Skip to Content
MilliporeSigma
HomeProtein & Nucleic Acid InteractionsDuolink® PLA Brightfield Protocol

Duolink® PLA Brightfield Protocol

This protocol describes the use of Duolink® PLA reagents for the brightfield detection, visualization, and quantification of individual proteins, protein modifications, and protein interactions in tissue and cell samples. To become familiar with the Duolink® PLA technology, download our brochure and review How to Optimize the Duolink® Proximity Ligation Assay for more details. For other protocols, please see the Duolink® PLA Fluorescence Protocol and the Duolink® PLA Probemaker User Guide.

Materials and Equipment
Duolink® PLA Brightfield Protocol
Results
Troubleshooting
Materials
References

Materials and Equipment

Duolink® PLA Reagents

Please refer to the Duolink® PLA Product Selection Guide for specific product recommendations. Briefly, to run a Duolink® PLA experiment for Brightfield detection, the following Duolink® PLA products are needed:

  1. Duolink® PLA Probes (one PLUS and one MINUS from different species, matching the host species of your primary antibodies). Each kit includes:
    a) PLA Probes – PLUS and/or MINUS, depending on the product.
    b) Blocking Solution – For blocking the sample before antibody incubations. One drop of Blocking Solution equals ~40 µL.
    c) Antibody Diluent – For dilution of PLA probes, and if needed, primary antibodies.
    NOTE: Store all components of kit at 4°C.

    NOTE: Duolink® PLA Probemaker PLUS and/or Probemaker MINUS kits may be used to generate custom PLA probes if needed. Please see the Probemaker Guide for details.

  2. Duolink® Detection Reagents for Brightfield. Each kit includes two packages, which contain the following:
    Box A (store at -20°C):
    a) Ligation Buffer Stock (5X) – Diluted to make 1x Ligation Buffer
    b) Ligase (1 U/µL) – Added to make the Ligation Solution
    c) Amplification Buffer Stock (5X) – Diluted to make 1x Amplification Buffer
    d) Polymerase (10 U/µL) - Added to make the Amplification Solution
    e) Detection Buffer Stock (5X) – Diluted to make 1x Detection Buffer

    Box B (store at 4°C):
    a) Hydrogen Peroxide – Used to quench endogenous peroxidase activity
    b) Substrate Reagents A-D – Needed for HRP enzymatic reaction
    c) Nuclear Stain – Used as a counterstain

  3. Wash Buffer for Brightfield (Wash Buffer A)

Additional Materials

  1. Sample (cells or tissue) on a slide, pre-treated with respect to fixation, permeabilization, deparaffinization, and/or antigen retrieval. Please refer to How to Optimize the Duolink® Proximity Ligation Assay for suggestions and recommendations, and for details on the following topics:
    a) Experimental design and controls
    b) Choice of primary antibodies and optimization
    c) Sample processing

  2. Primary antibodies of choice to detect the protein(s) of interest. Must have been raised in mouse, rabbit or goat when using in conjunction with Duolink® PLA Probes.
  3. High-purity water (sterile filtered, Milli-Q® water or similar)
  4. Xylene – For dehydration before mounting in non-aqueous mounting media
  5. Ethanol – For dehydration before mounting in non-aqueous mounting media
  6. Non-aqueous mounting media suitable for IHC-stained slides (e.g., DPX Mountant for histology)

Equipment

  1. Brightfield microscope with camera and software for image acquisition
  2. 37 °C incubator
  3. Orbital shaker
  4. Heated humidity chamber
  5. Hydrophobic pen for delimiting the reaction area
  6. Freezer block (for enzymes)
  7. Staining jars
  8. Forceps
  9. Pipettes and tips (from 1 µL to 1,000 µL)
  10. Coverslips 24x50 mm, #1.5

Duolink® PLA Brightfield Protocol

The following protocol is for a 1 cm2 sample on a slide, requiring 40 µL of solution for adequate coverage. Adjust the volume according to your reaction area and number of samples. All incubations should be performed in a humidity chamber. All wash steps should be performed at room temperature in a staining jar with at least 70 mL buffer with gentle agitation.

