Skip to Content
MilliporeSigma
HomeProtein & Nucleic Acid InteractionsDuolink® PLA Technology for Neuroscience Applications

Duolink® PLA Technology for Neuroscience Applications

Neurons are dynamic entities, sensing and responding to their immediate environment. For this reason, understanding protein interactions and signaling mechanisms is a focus of neuroscience research and a key to understanding normal and disease processes. The chance to discover the inner workings of the brain and its components requires a powerful investigative tool. Duolink® Proximity Ligation Assay (PLA) technology allows scientists to visualize those protein interactions, locations and quantities by amplifying signals corresponding to single protein events. This protein detection technology lets researchers visualize protein functions under true biological conditions without overexpression or genetic manipulation, providing a significant resource in advancing neuroscience.

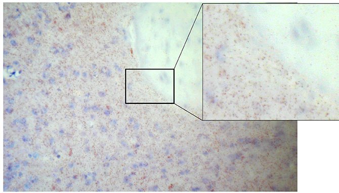
Mouse Coronal Tissue Analysis with Duolink®

  • PLA Frozen mouse brain sections were run on Caud Caudate Putamen (striatum), product MT-FF-201-03
  • Brains were fixed overnight in 10% buffered formalin, cryoprotected for 24-36 hours, snapped frozen in O.C.T. medium, and sectioned at a thickness of 30 microns.A polyclonal rabbit antibody targeting the human phosphorylated MAPK pp44/p42 and Duolink II was used.
  • Visualized in a standard epi-fluorescence microscope
  • All reactions generate good and distinct Duolink staining
Duolink Fluorescence Detection

Figure 1. Duolink® Fluorescence Detection P-MAPK p44/p42 in Mouse Brain

duolink brightfield detection

Figure 2.Duolink® Brightfield Detection P-MAPK p44/p42 in Mouse Brain

Materials

Loading
Sign In To Continue

To continue reading please sign in or create an account.

Don't Have An Account?