Select a Size
About This Item
Quality Level
usage
sufficient for 100 amplifications, sufficient for 100 extractions, sufficient for 100 reactions
feature
dNTPs included, hotstart, Direct PCR
technique(s)
PCR: suitable
color
red
input
crude DNA
shipped in
wet ice
storage temp.
−20°C
General description
Genomic DNA is extracted from 0.5 to 0.7 cm plant leaf disks that have been cut with a standard paper punch and simply incubated in Extraction Solution at 95 oC for 10 minutes. An equal volume of Dilution Solution is added to the extract to neutralize inhibitory substances prior to PCR. A portion of the DNA extract is then added to a PCR reaction containing primers and the REDExtract-N-Amp ReadyMix, included in the kit.
Application
- extract genomic DNA from mycelial lawns and leaves
- screen leaf tissue from putative transgenic potato plants
- perform polymerase chain reaction (PCR)
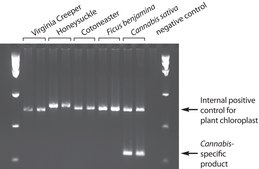
- isolate DNA from Cannabis sativa L. seed and dried fruit body gills
Features and Benefits
- Genomic DNA for PCR in less than 15 minutes
- A PCR ReadyMix™, specially formulated for amplification directly from extract
- Hot Start antibody for highly specific PCR amplification of genomic DNA
- Extract stable at 4 °C for at least 6 months
- Single-step extraction of plant genomic DNA for PCR in less than 15 minutes
- No freezing, mechanical disruption, organic extraction, column purification or precipitation required
- Specially formulated PCR ReadyMix for use with extract
- Hot Start antibody for highly specific PCR amplification of genomic DNA
- REDExtract-N-Amp™ requires no loading buffers or tracking dyes required for gel analysis
- Compatible with high-throughput requirements for genetic analysis of plants
- Extract stable at 4 °C for at least 6 months
Other Notes
Legal Information
Antibody licensed for in vitro research use under U.S. Patent No. 5,338,671 and 5,587,287, and corresponding patents in other countries.
Use of this product is covered by one or more of the following US patents and corresponding patent claims outside the US: 5,789,224, 5,618,711, 6,127,155 and claims outside the US corresponding to expired US Patent No. 5,079,352. The purchase of this product includes a limited, non-transferable immunity from suit under the foregoing patent claims for using only this amount of product for the purchaser′s own internal research. No right under any other patent claim, no right to perform any patented method, and no right to perform commercial services of any kind, including without limitation reporting the results of purchaser′s activities for a fee or other commercial consideration, is conveyed expressly, by implication, or by estoppel. This product is for research use only. Diagnostic uses under Roche patents require a separate license from Roche. Further information on purchasing licenses may be obtained by contacting the Director of Licensing, Applied Biosystems, 850 Lincoln Centre Drive, Foster City, California 94404, USA.
Still not finding the right product?
Explore all of our products under REDExtract-N-Amp™ Plant PCR Kit
signalword
Warning
hcodes
Hazard Classifications
Aquatic Chronic 2 - Eye Irrit. 2 - Skin Irrit. 2 - Skin Sens. 1
Storage Class
10 - Combustible liquids
flash_point_f
Not applicable
flash_point_c
Not applicable
wgk
WGK 3
Choose from one of the most recent versions:
Already Own This Product?
Find documentation for the products that you have recently purchased in the Document Library.
Protocols
REDExtract-N-Amp Plant PCR kit includes loading dye for easy gel loading after plant genomic DNA extraction.
Articles
Extract-N-Amp™ PCR kits are the world’s first integrated extraction and amplification process for rapid blood, tissue or plant assays.
Extract-N-Amp kits extract and amplify genomic DNA, optimized for plant tissue without inhibition concerns.
Simple DNA/RNA purification methods aid genome analysis from various sources, enhancing research efficiency.
Related Content
Explore technology and reagent portfolios for plant breeding workflows, accelerating the development of new crop varieties.
Global Trade Item Number
| SKU | GTIN |
|---|---|
| XNAP-1KT | 04061835378852 |

