Accéder au contenu
MilliporeSigma

ZRB1493

Anti-Nrf2 Antibody, clone 5B20 ZooMAb® Rabbit Monoclonal

greener alternative

recombinant, expressed in HEK 293 cells

Synonyme(s) :

HEBP1, NF-E2-related factor 2, NFE2-related factor 2, Nuclear factor, Nuclear factor erythroid 2-related factor 2, erythroid derived 2 like 2

Se connecter pour consulter les tarifs organisationnels et contractuels.

Sélectionner une taille de conditionnement

Changer de vue

A propos de cet article

NACRES:
NA.43
UNSPSC Code:
12352203
Conjugate:
unconjugated
Clone:
5B20, monoclonal, recombinant monoclonal
Application:
ICC, IHC (p), WB
Citations:
-
Service technique
Besoin d'aide ? Notre équipe de scientifiques expérimentés est là pour vous.
Laissez-nous vous aider


biological source

rabbit (recombinant)

Quality Level

recombinant

expressed in HEK 293 cells

conjugate

unconjugated

antibody form

purified antibody

antibody product type

primary antibodies

clone

5B20, monoclonal, recombinant monoclonal

product line

ZooMAb® learn more

form

lyophilized

mol wt

calculated mol wt 67.83 kDa, observed mol wt 80 kDa

species reactivity

human

packaging

antibody small pack of 25 μL

greener alternative product characteristics

Waste Prevention
Designing Safer Chemicals
Design for Energy Efficiency
Learn more about the Principles of Green Chemistry.

enhanced validation

recombinant expression
Learn more about Antibody Enhanced Validation

sustainability

Greener Alternative Product

technique(s)

immunocytochemistry: suitable, immunohistochemistry (formalin-fixed, paraffin-embedded sections): suitable, western blot: suitable

isotype

IgG

UniProt accession no.

greener alternative category

shipped in

ambient

storage temp.

2-8°C

target post-translational modification

unmodified

Gene Information

human ... NFE2L2(4780)

General description

Nuclear factor erythroid 2-related factor 2 (UniProt: Q16236; also known as NF-E2-related factor 2, NFE2-related factor 2, Nrf-2, HEBP1, Nuclear factor, erythroid derived 2, like 2) is encoded by the NFE2L2 (also known as NRF2) gene (Gene ID: 4780) in human. Nrf2 is a cap n collar basic-region leucine zipper transcription factor that that heterodimerizes with small Maf proteins. It is involved in adaptation of cells to oxidative stress and electrophiles. It binds to antioxidant response (ARE) elements in the promoter regions of target genes and induces a set of cytoprotective genes that are involved in the synthesis of reduced glutathione (GSH), repair of oxidized protein thiols, scavenging of reactive oxygen species, and drug metabolism. It is cytosolic under unstressed conditions, but translocates into the nucleus upon induction by electrophilic agents. Under normal unstressed conditions it is rapidly turned over in a Keap-1 dependent manner through Cul3-Rbx1 ubiquitination and proteasomal degradation. Phosphorylation of Ser40 by protein kinase C in response to oxidative stress dissociates Nrf2 from its Keap-1 and promotes its translocation into the nucleus. It is widely expressed with highest expression in liver, skeletal muscle, luminal cells of the stomach and intestine, lining of the bronchi and alveoli, and in renal tubules; followed by heart, spleen, testis and brain. Nrf2 is constitutively upregulated in many tumors due to somatic mutations in the Keap1 or Nrf2 genes. Tumors over-expressing Nrf2 exhibit increased resistance to chemotherapeutic drugs and higher rates of proliferation. This ZooMAb® recombinant monoclonal antibody, generated by our propriety technology, offers significantly enhanced specificity, affinity, reproducibility, and stability over conventional monoclonals. (Ref.: Hayes, JD., and Ashford, MLJ (2012). Cell Metab. 16(2): 139-141).
We are committed to bringing you greener alternative products, which adhere to one or more of The 12 Principles of Green Chemistry.This antibody is Preservative-free, produced without the harm or sacrifice of animals and exceptionally stable to allow for ambient shipping and storage if needed and thus aligns with "Waste Prevention", "Designing Safer Chemicals" and "Design for Energy Efficiency". Click here for more information.
ZooMAb antibodies represent an entirely new generation of recombinant monoclonal antibodies.

