Skip to Content
Merck

ZRB3155

Anti-TRPV4 Antibody, clone 1G10-L2 ZooMAb® Rabbit Monoclonal

greener alternative

recombinant, expressed in HEK 293 cells

Synonym(s):

OTRPC4, Osm-9-like TRP channel 4, TRP12, Transient receptor potential cation channel subfamily V member 4, Transient receptor potential protein 12, TrpV4, VRL-2, Vanilloid receptor-like channel 2, Vanilloid receptor-like protein 2, Vanilloid receptor-related osmotically-activated channel

Sign In to View Organizational & Contract Pricing.

Select a Size

Change View

About This Item

UNSPSC Code:
12352203
NACRES:
NA.46
Conjugate:
unconjugated
Clone:
1G10-L2, recombinant monoclonal
Application:
ICC, IHC, WB, affinity binding assay
Citations:
-
Technical Service
Need help? Our team of experienced scientists is here for you.
Let Us Assist


biological source

rabbit

Quality Level

recombinant

expressed in HEK 293 cells

conjugate

unconjugated

antibody form

purified antibody

antibody product type

primary antibodies

clone

1G10-L2, recombinant monoclonal

description

recombinant, expressed in HEK 293 cells

product line

ZooMAb® learn more

form

lyophilized

mol wt

calculated mol wt 98.28 kDa, observed mol wt ~110 kDa

purified by

using Protein A

species reactivity

human, mouse

species reactivity (predicted by homology)

rat, canine

packaging

antibody small pack of 25

greener alternative product characteristics

Waste Prevention
Designing Safer Chemicals
Design for Energy Efficiency
Learn more about the Principles of Green Chemistry.

enhanced validation

recombinant expression
Learn more about Antibody Enhanced Validation

sustainability

Greener Alternative Product

technique(s)

affinity binding assay: suitable, immunocytochemistry: suitable, immunohistochemistry: suitable, western blot: suitable

isotype

IgG

epitope sequence

C-terminal half

Protein ID accession no.

UniProt accession no.

greener alternative category

shipped in

ambient

storage temp.

2-8°C

Gene Information

human ... TRPV4(59341)

General description

We are committed to bringing you greener alternative products, which adhere to one or more of the 12 Principles of Green Chemistry. This antibody is preservative-free, produced without the harm or sacrifice of animals and exceptionally stable to allow for ambient shipping and storage if needed, and thus aligns with "Waste Prevention", "Designing Safer Chemicals" and "Design for Energy Efficiency". Click here for more information.
Transient receptor potential cation channel subfamily V member 4 (UniProt: Q9HBA0; also known as TrpV4, Osm-9-like TRP channel 4, OTRPC4, Transient receptor potential protein 12, TRP12, Vanilloid receptor-like channel 2, Vanilloid receptor-like protein 2, VRL-2, Vanilloid receptor-related osmotically-activated channel, VR-OAC) is encoded by the TRPV4 (also known as VRL2, VROAC) gene (Gene ID: 59341) in human. It belongs to the OSM9-like transient receptor potential channel (OTRPC) subfamily within the transient receptor potential (TRP)3 superfamily of channels. TRPV4 is a multi-pass membrane protein characterized by six transmembrane domains (S1-S6) and a pore-forming loop between S5 and S6. It also has three ankyrin repeat domains (ANK 1-3) which are crucial for protein-protein interactions and channel regulation, and mediates interaction with Ca2+-calmodulin and ATP binding. TRPV4 is widely expressed in various tissues including endothelial cells, sensory neurons, cartilage, bone and epithelial cells of the kidney, lung, and skin. It is also known to be found in the synoviocytes from patients with (RA). TRPV4 is primarily localized to the plasma membrane, and can also be found in intracellular compartments such as the endoplasmic reticulum, particularly in cells where it plays a role in calcium signaling and homeostasis. Six isoforms of TRPV4 have been described that are produced by alternative splicing. Mutations or dysregulation of TRPV4 are linked to several diseases like skeletal dysplasia, pulmonary edema, pain and Inflammation and cardiovascular diseases. ANK domain mutations are found in patients suffering from spinal muscular atrophies (SMA, also known as hereditary motor neuropathies) and hereditary motor and sensory neuropathies (HMSN). This ZooMAb® recombinant monoclonal antibody, generated by our proprietary technology, offers significantly enhanced specificity, affinity, reproducibility, and stability over conventional monoclonals.
ZooMAb® antibodies represent an entirely new generation of recombinant monoclonal antibodies. Each ZooMAb® antibody is manufactured using our proprietary recombinant expression system, purified to homogeneity, and precisely dispensed to produce robust and highly reproducible lot-to-lot consistency. Only top-performing clones are released for use by researchers. Each antibody is validated for high specificity and affinity across multiple applications, including its most commonly used application. ZooMAb® antibodies are reliably available and ready to ship when you need them.

