Skip to Content
Merck

ABC840

Sigma-Aldrich

Anti-BCMA Antibody

from rabbit, purified by affinity chromatography

Synonym(s):

Tumor necrosis factor receptor superfamily member 17, B-cell maturation protein, CD269

Sign Into View Organizational & Contract Pricing

Select a Size


About This Item

UNSPSC Code:
12352203
eCl@ss:
32160702
NACRES:
NA.41
Technical Service
Need help? Our team of experienced scientists is here for you.
Let Us Assist
Technical Service
Need help? Our team of experienced scientists is here for you.
Let Us Assist

biological source

rabbit

Quality Level

conjugate

unconjugated

antibody form

affinity isolated antibody

antibody product type

primary antibodies

clone

polyclonal

purified by

affinity chromatography

species reactivity

human

technique(s)

immunofluorescence: suitable
immunohistochemistry: suitable
western blot: suitable

UniProt accession no.

shipped in

wet ice

target post-translational modification

unmodified

Gene Information

human ... TNFRSF17(608)

General description

BCMA (also known as Tumor necrosis factor receptor superfamily member 17, B-cell maturation protein, and CD269) is a receptor of BAFF. BCMA, like TACI, binds BAFF and April. BAFF and its receptors induce B cell development and survival, activate NF-kB and c-Jun N-terminal kinase, and are involved in B cell associated autoimmune diseases.
~27 kDa observed. Uncharacterized bands may be observed in some lysate(s).

Immunogen

Epitope: C-terminus
KLH-conjugated linear peptide corresponding to the C-terminus of human BCMA.

Application

Anti-BCMA Antibody is a highly specific rabbit polyclonal antibody, that targets B-cell Maturation Protein & has been tested in western blotting, IHC & Immunofluorescence.
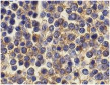
Immunohistochemistry Analysis: 10 μg/mL from a representative lot detected BCMA in human spleen cells.

Immunofluorescence Analysis: 10 μg/mL from a representative lot detected BCMA in human spleen cells.
Research Category
Apoptosis & Cancer
Research Sub Category
Apoptosis - Additional

Physical form

Antigen Affinity Purified
Purified rabbit polyclonal in buffer containing PBS with up to 0.1% sodium azide.

Preparation Note

Stable for 1 year at 2-8°C from date of receipt.

Analysis Note

Evaluated by Western Blotting in human spleen, K562, and U937 lysates.

Western Blotting Analysis: 5 μg/mL of this antibody detected BCMA in human spleen, K562, and U937 lysates.

Other Notes

Concentration: Please refer to the Certificate of Analysis for the lot-specific concentration.

Disclaimer

Unless otherwise stated in our catalog or other company documentation accompanying the product(s), our products are intended for research use only and are not to be used for any other purpose, which includes but is not limited to, unauthorized commercial uses, in vitro diagnostic uses, ex vivo or in vivo therapeutic uses or any type of consumption or application to humans or animals.

Not finding the right product?  

Try our Product Selector Tool.

Storage Class Code

12 - Non Combustible Liquids

WGK

WGK 2

Flash Point(F)

Not applicable

Flash Point(C)

Not applicable


Certificates of Analysis (COA)

Search for Certificates of Analysis (COA) by entering the products Lot/Batch Number. Lot and Batch Numbers can be found on a product’s label following the words ‘Lot’ or ‘Batch’.

Already Own This Product?

Find documentation for the products that you have recently purchased in the Document Library.

Visit the Document Library

Our team of scientists has experience in all areas of research including Life Science, Material Science, Chemical Synthesis, Chromatography, Analytical and many others.

Contact Technical Service