Reagent Preparation

  1. Wash Buffer A should be made before beginning the assay by dissolving the contents of one pouch in high purity water to a final volume of 1,000 mL. Solution may be stored at room temperature for short term storage (up to two weeks) or at 4°C for long term storage.
    NOTE: Bring solution to room temperature before use.

  2. Many Duolink® PLA reagents are supplied as concentrated stocks and are to be diluted immediately before use. Do not store diluted Duolink® PLA reagents.

Duolink® PLA Brightfield Protocol

Before starting, the samples should be deposited on glass slides and pre-treated with respect to fixation, permeabilization, deparaffinization, and/or antigen retrieval. Review How to Optimize the Duolink® Proximity Ligation Assay for details.

  1. Peroxidase Quenching
    NOTE: Incubate tissue sample in hydrogen peroxide to suppress endogenous peroxidase activity. Incubation time varies depending on tissue type, and thus, needs to be optimized.
    a) Encircle the reaction area on the slide using a hydrophobic pen. This may need to be repeated throughout the protocol. Reapply when needed.
    b) Add 1 drop (~40 µL) of Hydrogen Peroxide Solution to each 1 cm2 sample. Be sure to cover the entire sample. Adjust accordingly.
    c) Incubate the slides at room temperature for the appropriate time as per your cell/tissue type.
  2. Blocking
    a) Tap off the Hydrogen Peroxide Solution from the slides.
    b) Wash the slides 2x 5 minutes in 1x Wash Buffer A at room temperature.
    c) Vortex the Duolink® Blocking Solution.
    d) Add 1 drop (~40 µL) of Duolink® Blocking Solution to each 1 cm2 sample. Be sure to cover the entire sample with Blocking Solution.
    e) Incubate the slides in a humidity chamber for 60 minutes at 37°C.
  3. Primary Antibody Incubation
    NOTE: Do not allow the slide to dry out before adding primary antibodies as this can increase background signal.

    a) Vortex the Duolink® Antibody Diluent.
    b) Dilute your primary antibody or antibodies to a suitable concentration in the Duolink® Antibody Diluent.
    c) Tap off the Duolink® Blocking Solution from the slides.
    d) Add the primary antibody solution to each sample.
    e) Incubate the slides in a humidity chamber. Use the optimal incubation temperature and time for your primary antibodies.
  4. Duolink® PLA Probe Incubation
    a) Vortex PLUS and MINUS PLA probes.
    b) Dilute the PLUS and MINUS PLA probes in 1:5 in the Duolink® Antibody Diluent.
    For a 40 µL reaction, use 8 µL of PLA probe MINUS stock, 8 µL of PLA probe PLUS stock and 24 µL of Antibody Diluent.
    Make sufficient solution for all samples.

    c) Tap off the primary antibody solution from the slides.
    d) Wash the slides 2x 5 minutes in 1x Wash Buffer A at room temperature.
    e) Tap off excess wash buffer and apply the PLA probe solution.
    f) Incubate the slides in a humidity chamber for 1 hour at 37°C.
  5. Ligation
    NOTE: Wait to add the ligase until immediately before adding to the sample. Make sure Ligation Buffer is completely thawed at room temperature and mixed well before using.

    a) Dilute the 5X Duolink® Ligation Buffer 1:5 in high-purity water and mix.
    For 40 µL reaction, add 8 µL of the 5X Ligation Buffer to 32 µL of high purity water.
    Make sufficient solution for all samples.

    b) Tap off the PLA probe solution from the slides.
    c) Wash the slides 2x 5 minutes in 1x Wash Buffer A at room temperature.
    d) During the wash, retrieve the Ligase from the freezer using a freezer block (-20°C).
    e) Add Ligase to the 1X Ligation Buffer from step (a) at a 1:40 dilution and mix.
    For a 40 µL ligation solution, add 1 µL of Ligase to 39 µL of the 1X ligation buffer.

