Accéder au contenu
MilliporeSigma

SAB5701902

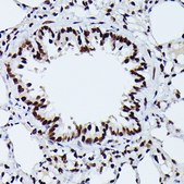
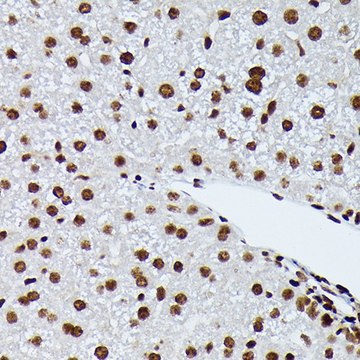
Anti-Phospho-NRF2-S40 antibody produced in rabbit

Se connecter pour consulter les tarifs organisationnels et contractuels.

Sélectionner une taille de conditionnement

Changer de vue

A propos de cet article

NACRES:
NA.41
UNSPSC Code:
12352203
Clone:
monoclonal
Species reactivity:
rat, mouse, human
Application:
IHC, WB
Citations:
-
Service technique
Besoin d'aide ? Notre équipe de scientifiques expérimentés est là pour vous.
Laissez-nous vous aider


biological source

rabbit

Quality Level

antibody product type

primary antibodies

clone

monoclonal

form

liquid

species reactivity

rat, mouse, human

concentration

0.56 mg/mL

technique(s)

immunohistochemistry: 1:50-1:200, western blot: 1:500-1:2000

UniProt accession no.

shipped in

wet ice

storage temp.

−20°C

target post-translational modification

phosphorylation (pSer40)

Gene Information

human ... NFE2L2(4780)

General description

This gene encodes a transcription factor which is a member of a small family of basic leucine zipper (bZIP) proteins. The encoded transcription factor regulates genes which contain antioxidant response elements (ARE) in their promoters; many of these genes encode proteins involved in response to injury and inflammation which includes the production of free radicals. Multiple transcript variants encoding different isoforms have been characterized for this gene. [provided by RefSeq, Sep 2015]

Immunogen

A phospho specific peptide corresponding to residues surrounding S40 of human NRF2

Physical form

Buffer: PBS with 0.02% sodium azide,0.05% BSA,50% glycerol,pH7.3.


Still not finding the right product?

Explore all of our products under

ou

Essayez notre Outil de sélection de produits pour affiner vos choix.


Classe de stockage

12 - Non Combustible Liquids

wgk

WGK 1

flash_point_f

Not applicable

flash_point_c

Not applicable



Faites votre choix parmi les versions les plus récentes :

Certificats d'analyse (COA)

Lot/Batch Number

It looks like we've run into a problem, but you can still download Certificates of Analysis from our Documents section.

Si vous avez besoin d'assistance, veuillez contacter Service Clients

Déjà en possession de ce produit ?

Retrouvez la documentation relative aux produits que vous avez récemment achetés dans la Bibliothèque de documents.

Consulter la Bibliothèque de documents



Numéro d'article de commerce international

RéférenceGTIN
SAB5701902-100UL04065267678795