Skip to Content
Merck

SAB4502896

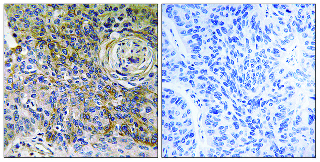
Anti-CD147, C-Terminal antibody produced in rabbit

affinity isolated antibody

Synonym(s):

BASI, CD147, basigin, basigin (Ok blood group), collagenase stimulatory factor

Sign In to View Organizational & Contract Pricing.

Select a Size

Change View

About This Item

UNSPSC Code:
12352203
NACRES:
NA.41
MDL number:
Conjugate:
unconjugated
Clone:
polyclonal
Application:
ELISA, IHC, WB
Citations:
5
Technical Service
Need help? Our team of experienced scientists is here for you.
Let Us Assist


biological source

rabbit

Quality Level

conjugate

unconjugated

antibody form

affinity isolated antibody

antibody product type

primary antibodies

clone

polyclonal

form

buffered aqueous solution

mol wt

antigen 42 kDa

species reactivity

mouse, human, rat

concentration

~1 mg/mL

technique(s)

ELISA: 1:10000, immunohistochemistry: 1:50-1:100, western blot: 1:500-1:1000

NCBI accession no.

UniProt accession no.

shipped in

wet ice

storage temp.

−20°C

target post-translational modification

unmodified

Gene Information

human ... BSG(682)

General description

Anti-CD147 Antibody detects endogenous levels of total CD147 protein.
Cluster of differentiation 147 (CD147) is a multifunctional trans-membrane glycoprotein and is a member of the immunoglobulin superfamily. It occurs in transmembrane and soluble forms. CD147 is also known as EMMPRIN or basigin (BSG). It is a 57 kDa glycoprotein with two extracellular Ig domains. CD147 is located on human chromosome 19p13.

Immunogen

The antiserum was produced against synthesized peptide derived from human CD147.

Immunogen Range: 336-385

Application

Anti-CD147, C-Terminal antibody has been used in western blotting.

Biochem/physiol Actions

Cluster of differentiation 147 (CD147) is considered as an extracellular matrix metalloproteinase inducer. It participates in several physiological and pathological activities, mainly in tumor invasion and metastasis. CD147 helps in tumor cell-macrophage interactions and stimulates MMPs (matrix metalloproteinases) and vascular endothelial growth factor (VEGF).

Features and Benefits

Evaluate our antibodies with complete peace of mind. If the antibody does not perform in your application, we will issue a full credit or replacement antibody. Learn more.

Physical form

Rabbit IgG in phosphate buffered saline (without Mg2+ and Ca2+), pH 7.4, 150mM NaCl, 0.02% sodium azide and 50% glycerol.

Disclaimer

Unless otherwise stated in our catalog or other company documentation accompanying the product(s), our products are intended for research use only and are not to be used for any other purpose, which includes but is not limited to, unauthorized commercial uses, in vitro diagnostic uses, ex vivo or in vivo therapeutic uses or any type of consumption or application to humans or animals.


Still not finding the right product?

Try our Product Selector Tool to narrow your options


Storage Class

10 - Combustible liquids

wgk

nwg

flash_point_f

Not applicable

flash_point_c

Not applicable



Choose from one of the most recent versions:

Certificates of Analysis (COA)

Lot/Batch Number

It looks like we've run into a problem, but you can still download Certificates of Analysis from our Documents section.

If you need assistance, please contact Customer Support

Already Own This Product?

Find documentation for the products that you have recently purchased in the Document Library.

Visit the Document Library



Cytoplasmic fragment of CD147 generated by regulated intramembrane proteolysis contributes to HCC by promoting autophagy.
Wu B, et al.
Cell Death and Differentiation, 8(7), e2925-e2925 (2017)
CD147 overexpression may serve as a promising diagnostic and prognostic marker for gastric cancer: evidence from original research and literature.
Hu C, et al.
Oncotarget, 8(19), 30888?30899-30888?30899 (2017)
Simvastatin attenuated rat thoracic aorta remodeling by decreasing ROCK2?mediated CyPA secretion and CD147-ERK1/2-cyclin pathway.
Tang FC, et al.
Molecular Medicine Reports, 16(6), 8123-8129 (2017)



Global Trade Item Number

SKUGTIN
SAB4502896-100UG04061837191664