Skip to Content
Merck

ABE1323

Sigma-Aldrich

Anti-Forkhead box protein K2 (FOXK2)

from rabbit, purified by affinity chromatography

Synonym(s):

Forkhead box protein K2, Cellular transcription factor ILF-1, FOXK1, Interleukin enhancer-binding factor 1

Sign Into View Organizational & Contract Pricing

Select a Size


About This Item

UNSPSC Code:
12352203
eCl@ss:
32160702
NACRES:
NA.41
Technical Service
Need help? Our team of experienced scientists is here for you.
Let Us Assist
Technical Service
Need help? Our team of experienced scientists is here for you.
Let Us Assist

biological source

rabbit

Quality Level

conjugate

unconjugated

antibody form

affinity isolated antibody

antibody product type

primary antibodies

clone

polyclonal

purified by

affinity chromatography

species reactivity

human

technique(s)

immunohistochemistry: suitable (paraffin)
western blot: suitable

isotype

IgG

NCBI accession no.

UniProt accession no.

shipped in

ambient

target post-translational modification

unmodified

Gene Information

human ... FOXK2(3607)

General description

Forkhead box protein K2 (UniProt: Q01167; also known as Cellular transcription factor ILF-1, FOXK1, Interleukin enhancer-binding factor 1) is encoded by the FOXK2 (also known as ILF, ILF1) gene (Gene ID: 3607) in human. Forkhead box protein K2 is a transcriptional regulator that recognizes the core sequence 5′-TAAACA-3′. It is expressed in both lymphoid and non-lymphoid cells. Three isoforms of Forkhead box protein K2 have been reported that are produced by alternative splicing. It binds to NFAT-like motifs (purine-rich) in the IL2 promoter. Forkhead box protein K2 is reported to positively regulate WNT/beta-catenin signaling by translocating DVL proteins into the nucleus. Higher levels of FOXK1 and FOXK2 are reported in human colorectal cancers and correlate with DVL nuclear localization. Both FOXK1 and FOXK2 proteins are shown to act as transcriptional repressors of autophagy in muscle cells and fibroblasts. They specifically recruit Sin3A HDAC complexes to restrict acetylation of histone H4 and expression of critical autophagy genes. The loss of FOXK1 and FOXK2 proteins results in the upregulation of several genes controlling the initiation and nucleation of autophagosome formation. (Ref.: Bowman, CJ., et al. (2014). Nat. Cell Biol. 16(12); 1202-1214).
~69 kDa observed; 69.06 kDa calculated. Uncharacterized bands may be observed in some lysate(s).

Immunogen

Epitope: C-terminus
KLH-conjugated linear peptide corresponding to 17 amino acids from the C-terminal half of human Forkhead box protein K2.

Application

Anti-Forkhead box protein K2 (FOXK2), Cat. No. ABE1323, is a highly specific rabbit polyclonal antibody that targets Forkhead box protein K2 and has been tested for use in Immunohistochemistry (Paraffin) and Western Blotting.
Research Category
Epigenetics & Nuclear Function
Western Blotting Analysis: 2 µg/mL from a representative lot detected Forkhead box protein K2 (FOXK2) in HeLa cell lysate.

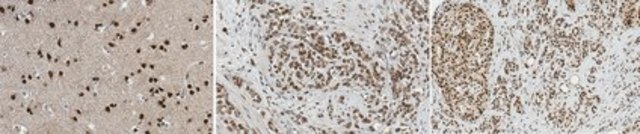
Immunohistochemistry Analysis: A 1:250 dilution from a representative lot detected Forkhead box protein K2 (FOXK2) in human cerebral cortex, human prostate cancer, and human pancreatic cancer tissues.

Biochem/physiol Actions

This rabbit polyclonal antibody detects Forkhead box protein K2 in human cells. It targets an epitope within 17 amino acids from the C-terminal half.

Physical form

Affinity Purified
Purified rabbit polyclonal antibody in buffer containing 0.1 M Tris-Glycine (pH 7.4), 150 mM NaCl with 0.05% sodium azide.

Preparation Note

Stable for 1 year at 2-8°C from date of receipt.

Analysis Note

Evaluated by Western Blotting in HEK293 cell lysate.

Western Blotting Analysis: 2 µg/mL of this antibody detected Forkhead box protein K2 (FOXK2) in HEK293 cell lysate.

Other Notes

Concentration: Please refer to lot specific datasheet.

Disclaimer

Unless otherwise stated in our catalog or other company documentation accompanying the product(s), our products are intended for research use only and are not to be used for any other purpose, which includes but is not limited to, unauthorized commercial uses, in vitro diagnostic uses, ex vivo or in vivo therapeutic uses or any type of consumption or application to humans or animals.

Not finding the right product?  

Try our Product Selector Tool.

Storage Class Code

12 - Non Combustible Liquids

WGK

WGK 1

Flash Point(F)

does not flash

Flash Point(C)

does not flash


Certificates of Analysis (COA)

Search for Certificates of Analysis (COA) by entering the products Lot/Batch Number. Lot and Batch Numbers can be found on a product’s label following the words ‘Lot’ or ‘Batch’.

Already Own This Product?

Find documentation for the products that you have recently purchased in the Document Library.

Visit the Document Library

Our team of scientists has experience in all areas of research including Life Science, Material Science, Chemical Synthesis, Chromatography, Analytical and many others.

Contact Technical Service