Skip to Content
Merck

MABC713

Anti-KEAP1, clone 7G4B10 Antibody

clone 7G4B10, from mouse

Synonym(s):

Kelch-like ECH-associated protein 1, Cytosolic inhibitor of Nrf2, INrf2, Kelch-like protein 19, KEAP1

Sign In to View Organizational & Contract Pricing.

Select a Size

Change View

About This Item

UNSPSC Code:
12352203
NACRES:
NA.41
eCl@ss:
32160702
Conjugate:
unconjugated
Clone:
7G4B10, monoclonal
Application:
ELISA, FACS, IHC
Citations:
-
Technical Service
Need help? Our team of experienced scientists is here for you.
Let Us Assist


biological source

mouse

Quality Level

conjugate

unconjugated

antibody form

purified antibody

antibody product type

primary antibodies

clone

7G4B10, monoclonal

species reactivity

human

technique(s)

ELISA: suitable, flow cytometry: suitable, immunohistochemistry: suitable

UniProt accession no.

shipped in

wet ice

target post-translational modification

unmodified

Gene Information

human ... KEAP1(9817)

General description

70 kDa calculated
Kelch-like ECH-associated protein 1, also known as Cytosolic inhibitor of Nrf2 or INrf2 or Kelch-like protein 19, and encoded by the gene name KEAP1 or INRF2 or KLHL19, acts as a substrate adapter protein for the E3 ubiquitin ligase complex and targets NFE2L2/NRF2 for ubiquitination and degradation by the proteasome. KEAP1 shuttles between the cytoplasm and the nucleus and is widely expressed with high levels found in skeletal muscle.

Immunogen

Purified recombinant fragment of human KEAP1 expressed in E. Coli

Application

Anti-KEAP1, clone 7G4B10 Antibody is an antibody against KEAP1 for use in IHC, flow cytometry & ELISA.
Flow Cytometry Analysis: A 1:200-400 dilution from a representative lot detected KEAP1 in HeLa cells.

ELISA: A representative lot detected control Antigen (100 ng) and Antigen (10 ng, 50 ng, 100 ng) in ELISA (Direct).
Research Category
Apoptosis & Cancer
Research Sub Category
Apoptosis - Additional

Physical form

Format: Purified
Protein G Purified
Purified mouse monoclonal in PBS containing up to 0.1% sodium azide and 0.5% protein stabilizer.

Preparation Note

Stable for 1 year at 2-8°C from date of receipt.

Analysis Note

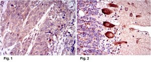
Immunohistochemistry Analysis: A 1:200-1,000 dilution from a representative lot detected KEAP1 in bladder cancer and cerebellum tissues.

Other Notes

Concentration: Please refer to the Certificate of Analysis for the lot-specific concentration.

Disclaimer

Unless otherwise stated in our catalog or other company documentation accompanying the product(s), our products are intended for research use only and are not to be used for any other purpose, which includes but is not limited to, unauthorized commercial uses, in vitro diagnostic uses, ex vivo or in vivo therapeutic uses or any type of consumption or application to humans or animals.


Still not finding the right product?

Try our Product Selector Tool to narrow your options


Storage Class

12 - Non Combustible Liquids

wgk

WGK 2

flash_point_f

Not applicable

flash_point_c

Not applicable



Certificates of Analysis (COA)

Search for Certificates of Analysis (COA) by entering the products Lot/Batch Number. Lot and Batch Numbers can be found on a product’s label following the words ‘Lot’ or ‘Batch’.

Already Own This Product?

Find documentation for the products that you have recently purchased in the Document Library.

Visit the Document Library



Global Trade Item Number

SKUGTIN
MABC71304053252957277