Skip to Content
Merck

MABE227

Sigma-Aldrich

Anti-FTO Antibody, clone 5-2H10

clone 5-2H10, from mouse

Synonym(s):

Alpha-ketoglutarate-dependent dioxygenase FTO, Fat mass and obesity-associated protein

Sign Into View Organizational & Contract Pricing

Select a Size


About This Item

UNSPSC Code:
12352203
eCl@ss:
32160702
NACRES:
NA.41
Technical Service
Need help? Our team of experienced scientists is here for you.
Let Us Assist
Technical Service
Need help? Our team of experienced scientists is here for you.
Let Us Assist

biological source

mouse

Quality Level

conjugate

unconjugated

antibody form

purified immunoglobulin

antibody product type

primary antibodies

clone

5-2H10, monoclonal

species reactivity

human, rat

technique(s)

immunohistochemistry: suitable (paraffin)
western blot: suitable

isotype

IgG2aκ

NCBI accession no.

UniProt accession no.

shipped in

wet ice

target post-translational modification

unmodified

Gene Information

human ... FTO(79068)

General description

Alpha-ketoglutarate-dependent dioxygenase FTO (Fat mass and obesity-associated protein) is a ubiquitous nuclear protein which belongs to the FTO family. It is a dioxygenase enzyme that dealkylates nucleic acids by oxidative demethylation in the presence of oxygen, alpha-ketoglutarate and iron (Fe2+). FTO is highly active on single-stranded RNA molecules with 3-methyluracil residues and on single-stranded DNA containing 3-methylthymine residues, and has relatively low activity on single-stranded DNA containing either 3-methylcytosine or 3-methyladenine. There has been no observed activity on double-stranded DNA. FTO is highly abundant in the hypothalamus, pituitary, and adrenal glands. It plays an important role in energy homeostasis and the regulation of fat accumulation in the body, and may be involved in obesity. Mutated FTO proteins are linked to a syndrome characterized by retarded growth, delayed development, coarse facies and early death.
~58 kDa observed.

Immunogen

Recombinant protein corresponding to human FTO.

Application

Anti-FTO Antibody, clone 5-2H10 detects level of FTO & has been published & validated for use in Western Blotting, IHC(P).
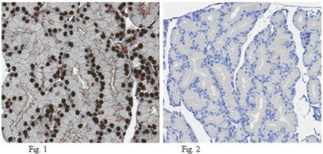
Immunohistochemistry Analysis: A 1:1,000 dilution from a representative lot detected FTO in glandular cells of rat pituitary gland tissue.
Research Category
Epigenetics & Nuclear Function
Research Sub Category
Cell Cycle, DNA Replication & Repair

Physical form

Format: Purified
Protein G Purified
Purified mouse monoclonal IgG2aκ in buffer containing 0.1 M Tris-Glycine (pH 7.4), 150 mM NaCl with 0.05% sodium azide.

Preparation Note

Stable for 1 year at 2-8°C from date of receipt.

Analysis Note

Control
Human kidney tissue lysate
Evaluated by Western Blot in human kidney tissue lysate.

Western Blot Analysis: 1 µg/mL of this antibody detected FTO in 10 µg of human kidney tissue lysate.

Other Notes

Concentration: Please refer to the Certificate of Analysis for the lot-specific concentration.

Disclaimer

Unless otherwise stated in our catalog or other company documentation accompanying the product(s), our products are intended for research use only and are not to be used for any other purpose, which includes but is not limited to, unauthorized commercial uses, in vitro diagnostic uses, ex vivo or in vivo therapeutic uses or any type of consumption or application to humans or animals.

Not finding the right product?  

Try our Product Selector Tool.

Storage Class Code

12 - Non Combustible Liquids

WGK

WGK 1

Flash Point(F)

Not applicable

Flash Point(C)

Not applicable


Certificates of Analysis (COA)

Search for Certificates of Analysis (COA) by entering the products Lot/Batch Number. Lot and Batch Numbers can be found on a product’s label following the words ‘Lot’ or ‘Batch’.

Already Own This Product?

Find documentation for the products that you have recently purchased in the Document Library.

Visit the Document Library

Balraj Singh et al.
PloS one, 11(7), e0159072-e0159072 (2016-07-09)
We have previously shown that only 0.01% cells survive a metabolic challenge involving lack of glutamine in culture medium of SUM149 triple-negative Inflammatory Breast Cancer cell line. These cells, designated as SUM149-MA for metabolic adaptability, are resistant to chemotherapeutic drugs

Related Content

New Products: Antibodies, Assays, Small Molecules, Inhibitors, and Proteins

Our team of scientists has experience in all areas of research including Life Science, Material Science, Chemical Synthesis, Chromatography, Analytical and many others.

Contact Technical Service