Immunogen

KLH-conjugated linear peptide corresponding to 17 amino acids from an extracellular domain in the C-terminal half of human TRPV4.

Application

Quality Control Testing

Evaluated by Western Blotting in A-375 cell lysate.

Western Blotting Analysis (WB): A 1:1,000 dilution of this antibody detected TRPV4 in A-375 cell lysate.

Tested Applications

Western Blotting Analysis: A 1:10,000 dilution from a representative lot detected TRPV4 in lysate from mouse testis tissue.

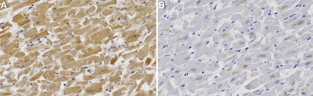
Immunohistochemistry (Paraffin) Analysis: A 1:1,000 dilution from a representative lot detected TRPV4 in human kidney tissue sections, and a 1:100 dilution of the same lot detected TRPV4 in human heart tissue sections.

Affinity Binding Assay: A representative lot of this antibody bound TRPV4 peptide with at least ten thousand-fold (10,000X) higher than with non-specific control peptide.

Immunocytochemistry Analysis: A 1:100 dilution from a representative lot detected TRPV4 in A-375 cells.

Note: Actual optimal working dilutions must be determined by end user as specimens, and experimental conditions may vary with the end user.

Biochem/physiol Actions

Clone 1G10-L2 is a ZooMAb® recombinant rabbit monoclonal antibody that specifically detects TRPV4. It targets an epitope within 17 amino acids from an extracellular domain in the C-terminal half.

Physical form

Purified recombinant rabbit monoclonal antibody IgG, lyophilized in PBS with 5% Trehalose, normal appearance a coarse or translucent resin. The PBS/trehalose components in the ZooMAb formulation can have the appearance of a semi-solid (bead like gel) after lyophilization. This is a normal phenomenon. Please follow the recommended reconstitution procedure in the data sheet to dissolve the semi-solid, bead-like, gel-appearing material. The resulting antibody solution is completely stable and functional as proven by full functional testing. Contains no biocide or preservatives, such as azide, or any animal by-products. Larger pack sizes provided as multiples of 25 µL.

Preparation Note

Recommend storage of lyophilized product at 2-8°C; Before reconstitution, micro-centrifuge vials briefly to spin down material to bottom of the vial; Reconstitute each vial by adding 25 µL of filtered lab grade water or PBS; Reconstituted antibodies can be stored at 2-8°C, or -20°C for long term storage. Avoid repeated freeze-thaws.
Reconstitute lyophilized antibody pellet with 25μL of ultrapure water or Phosphate Buffered Saline (PBS). Please refer to our reconstitution protocol and the specific application guidance on the suggested starting dilutions and sample type.

Legal Information

ZooMAb is a registered trademark of Merck KGaA, Darmstadt, Germany

Disclaimer

Unless otherwise stated in our catalog or other company documentation accompanying the product(s), our products are intended for research use only and are not to be used for any other purpose, which includes but is not limited to, unauthorized commercial uses, in vitro diagnostic uses, ex vivo or in vivo therapeutic uses or any type of consumption or application to humans or animals.


Still not finding the right product?

Try our Product Selector Tool to narrow your options


Storage Class

11 - Combustible Solids

wgk

WGK 2

flash_point_f

Not applicable

flash_point_c

Not applicable



Choose from one of the most recent versions:

Certificates of Analysis (COA)

Lot/Batch Number

It looks like we've run into a problem, but you can still download Certificates of Analysis from our Documents section.

If you need assistance, please contact Customer Support

Already Own This Product?

Find documentation for the products that you have recently purchased in the Document Library.

Visit the Document Library



Global Trade Item Number

SKUGTIN
ZRB3155-4X25UL04065272190985
ZRB3155-25UL04065272190978