Skip to Content
Merck

MABN778

Sigma-Aldrich

Anti-C9ORF72/C9RANT (poly-GR) Antibody, clone 5A2

clone 5A2, 1 mg/mL, from rat

Synonym(s):

c9orf72

Sign Into View Organizational & Contract Pricing

Select a Size


About This Item

UNSPSC Code:
12352203
eCl@ss:
32160702
NACRES:
NA.41
Technical Service
Need help? Our team of experienced scientists is here for you.
Let Us Assist
Technical Service
Need help? Our team of experienced scientists is here for you.
Let Us Assist

biological source

rat

Quality Level

antibody form

purified antibody

antibody product type

primary antibodies

clone

5A2, monoclonal

species reactivity

human

species reactivity (predicted by homology)

all

concentration

1 mg/mL

technique(s)

immunohistochemistry: suitable
western blot: suitable

isotype

IgG2aκ

shipped in

wet ice

target post-translational modification

unmodified

Gene Information

human ... C9ORF72(203228)

General description

Hexanucleotide (GGGGCC) repeat expansions in a noncoding region of C9ORF72 are the major genetic cause of FTD and ALS (c9FTD/ALS). The RNA structure of GGGGCC repeats renders these transcripts susceptible to an unconventional mechanism of translation—repeat associated non-ATG (RAN) translation. Translation of the GGGGCC-repeat in all reading frames would result in three dipeptide-repeat (DPR) proteins poly-(Gly-Ala), poly-(Gly-Pro) and poly-(Gly-Arg). poly-GA and poly-GP proteins are extremely hydrophobic and may form intracellular aggregates
Variable

Immunogen

Epitope: poly-GR
Linear peptide corresponding to Epstein-Barr Virus Nuclear Antigen 2 (ENBA2) containing GR repeat sequence.

Application

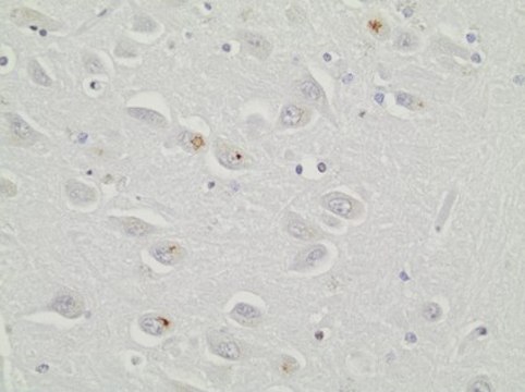
Detect C9ORF72/C9RANT (poly-GR) using this Anti-C9ORF72/C9RANT (poly-GR) antibody, clone 5A2 validated for use in western blotting & IHC.
Immunohistochemistry Analysis: A representative lot detected poly-GR inclusions from brain tissues of C9orf72 patients with C9ORF72 hexanucleotide expansion (Mori, K., et al. (2013). Science. 339(6125):1335-1338.).
Research Category
Neuroscience
Research Sub Category
Neurodegenerative Diseases

Biochem/physiol Actions

This antibody recognizes C9ORF72/C9RANT (poly-GR) and other proteins containing poly-GR sequence, such as the Epstein Barr virus protein EBNA2

Physical form

Format: Purified
Protein G Purified
Purified rat monoclonal IgG2aκ in buffer containing 0.1 M Tris-Glycine (pH 7.4), 150 mM NaCl with 0.05% sodium azide.

Preparation Note

Stable for 1 year at 2-8°C from date of receipt.

Analysis Note

Evaluated by Western Blotting using GST fusion proteins with 15 GA, GP, or GR repeats, as well as GST alone without any repeat sequence.

Western Blotting Analysis: 0.2 μg of this antibody detected 10 μg of GR-GST recombinant protein with 15 GR repeats.

Disclaimer

Unless otherwise stated in our catalog or other company documentation accompanying the product(s), our products are intended for research use only and are not to be used for any other purpose, which includes but is not limited to, unauthorized commercial uses, in vitro diagnostic uses, ex vivo or in vivo therapeutic uses or any type of consumption or application to humans or animals.

Not finding the right product?  

Try our Product Selector Tool.

Storage Class Code

12 - Non Combustible Liquids

WGK

WGK 1

Flash Point(F)

Not applicable

Flash Point(C)

Not applicable


Certificates of Analysis (COA)

Search for Certificates of Analysis (COA) by entering the products Lot/Batch Number. Lot and Batch Numbers can be found on a product’s label following the words ‘Lot’ or ‘Batch’.

Already Own This Product?

Find documentation for the products that you have recently purchased in the Document Library.

Visit the Document Library

The C9orf72 GGGGCC repeat is translated into aggregating dipeptide-repeat proteins in FTLD/ALS.
Mori, K; Weng, SM; Arzberger, T; May, S; Rentzsch, K; Kremmer, E; Schmid, B; Kretzschmar et al.
Science (New York, N.Y.) null
Philip McGoldrick et al.
Neurology, 90(4), e323-e331 (2017-12-29)
Suggested C9orf72 disease mechanisms for amyotrophic lateral sclerosis (ALS) and frontotemporal lobar degeneration include C9orf72 haploinsufficiency, G4C2/C4G2 RNA foci, and dipeptide repeat (DPR) proteins translated from the G4C2 expansion; however, the role of small expansions (e.g., 30-90 repeats) is unknown
Alan S Premasiri et al.
Frontiers in pharmacology, 11, 569661-569661 (2020-10-06)
Repeat expansion mutations in the C9ORF72 gene are the most common genetic cause of amyotrophic lateral sclerosis (ALS) and frontotemporal dementia (FTD). Repeat-associated non-AUG translation of this expansion produces dipeptide repeat proteins (DRPs). The arginine containing DRPs, polyGR and polyPR
Amrutha Swaminathan et al.
Human molecular genetics, 27(10), 1754-1762 (2018-03-13)
Large expansions of hexanucleotide GGGGCC (G4C2) repeats (hundreds to thousands) in the first intron of the chromosome 9 open reading frame 72 (C9orf72) locus are the strongest known genetic factor associated with amyotrophic lateral sclerosis and frontotemporal lobar degeneration. Different
Yingxiao Shi et al.
JCI insight, 5 (2019-07-17)
Amyotrophic lateral sclerosis (ALS) is a fatal motor neuron disease with diverse etiologies. Therefore, the identification of common disease mechanisms and therapeutics targeting these mechanisms could dramatically improve clinical outcomes. To this end, we developed induced motor neuron (iMN) models

Our team of scientists has experience in all areas of research including Life Science, Material Science, Chemical Synthesis, Chromatography, Analytical and many others.

Contact Technical Service