA binding protein. It is essential pre-mRNA splicing factor required early in spliceosome formation and for splicing catalytic step II, probably as an heteromer with NONO. It binds to pre-mRNA in spliceosome C complex, and specifically binds to intronic polypyrimidine tracts. It interacts with U5 snRNA. It may be involved in a pre-mRNA coupled splicing and polyadenylation process as component of a snRNP-free complex with SNRPA/U1A. SFPQ may be involved in homologous DNA pairing. SFPQ is involved in transcriptional regulation. It binds the DNA sequence 5′-CTGAGTC-3′ in the insulin-like growth factor response element (IGFRE) and inhibits IGF-I-stimulated transcriptional activity.

Physical form

Purified antibody supplied in 1x PBS buffer with 0.09% (w/v) sodium azide and 2% sucrose.

Other Notes

Synthetic peptide located within the following region: VPGPGPGPKQGPGPGGPKGGKMPGGPKPGGGPGLSTPGGHPKPPHRGGGE

Disclaimer

Unless otherwise stated in our catalog or other company documentation accompanying the product(s), our products are intended for research use only and are not to be used for any other purpose, which includes but is not limited to, unauthorized commercial uses, in vitro diagnostic uses, ex vivo or in vivo therapeutic uses or any type of consumption or application to humans or animals.

Not finding the right product?  

Try our Product Selector Tool.

Storage Class Code

10 - Combustible liquids

WGK

WGK 3

Flash Point(F)

Not applicable

Flash Point(C)

Not applicable


Choose from one of the most recent versions:

Certificates of Analysis (COA)

Lot/Batch Number

Don't see the Right Version?

If you require a particular version, you can look up a specific certificate by the Lot or Batch number.

Already Own This Product?

Find documentation for the products that you have recently purchased in the Document Library.

Visit the Document Library

Shuyi Li et al.
Nucleic acids research, 42(15), 9771-9780 (2014-08-08)
NONO, SFPQ and PSPC1 make up a family of proteins with diverse roles in transcription, RNA processing and DNA double-strand break (DSB) repair. To understand long-term effects of loss of NONO, we characterized murine embryonic fibroblasts (MEFs) from knockout mice.

Our team of scientists has experience in all areas of research including Life Science, Material Science, Chemical Synthesis, Chromatography, Analytical and many others.

Contact Technical Service