Skip to Content
Merck

03-241

Sigma-Aldrich

RIPAb+ PUM2 Antibody

from rabbit, purified by affinity chromatography

Synonym(s):

pumilio homolog 2 (Drosophila), pumilio homolog 2, pumilio (Drosphila) homolog 2

Sign Into View Organizational & Contract Pricing

Select a Size


About This Item

UNSPSC Code:
12352203
eCl@ss:
32160702
NACRES:
NA.32
Technical Service
Need help? Our team of experienced scientists is here for you.
Let Us Assist
Technical Service
Need help? Our team of experienced scientists is here for you.
Let Us Assist

biological source

rabbit

Quality Level

clone

polyclonal

purified by

affinity chromatography

species reactivity

human, rhesus macaque, mouse

species reactivity (predicted by homology)

chimpanzee (based on 100% sequence homology), rhesus monkey (based on 100% sequence homology), canine (based on 100% sequence homology)

manufacturer/tradename

RIPAb+
Upstate®

technique(s)

RIP: suitable
immunocytochemistry: suitable
immunohistochemistry: suitable (paraffin)
western blot: suitable

isotype

IgG2a

NCBI accession no.

UniProt accession no.

shipped in

dry ice

Gene Information

human ... PUM2(23369)

General description

RIPAb+ antibodies are evaluated using the RNA Binding Protein Immunoprecipitation (RIP) assay. Each RIPAb+ antibody set includes a negative control antibody to ensure specificity of the RIP reaction and is verified for the co-immunoprecipitation of RNA associated specifically with the immunoprecipitated RNA-binding protein of interest. Where appropriate, the RIPAb+ set also includes quantitative RT-PCR control primers (RIP Primers) to biologically validate your IP results by successfully co-precipitating the specific RNA targets, such as messenger RNAs. The qPCR protocol and primer sequences are provided, allowing researchers to validate RIP protocols when using the antibody in their experimental context. If a target specific assay is not provided, the RIPAb+ kit is validated using an automated microfluidics-based assay by enrichment of detectable RNA over control immunoprecipitation.
PUM2 is a sequence-specific RNA-binding protein that regulates translation and mRNA stability by binding to the 3′-UTR of mRNA targets. The PUM class of proteins plays an active role in the sustainability of mitotic stem cell proliferation and the regulation of cell development and differentiation.
~120 kDa observed.
Non specific band may be observed at 48 kDa

Immunogen

Epitope: N-terminus
KLH-conjugated linear peptide corresponding to the N-terminus of human Pumilio-2.

Application

Detect RIPAb+ PUM2 using this RIPAb+ PUM2 Antibody validated for use in ICC, IHC(P), Western Blotting, RNA Binding Protein Immunoprecipitation (RIP).
Research Category
Stem Cell Research
Research Sub Category
RNA Metabolism & Binding Proteins
Western Blot Analysis:
Representative lot data.
Mouse embryonic stem cell lysate was resolved by electrophoresis, transferred to PVDF membranes and probed with Anti-Pumilio 2 (PUM2) 1 µg/mL. Proteins were visualized using a Donkey Anti-Rabbit IgG conjugated to HRP and chemiluminescence detection system.
Arrow indicates PUM2 (~120 kDa).
Note: A non-specific band may be observed at ~48 kDa in some lysates. (Figure 2).
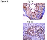
Immunohistochemistry (Parafin) Analysis:
Representative lot data.
Paraffin-embedded human testis (Fig. 3A) and human teratoma (Fig. 3B) tissues were prepared using heat-induced epitope retrieval in citrate buffer, pH 6.0. Immunostaining was performed using a 1:400 dilution of Anti-Pumilio 2 (PUM2). Reactivity was detected using the IHC-Select Detection Kit (Cat. No. DAB050). Staining pattern appears to be restricted to primary spermatocytes with no Sertoli cell involvement, as expected.
Immunocytochemistry Analysis:
Representative lot data.
Confocal fluorescent analysis of mouse and human embryonic stem cells using Anti-Pumilio 2 (PUM2) (Red). Actin filaments have been labeled with Alexa Fluor 488 dye - Phalloidin (Green). Nucleus is stained with DAPI (Blue). (Figure 4) This antibody positively stains the nucleus and cytosol.

Biochem/physiol Actions

This antibody recognizes Pumilio-2 near the N-terminus.

Packaging

10 assays per set. Recommended use: ~5 µg of antibody per RIP (dependent upon biological context).

