Skip to Content
MilliporeSigma

SAB5702521

Sigma-Aldrich

Anti-Peroxiredoxin 1/PAG Antibody, clone 3F8X3, Rabbit Monoclonal

Synonym(s):

MSP23, NKEF-A, NKEFA, PAG, PAGA, PAGB, PRX1, PRXI, TDPX2

Sign Into View Organizational & Contract Pricing

Select a Size


About This Item

UNSPSC Code:
12352203
NACRES:
NA.46
Technical Service
Need help? Our team of experienced scientists is here for you.
Let Us Assist
Technical Service
Need help? Our team of experienced scientists is here for you.
Let Us Assist

biological source

rabbit

Quality Level

conjugate

unconjugated

material

colorless

clone

3F8X3, monoclonal

form

liquid

mol wt

22 kDa

species reactivity

mouse, mouse

concentration

0.34 mg/mL

technique(s)

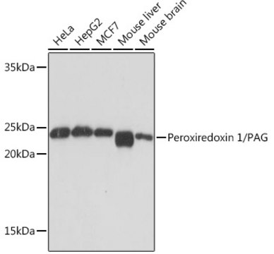
western blot: 1:500 - 1:2000

color

colorless

isotype

IgG

immunogen sequence

MSSGNAKIGHPAPNFKATAVMPDGQFKDISLSDYKGKYVVFFFYPLDFTFVCPTEIIAFSDRAEEFKKLNCQVIGASVDSHFCHLAWVNTPKKQGGLGPM

UniProt accession no.

shipped in

wet ice

storage temp.

−20°C

target post-translational modification

unmodified

Gene Information

human ... PRDX1(5052)

General description

This gene encodes a member of the peroxiredoxin family of antioxidant enzymes, which reduce hydrogen peroxide and alkyl hydroperoxides. The encoded protein may play an antioxidant protective role in cells, and may contribute to the antiviral activity of CD8(+) T-cells. This protein may have a proliferative effect and play a role in cancer development or progression. Four transcript variants encoding the same protein have been identified for this gene. [provided by RefSeq, Jan 2011]

Immunogen

A synthetic peptide corresponding to a sequence within amino acids 1-100 of human Peroxiredoxin 1/PAG (Q06830).
PBS with 0.02% sodium azide,0.05% BSA,50% glycerol,pH7.3.

Application

WB

Storage Class

10 - Combustible liquids

wgk_germany

WGK 1


Choose from one of the most recent versions:

Certificates of Analysis (COA)

Lot/Batch Number

It looks like we've run into a problem, but you can still download Certificates of Analysis from our Documents section.

If you need assistance, please contact Customer Support

Already Own This Product?

Find documentation for the products that you have recently purchased in the Document Library.

Visit the Document Library

Our team of scientists has experience in all areas of research including Life Science, Material Science, Chemical Synthesis, Chromatography, Analytical and many others.

Contact Technical Service