    f) Tap off excess wash buffer and apply the ligation solution.
    g) Incubate the slides in a pre-heated humidity chamber for 30 minutes at 37°C.
  6. Amplification
    NOTE #1: Wait to add the polymerase until immediately before addition to the sample.
    NOTE #2: Amplification times may vary, dependent on antigen retrieval process. For heat-induced epitope retrieval, amplify for 120 minutes. For enzyme-induced antigen retrieval, amplify for 90 minutes. Otherwise, amplify for 100 minutes.

    a) Dilute the 5x Amplification Buffer 1:5 in high purity water and mix.
    For a 40 µL reaction, add 8 µL of the 5X Amplification Buffer to 32 µL of high purity water.
    Make sufficient solution for all samples.

    b) Tap off the ligation solution from the slides.
    c) Wash the slides twice for 2 minutes in 1X Wash Buffer A at room temperature.
    d) During the wash, retrieve the Polymerase from the freezer using a freezer block (-20°C).
    e) Add Polymerase to the 1X Amplification Buffer from step (a) at a 1:80 dilution and mix.
    For a 40 µL amplification solution, add 0.5 µL of Polymerase to 39.5 µL of the 1X amplification buffer.

    f) Tap off excess wash buffer and apply the amplification solution.
    g) Incubate the slides in a humidity chamber for at 37°C for 90 to 120 minutes, dependent on antigen retrieval method (see Note #2 above).
  7. Duolink® Detection Brightfield
    a) Tap off the amplification solution from the slides.
    b) Wash the slides twice for 2 minutes in 1x Wash Buffer A at room temperature.
    c) During the wash, dilute the 5x Detection Brightfield Stock 1:5 in high purity water and mix.
    For a 40 µL reaction, add 8 µL of the 5x Detection Brightfield Stock to 32 µL of high purity water.
    Make sufficient solution for all samples.

    d) Tap off excess wash buffer and apply the detection solution.
    e) Incubate the slides in a humidity chamber for 60 minutes at room temperature.
  8. Substrate Development
    NOTE: Developing time of the enzyme:substrate precipitate varies depending on protein(s) expression level and/or sample pre-treatment conditions. Thus, development time needs to be determined by the user, but typically occurs within 2-15 minutes.

    a) Tap off the detection solution from the slides.
    b) Wash the slides twice for 2 minutes in 1X Wash Buffer A at room temperature.
    c) During the wash, make the substrate solution by diluting the Substrate Reagents A (1:70), B (1:100), C (1:100) and D (1:50) in high purity water and mix.
    For a 40 µL reaction, add 0.6 µL Substrate A, 0.4 µL Substrate B, 0.4 µL Substrate C, and 0.8 µL substrate D in 37.8 µL high purity water.
    Make sufficient solution for all samples.

    d) Tap off excess wash buffer and apply the substrate solution.
    e) Incubate the slides at room temperature for the appropriate time as per your sample.
  9. Nuclear Stain
    a) Tap off the substrate solution from the slides.
    b) Wash the slides twice for 2 minutes in 1X Wash Buffer A at room temperature.
    c) Add 1 drop (~40 µL) of Nuclear Stain to each 1 cm2 sample. Be sure to cover the entire sample with the Nuclear Stain.
    d) Incubate the slides for 2 minutes at room temperature.
    e) Rinse the slides under running deionized water (not standing water) for 10 minutes.
  10. Dehydration
    a) Incubate the slides twice for 2 minutes in 96% EtOH at room temperature.
    b) Incubate the slides twice for 2 minutes in 99.7% EtOH at room temperature.
    c) Incubate the slides in xylene for 10 minutes at room temperature.
    d) Move the slides to fresh xylene.
  11. Preparation for Imaging
    NOTE: Do not use an aqueous mounting medium when using the provided substrate reagents. Avoid getting air bubbles caught under the coverslip.