Physical form

Affinity purified
Components:
Anti-PUM2 (Rabbit Polyclonal). One vial containing 50 µg of affinity purified polyclonal in buffer containing 0.1 M Tris-Glycine (pH 7.4), 150 mM NaCl, with 0.05% sodium azide, before the addition of 30% glycerol. Store at -20°C.
Concentration: 0.7 mg/mL
Normal Rabbit IgG. One vial containing 125 µg Rabbit IgG in 125 µL storage buffer containing 0.05% sodium azide. Store at -20°C.
RIP Primers, NFKBIA mRNA. One vial containing 75 μL of each primer (5 μM) specific for a region of the human NFKBIA mRNA. Store at -20°C.
FOR: GCT ATT CTC CCT ACC AGC TC
REV: CAG TCA TCA TAG GGC AGC TC

Preparation Note

Stable for 1 year at -20°C from date of receipt. Handling Recommendations: Upon first thaw, and prior to removing the cap, centrifuge the vial and gently mix the solution. Aliquot into microcentrifuge tubes and store at -20°C. Avoid repeated freeze/thaw cycles, which may damage IgG and affect product performance.
Note: Variability in freezer temperatures below -20°C may cause glycerol containing solutions to become frozen during storage.

Analysis Note

Control
Includes normal rabbit IgG and primers specific for human NFKBIA mRNA.
RNA Binding Protein Immunoprecipitation:
Representative lot data.
RIP Lysate prepared from HeLa cells (2 X 10E7 cell equivalents per IP) were subjected to immunoprecipitation using 5 µg of either a normal rabbit IgG or 5 µg of Anti-PUM2 antibody and the Magna RIP® RNA Binding Protein Immunoprecipitation Kit (Cat. # 17-700).
Successful immunoprecipitation of PUM2-associated RNA was verified by qPCR using RIP Primers, NFKBIA mRNA, (Figure 1).
Please refer to the Magna RIP (Cat. # 17-700) or EZ-Magna RIP (Cat. # 17-701) protocol for experimental details.

Other Notes

Concentration: Please refer to the Certificate of Analysis for the lot-specific concentration.

Legal Information

ALEXA FLUOR is a trademark of Life Technologies
MAGNA RIP is a registered trademark of Merck KGaA, Darmstadt, Germany
UPSTATE is a registered trademark of Merck KGaA, Darmstadt, Germany

Disclaimer

Unless otherwise stated in our catalog or other company documentation accompanying the product(s), our products are intended for research use only and are not to be used for any other purpose, which includes but is not limited to, unauthorized commercial uses, in vitro diagnostic uses, ex vivo or in vivo therapeutic uses or any type of consumption or application to humans or animals.

Storage Class Code

10 - Combustible liquids


Certificates of Analysis (COA)

Search for Certificates of Analysis (COA) by entering the products Lot/Batch Number. Lot and Batch Numbers can be found on a product’s label following the words ‘Lot’ or ‘Batch’.

Already Own This Product?

Find documentation for the products that you have recently purchased in the Document Library.

Visit the Document Library

Alessia Galgano et al.
PloS one, 3(9), e3164-e3164 (2008-09-09)
Genome-wide identification of mRNAs regulated by RNA-binding proteins is crucial to uncover post-transcriptional gene regulatory systems. The conserved PUF family RNA-binding proteins repress gene expression post-transcriptionally by binding to sequence elements in 3'-UTRs of mRNAs. Despite their well-studied implications for
John P Vessey et al.
The Journal of neuroscience : the official journal of the Society for Neuroscience, 26(24), 6496-6508 (2006-06-16)
Pumilio (Pum) protein acts as a translational inhibitor in several organisms including yeast, Drosophila, Xenopus, and mammals. Two Pumilio genes, Pum1 and Pum2, have been identified in mammals, but their function in neurons has not been identified. In this study
Kawssar Harb et al.
eLife, 11 (2022-03-10)
In the neocortex, functionally distinct areas process specific types of information. Area identity is established by morphogens and transcriptional master regulators, but downstream mechanisms driving area-specific neuronal specification remain unclear. Here, we reveal a role for RNA-binding proteins in defining
Huixing Zhou et al.
Journal of cellular and molecular medicine, 26(10), 2981-2994 (2022-04-17)
The neonatal heart can efficiently regenerate within a short period after birth, whereas the adult mammalian heart has extremely limited capacity to regenerate. The molecular mechanisms underlying neonatal heart regeneration remain elusive. Here, we revealed that as a coreceptor of

Our team of scientists has experience in all areas of research including Life Science, Material Science, Chemical Synthesis, Chromatography, Analytical and many others.

Contact Technical Service