Skip to Content
MilliporeSigma

ZRB1140

Anti-β-Tubulin III Antibody, clone 5H16, ZooMAb® Rabbit Monoclonal

greener alternative

recombinant, expressed in HEK 293 cells

Synonym(s):

Anti-CDCBM, Anti-CDCBM1, Anti-CFEOM3, Anti-CFEOM3A, Anti-FEOM3, Anti-TUBB4, Anti-beta-4

Sign In to View Organizational & Contract Pricing.

Select a Size

Change View

About This Item

NACRES:
NA.41
UNSPSC Code:
12352203
Conjugate:
unconjugated
Clone:
5H16, recombinant monoclonal
Application:
ICC, IHC (p), WB
Citations:
-
Technical Service
Need help? Our team of experienced scientists is here for you.
Let Us Assist


biological source

rabbit (recombinant)

Quality Level

recombinant

expressed in HEK 293 cells

conjugate

unconjugated

antibody form

purified antibody

antibody product type

primary antibodies

clone

5H16, recombinant monoclonal

product line

ZooMAb® learn more

form

lyophilized

mol wt

calculated mol wt 50.43 kDa, observed mol wt ~52 kDa

species reactivity

human, mouse, rat

packaging

antibody small pack of 25 μL

greener alternative product characteristics

Waste Prevention
Designing Safer Chemicals
Design for Energy Efficiency
Learn more about the Principles of Green Chemistry.

enhanced validation

recombinant expression
Learn more about Antibody Enhanced Validation

sustainability

Greener Alternative Product

technique(s)

immunocytochemistry: suitable, immunohistochemistry (formalin-fixed, paraffin-embedded sections): suitable, western blot: suitable (peptide)

isotype

IgG

UniProt accession no.

greener alternative category

shipped in

ambient

storage temp.

2-8°C

target post-translational modification

unmodified

Gene Information

human ... TUBB(203068)

General description

Tubulin beta-3 chain (UniProt: Q13509; also known as Tubulin beta-4 chain, Tubulin beta-III, beta-Tubulin 3) is encoded by the TUBB3 (also known as TUBB4) gene (Gene ID: 10381) in human. Tubulin is one of several members of a small family of globular proteins, which polymerize to form microtubules. The most common members of the tubulin family are alpha-tubulin and beta-tubulin that assemble on to microtubules forming large polymers. Tubulin binds two moles of GTP, one at an exchangeable site on the beta chain and one at a non-exchangeable site on the alpha chain. GTP-binding site of beta-tubulin III is localized to amino acids 140-146. Beta-III tubulin is a unique microtubule subunit that is expressed exclusively in neurons, but its higher expression is also observed in most cancerous tissues. Due to it is unique expression pattern it is often utilized as a marker to identify neuronal cells from other brain cells such as glia. Beta-tubulin III plays a critical role in proper axon guidance and maintenance. Beta-tubulin III undergoes phosphorylation on serine 172 by CDK1 during the cell cycle, from metaphase to telophase, but not in interphase and this phosphorylation inhibits tubulin incorporation into microtubules. Increased expression of beta-tubulin III been shown to correlate with resistance to anti-microtubule agents. Mutations in TUBB3 gene have been linked to congenital fibrosis of extraocular muscles that causes ocular motility disorder affecting extraocular muscles innervated by the oculomotor and/or trochlear nerves. This ZooMAb recombinant monoclonal antibody, generated by our propriety technology, offers significantly enhanced specificity, affinity, reproducibility, and stability over conventional monoclonals.
We are committed to bringing you greener alternative products, which adhere to one or more of The 12 Principles of Green Chemistry.This antibody is Preservative-free, produced without the harm or sacrifice of animals and exceptionally stable to allow for ambient shipping and storage if needed and thus aligns with "Waste Prevention", "Designing Safer Chemicals" and "Design for Energy Efficiency". Click here for more information.
ZooMAb antibodies represent an entirely new generation of recombinant monoclonal antibodies.

Each ZooMAb antibody is manufactured using our proprietary recombinant expression system, purified to homogeneity, and precisely dispensed to produce robust and highly reproducible lot-to-lot consistency. Only top-performing clones are released for use by researchers. Each antibody is validated for high specificity and affinity across multiple applications, including its most commonly used application. ZooMAb antibodies are reliably available and ready to ship when you need them.

Learn more about ZooMAb here.

Immunogen

KLH-conjugated linear peptide corresponding to 10 amino acids from the C-terminal region of human beta-Tubulin III chain.

Application

Anti-beta-Tubulin III, clone 5H16 ZooMAb, Cat. No. ZRB1140-25UL, is a highly specific rabbit recombinant monoclonal antibody that targets beta-Tubulin III and has been tested for use in Immunocytochemistry, Immunohistochemistry (Paraffin), and Western Blotting.
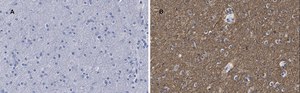
Immunohistochemistry (Paraffin) Analysis: A 1:100 dilution from a representative lot detected -Tubulin III in human cerebral cortex and mouse cerebellum tissue sections.

Immunocytochemistry Analysis: A 1:100 dilution from a representative lot detected -Tubulin III in SH-SY5Y cells.

Note: Actual optimal working dilutions must be determined by the end user as specimens and experimental conditions may vary.

Biochem/physiol Actions

Clone 5H16 is a ZooMAb rabbit recombinant monoclonal antibody that specifically detects beta-Tubulin III. It targets an epitope with in 10 amino acids from the C-terminal region.

Physical form

Purified recombinant rabbit monoclonal antibody IgG, lyophilized in PBS with 5% Trehalose. Normal appearance is a coarse or translucent resin. Contains no biocide or preservatives, such as azide, or any animal by-products. Larger pack sizes provided as multiples of 25 μL.

Preparation Note

Recommend storage of lyophilized product at 2-8°C; Before reconstitution, micro-centrifuge vials briefly to spin down material to bottom of the vial; Reconstitute each vial by adding 25 μL of filtered lab grade water or PBS; Reconstituted antibodies can be stored at 2-8°C, or -20°C for long term storage. Avoid repeated freeze-thaws.
Reconstitute lyophilized antibody pellet with 25μL of ultrapure water or Phosphate Buffered Saline (PBS). Please refer to our reconstitution protocol and the specific application guidance on the suggested starting dilutions and sample type.

Legal Information

ZooMAb is a registered trademark of Merck KGaA, Darmstadt, Germany

Disclaimer

Unless otherwise stated in our catalog or other company documentation accompanying the product(s), our products are intended for research use only and are not to be used for any other purpose, which includes but is not limited to, unauthorized commercial uses, in vitro diagnostic uses, ex vivo or in vivo therapeutic uses or any type of consumption or application to humans or animals.


Still not finding the right product?

Try our Product Selector Tool to narrow your options


Storage Class

11 - Combustible Solids

wgk

WGK 2

flash_point_f

Not applicable

flash_point_c

Not applicable



Choose from one of the most recent versions:

Certificates of Analysis (COA)

Lot/Batch Number

It looks like we've run into a problem, but you can still download Certificates of Analysis from our Documents section.

If you need assistance, please contact Customer Support

Already Own This Product?

Find documentation for the products that you have recently purchased in the Document Library.

Visit the Document Library