Each ZooMAb antibody is manufactured using our proprietary recombinant expression system, purified to homogeneity, and precisely dispensed to produce robust and highly reproducible lot-to-lot consistency. Only top-performing clones are released for use by researchers. Each antibody is validated for high specificity and affinity across multiple applications, including its most commonly used application. ZooMAb antibodies are reliably available and ready to ship when you need them.

Learn more about ZooMAb here.

Immunogen

KLH-conjugated linear peptide corresponding to 15 amino acids from the C-terminal region of human Nuclear factor erythroid 2-related factor 2 (Nrf2).

Application

Anti-Nrf2, clone 5B20 ZooMAb, Cat. No. ZRB1493, is a recombinant Rabbit monoclonal antibody that specifically targets Nrf2 (NFE2-related factor 2) and is tested for use in Immunocytochemistry, Immunohistochemistry (Paraffin), and Western Blotting.
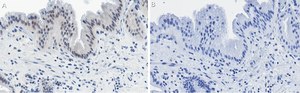
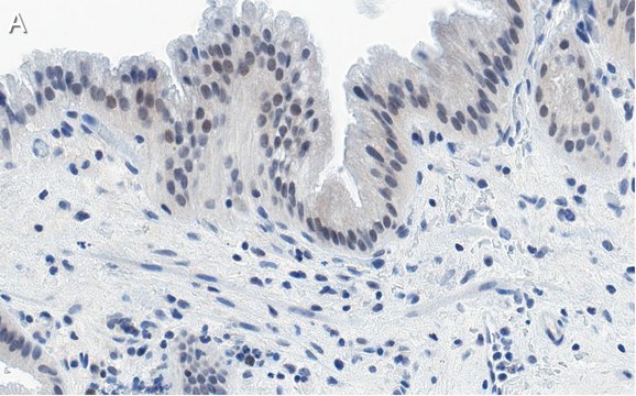
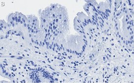
Immunohistochemistry (Paraffin) Analysis: A 1:100 dilution from a representative lot detected Nrf2 in human gallbladder and human cervical cancer tissue sections.

Immunocytochemistry Analysis: A 1:100 dilution from a representative lot detected Nrf2 in MG132 treated HeLa cells.

Note: Actual optimal working dilutions must be determined by end user as specimens, and experimental conditions may vary with the end user

Biochem/physiol Actions

Clone 5B20 is a ZooMAb rabbit recombinant monoclonal antibody that specifically detects Nrf2. It targets an epitope within 15 amino acids from the C-terminal region.

Physical form

Purified recombinant rabbit monoclonal antibody IgG, lyophilized in PBS with 5% Trehalose, normal appearance a coarse or translucent resin. Contains no biocide or preservatives, such as azide, or any animal by-products. Larger pack sizes provided as multiples of 25 μL.

Preparation Note

Recommend storage of lyophilized product at 2-8°C; Before reconstitution, micro-centrifuge vials briefly to spin down material to bottom of the vial; Reconstitute each vial by adding 25 μL of filtered lab grade water or PBS; Reconstituted antibodies can be stored at 2-8°C, or -20°C for long term storage. Avoid repeated freeze-thaws.
Reconstitute lyophilized antibody pellet with 25μL of ultrapure water or Phosphate Buffered Saline (PBS). Please refer to our reconstitution protocol and the specific application guidance on the suggested starting dilutions and sample type.

Legal Information

ZooMAb is a registered trademark of Merck KGaA, Darmstadt, Germany

Disclaimer

Unless otherwise stated in our catalog or other company documentation accompanying the product(s), our products are intended for research use only and are not to be used for any other purpose, which includes but is not limited to, unauthorized commercial uses, in vitro diagnostic uses, ex vivo or in vivo therapeutic uses or any type of consumption or application to humans or animals.


Still not finding the right product?

Essayez notre Outil de sélection de produits pour affiner vos choix.


Classe de stockage

13 - Non Combustible Solids

wgk

WGK 2



Faites votre choix parmi les versions les plus récentes :

Certificats d'analyse (COA)

Lot/Batch Number

It looks like we've run into a problem, but you can still download Certificates of Analysis from our Documents section.

Si vous avez besoin d'assistance, veuillez contacter Service Clients

Déjà en possession de ce produit ?

Retrouvez la documentation relative aux produits que vous avez récemment achetés dans la Bibliothèque de documents.

Consulter la Bibliothèque de documents



Numéro d'article de commerce international

RéférenceGTIN
ZRB1493-4X25UL04061841864851
ZRB1493-25UL04061841864844