Results

Image Acquisition

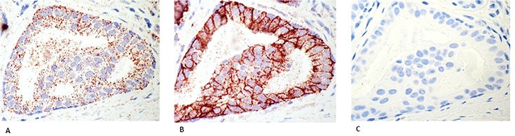
The result from a Duolink® PLA Brightfield experiment is viewed using a bright-field microscope. The Duolink® PLA Brightfield signal is recognized as discrete reddish brown spots in various locations of the studied cell or tissue sample (Figure 1A). The blue color is the nuclear counterstain. Occasionally, diffuse light brown staining can be observed, likely due to unquenched endogenous peroxide activity. This staining would also be present in negative control (no primary antibodies) samples. True PLA signals are of sub-micrometer size and may be in multiple focal planes. Thus, individual PLA signals can be “scanned through” by changing the focus making it appear and disappear. However, this does not apply when the density of signals are so high that the signals coalesce, which may occur when studying highly expressed proteins (Figure 1B).

Detection of HER2 receptor and HER2/HER3 heterodimers in FFPE breast cancer tissue

Figure 1.Detection of HER2 receptor and HER2/HER3 heterodimers in FFPE breast cancer tissue using Duolink® PLA Brightfield. (A) Duolink® PLA was performed using anti-HER2 and anti-HER3 primary antibodies that were optimized to give individual PLA signals, showing HER2/HER3 interaction. (B) Duolink® PLA was performed using only an anti-HER2 primary antibody. Abundance of HER2 receptor, which scored 2+ by Pantomics Inc. for HER2 by IHC, caused coalescence of PLA signals. (C) Negative control (no primary antibody). PLA signals are shown as reddish brown dots; the nuclei are blue.

Bright-field images are usually taken in one focal plane. To reduce the number of PLA signals that are out of focus, use an objective with high numerical aperture. It is important to keep all settings constant between samples within an experiment with regards to light intensity, exposure time, shading correction/white balance, etc. The light intensity, in combination with the exposure time, should be set to give the correct over/under exposure balance. Please refer to the Duolink® PLA Troubleshooting Guide for tips on how to prevent signal coalescence and for other potential areas for optimization.

Image Analysis

The same image analysis tools available for immunohistochemistry can also be used to quantify PLA signals. After determining the threshold, the image data is best analyzed by spot intensity measurement or area fraction of sample with signal, using software for traditional brightfield analysis. It is possible to obtain either the number of signals and cells per image, allowing average measurements, or to allocate each individual signal to a specific cell for single cell analysis.

Troubleshooting

Please refer to the Duolink® PLA Troubleshooting Guide for Tips and Tricks, general troubleshooting guidelines, and a set of frequently asked questions (FAQs).

Always feel free to contact our technical support team for assistance with your experiments or your local sales representative.

Custom Services

Does your experiment require additional customization? Let us do the work for you. Learn more about our Custom Services program to accelerate your Duolink® PLA projects.

Materials

Loading

References

1.
Jarvius M, Paulsson J, Weibrecht I, Leuchowius K, Andersson A, Wählby C, Gullberg M, Botling J, Sjöblom T, Markova B, et al. 2007. In SituDetection of Phosphorylated Platelet-derived Growth Factor Receptor ? Using a Generalized Proximity Ligation Method. Mol Cell Proteomics. 6(9):1500-1509. https://doi.org/10.1074/mcp.m700166-mcp200
2.
Söderberg O, Gullberg M, Jarvius M, Ridderstråle K, Leuchowius K, Jarvius J, Wester K, Hydbring P, Bahram F, Larsson L, et al. 2006. Direct observation of individual endogenous protein complexes in situ by proximity ligation. Nat Methods. 3(12):995-1000. https://doi.org/10.1038/nmeth947
3.
Gullberg M, Gustafsdottir SM, Schallmeiner E, Jarvius J, Bjarnegard M, Betsholtz C, Landegren U, Fredriksson S. 2004. Cytokine detection by antibody-based proximity ligation. Proceedings of the National Academy of Sciences. 101(22):8420-8424. https://doi.org/10.1073/pnas.0400552101
4.
Fredriksson S, Gullberg M, Jarvius J, Olsson C, Pietras K, Gústafsdóttir SM, Östman A, Landegren U. 2002. Protein detection using proximity-dependent DNA ligation assays. Nat Biotechnol. 20(5):473-477. https://doi.org/10.1038/nbt0502-473
Sign In To Continue

To continue reading please sign in or create an account.

Don't Have An Account?