
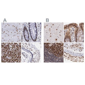
Anti-TERF2 antibody produced in rabbit

Synonym(s):
Anti-TTAGGG repeat-binding factor 2 antibody produced in rabbit, Anti-Telomeric DNA-binding protein antibody produced in rabbit, Anti-Telomeric repeat-binding factor 2 antibody produced in rabbit, Anti-TRBF2, Anti-TRF2, Anti-Telomeric repeat binding factor 2
Products
Product Category
Brand
Biological Source
Clonality
Feature
Gene Alias
Physical Form
Product Line
Antibody Form
Research Area
Conjugate
Quality Segment
Post Translational Modification
Species Reactivity
Technique
Showing 1-3 of 3
Compare
Product Number
Description
Pricing