Skip to Content
Merck

MABS279

Anti-GPR30, clone 2F2 Antibody

clone 2F2, from mouse

Synonym(s):

G-protein coupled estrogen receptor 1, Chemoattractant receptor-like 2, Flow-induced endothelial G-protein coupled receptor 1, FEG-1, G-protein coupled receptor 30, GPCR-BR, IL8-related receptor DRY12, Lymphocyte-derived G-protein coupled receptor, LYGPR

Sign In to View Organizational & Contract Pricing.

Select a Size

Change View

About This Item

UNSPSC Code:
12352203
NACRES:
NA.41
eCl@ss:
32160702
Conjugate:
unconjugated
Clone:
2F2, monoclonal
Application:
IHC, IP
Citations:
2
Technical Service
Need help? Our team of experienced scientists is here for you.
Let Us Assist


biological source

mouse

Quality Level

conjugate

unconjugated

antibody form

purified immunoglobulin

antibody product type

primary antibodies

clone

2F2, monoclonal

species reactivity

human

technique(s)

immunohistochemistry: suitable, immunoprecipitation (IP): suitable

isotype

IgG1κ

NCBI accession no.

UniProt accession no.

shipped in

wet ice

target post-translational modification

unmodified

Gene Information

human ... GPER1(2852)

General description

42 kDa calculated
GPR30, also known as G-protein coupled estrogen receptor 1, Chemoattractant receptor-like 2, Flow-induced endothelial G-protein coupled receptor 1 (FEG-1), G-protein coupled receptor 30, GPCR-BR, IL8-related receptor DRY12, Lymphocyte-derived G-protein coupled receptor (LYGPR), or Membrane estrogen receptor (mER), and encoded by the gene GPER/CEPR/CMKRL2/DRY12/GPR30,is the common receptor for estrogen. GPR30 binds estrogen, resulting in intracellular calcium mobilization and synthesis of phosphatidylinositol (3,4,5)-trisphosphate in the nucleus, and therefore GPR30 is part of the rapid non-genomic signaling events widely observed when cells interact with estrogen. GPR30 is a cell membrane bound protein found in the Golgi apparatus, endoplasmic reticulum and plasma membrane. GPR30 is ubiquitously expressed, but is most abundant in placenta. In brain regions, GPR30 is expressed as a 2.8 kb transcript in basal forebrain, frontal cortex, thalamus, hippocampus, caudate and putamen.

Immunogen

Epitope: C-terminus
KLH-conjugated linear peptide corresponding to the C-terminus of human GPR30.

Application

Detect GPR30 using this Anti-GPR30 antibody, clone 2F2 validated for use in IHC & IP.
Immunoprecipitation Analysis: A representative lot from an independent laboratory detected GPR30 in HEK293 cell lysate (Filardo, E., et al. (2007). Endocrinology. 148(7):3236-3245.).
Research Category
Signaling
Research Sub Category
GPCR, cAMP/cGMP & Calcium Signaling

Physical form

Format: Purified
Protein G Purified
Purified mouse monoclonal IgG1κ in buffer containing 0.1 M Tris-Glycine (pH 7.4), 150 mM NaCl with 0.05% sodium azide.

Preparation Note

Stable for 1 year at 2-8°C from date of receipt.

Analysis Note

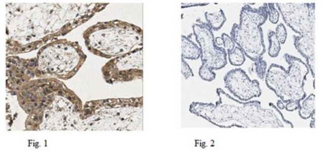
Evaluated by Immunohistochemistry in human placenta tissues.

Immunohistochemistry Analysis: A 1:50 dilution of this antibody detected GPR30 in human placenta tissues.

Other Notes

Concentration: Please refer to the Certificate of Analysis for the lot-specific concentration.

Disclaimer

Unless otherwise stated in our catalog or other company documentation accompanying the product(s), our products are intended for research use only and are not to be used for any other purpose, which includes but is not limited to, unauthorized commercial uses, in vitro diagnostic uses, ex vivo or in vivo therapeutic uses or any type of consumption or application to humans or animals.


Still not finding the right product?

Try our Product Selector Tool to narrow your options


Storage Class

12 - Non Combustible Liquids

wgk

WGK 1

flash_point_f

Not applicable

flash_point_c

Not applicable



Certificates of Analysis (COA)

Search for Certificates of Analysis (COA) by entering the products Lot/Batch Number. Lot and Batch Numbers can be found on a product’s label following the words ‘Lot’ or ‘Batch’.

Already Own This Product?

Find documentation for the products that you have recently purchased in the Document Library.

Visit the Document Library



E Filardo et al.
Endocrinology, 148(7), 3236-3245 (2007-03-24)
G protein-coupled receptor 30 (GPR30), a seven-transmembrane receptor (7TMR), is associated with rapid estrogen-dependent, G protein signaling and specific estrogen binding. At present, the subcellular site of GPR30 action is unclear. Previous studies using antibodies and fluorochrome-labeled estradiol (E2) have



Global Trade Item Number

SKUGTIN
MABS27904053252943287