Skip to Content
Merck

ABN253

Sigma-Aldrich

Anti-PTGDS Antibody

from rabbit

Synonym(s):

Prostaglandin-H2 D-isomerase, Beta-trace protein, Cerebrin-28, Glutathione-independent PGD synthase, Lipocalin-type prostaglandin-D synthase, Prostaglandin-D2 synthase, PGD2 synthase, PGDS, PGDS2

Sign Into View Organizational & Contract Pricing

Select a Size


About This Item

UNSPSC Code:
12352203
eCl@ss:
32160702
NACRES:
NA.41
Technical Service
Need help? Our team of experienced scientists is here for you.
Let Us Assist
Technical Service
Need help? Our team of experienced scientists is here for you.
Let Us Assist

biological source

rabbit

Quality Level

conjugate

unconjugated

antibody form

purified antibody

antibody product type

primary antibodies

clone

polyclonal

species reactivity

human

species reactivity (predicted by homology)

rhesus macaque (based on 100% sequence homology)

technique(s)

immunohistochemistry: suitable
western blot: suitable

NCBI accession no.

UniProt accession no.

shipped in

wet ice

target post-translational modification

unmodified

Gene Information

human ... PTGDS(5730)

General description

Prostaglandin-H2 D-isomerase (PTGDS), also known the Lipocalin-type prostaglandin-D synthase, catalyzes the conversion of PGH2 to PGD2. PTGDS serves both as a PGD2-synthesizing enzyme and as an extracellular transporter of various lipophilic small molecules. It is the only enzyme in the lipocalin type protein family, members of which mainly act as binding proteins. It has been shown to bind various small, lipophilic compounds such as retinoic acid, biliverdin, bilirubin, retinoic acid, and thyroid hormone and may act as a scavenger for harmful hydrophobic molecules. In cells it is localized in the endoplasm reticulum, golgi apparatus, cell membrane, and is also secreted. PTGDS is involved in several central nervous system functions, such as sedation, pain regulation and non-rapid eye movement sleep. It is suggested to be involved in development and maintenance of the blood-brain, blood-retina, and blood-aqueous humor barriers and may also play a role in maturation and maintenance of the central nervous system.
~30 kDa observed

Immunogen

KLH-conjugated linear peptide corresponding to human PTGDS.

Application

Detect the PTGDS protein using this Anti-PTGDS validated for use in WB & IHC.
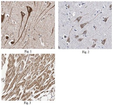
Immunohistochemistry Analysis: 1:100 dilution from a representative lot detected PTGDS in human pons/midbrain and human cardiac myocytes.
Research Category
Neuroscience
Research Sub Category
Developmental Signaling

Biochem/physiol Actions

Other homologies: Feline (92% sequence homology), Canine (83% sequence homology), Mouse (75% sequence homology), no homology to Rat detected.

Physical form

Format: Purified
Protein A purified
Purified rabbit polyclonal in buffer containing 0.1 M Tris-Glycine (pH 7.4), 150 mM NaCl with 0.05% sodium azide.

Preparation Note

Stable for 1 year at 2-8°C from date of receipt.

Analysis Note

Control
Human testis tissue lysate
Evaluated by Western Blot in human testis tissue lysate.

Western Blot Analysis: 0.2 µg/mL of this antibody detected PTGDS in 10 µg of human testis tissue lysate.

Other Notes

Concentration: Please refer to the Certificate of Analysis for the lot-specific concentration.

Disclaimer

Unless otherwise stated in our catalog or other company documentation accompanying the product(s), our products are intended for research use only and are not to be used for any other purpose, which includes but is not limited to, unauthorized commercial uses, in vitro diagnostic uses, ex vivo or in vivo therapeutic uses or any type of consumption or application to humans or animals.

Not finding the right product?  

Try our Product Selector Tool.

Storage Class Code

12 - Non Combustible Liquids

WGK

WGK 1

Flash Point(F)

Not applicable

Flash Point(C)

Not applicable


Certificates of Analysis (COA)

Search for Certificates of Analysis (COA) by entering the products Lot/Batch Number. Lot and Batch Numbers can be found on a product’s label following the words ‘Lot’ or ‘Batch’.

Already Own This Product?

Find documentation for the products that you have recently purchased in the Document Library.

Visit the Document Library

Our team of scientists has experience in all areas of research including Life Science, Material Science, Chemical Synthesis, Chromatography, Analytical and many others.

Contact Technical Service