Skip to Content
MilliporeSigma

SAB4200721

Anti-GABA antibody, Mouse monoclonal

clone GB-69, purified from hybridoma cell culture

Synonym(s):

Mouse Anti-Gamma-aminobutyric acid

Sign In to View Organizational & Contract Pricing.

Select a Size

Change View

About This Item

NACRES:
NA.41
UNSPSC Code:
12352203
Clone:
GB-69, monoclonal
Species reactivity:
rat, monkey, frog, mouse, human, gerbil
Application:
DB, ELISA, IF, IHC
Citations:
3
Technical Service
Need help? Our team of experienced scientists is here for you.
Let Us Assist


biological source

mouse

Quality Level

antibody form

purified from hybridoma cell culture

antibody product type

primary antibodies

clone

GB-69, monoclonal

form

buffered aqueous solution

species reactivity

rat, monkey, frog, mouse, human, gerbil

concentration

~1.0 mg/mL

technique(s)

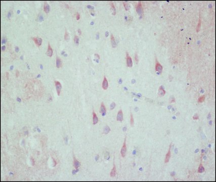
ELISA: suitable, dot blot: suitable, immunofluorescence: 5-10 μg/mL using human pancreatic tumor AsPC1 cell line, immunohistochemistry: 1-2.5 μg/mL using heat-retrieved formalin-fixed, paraffin-embedded human brain and/or cerebellum sections

isotype

IgG1

shipped in

dry ice

storage temp.

−20°C

target post-translational modification

unmodified

Gene Information

human ... GABRA1(2554)
mouse ... Gabra1(14394)
rat ... Gabra1(29705)
rhesus monkey ... Gabra1(574302)

General description

Anti-GABA antibody, Mouse monoclonal (mouse IgG1 isotype) is derived from the GB-69 hybridoma produced by the fusion of mouse myeloma cells and splenocytes from a mouse immunized with purified GABA conjugated to BSA. γ-Aminobutyric acid (GABA) is present in the central nervous system (CNS) of vertebrates. GABA is formed following enzymatic decarboxylation of L-glutamic acid by glutamic acid decarboxylase (GAD).

Immunogen

purified GABA conjugated to BSA

Application

Anti-GABA antibody, Mouse monoclonal has been used in:
  • immunofluorescence
  • immunohistochemistry
  • enzyme linked immunosorbent assay (ELISA)
  • dot-blot

Biochem/physiol Actions

γ-Aminobutyric acid (GABA) is the main inhibitory neurotransmitter. GABA mediates fast synaptic inhibition in the mature nervous system and plays multiple key roles as sensory circuits undergo functional development. GABA promotes proliferation of immune cells, embryonic stem cells and cortical progenitor cells. In addition, it is involved in protein synthesis and metabolism and plays a major role in the regulation of muscle tone, blood pressure, heart rate and respiration.

Physical form

Solution in 0.01 M phosphate buffered saline, pH 7.4, containing 15 mM sodium azide

Disclaimer

Unless otherwise stated in our catalog or other company documentation accompanying the product(s), our products are intended for research use only and are not to be used for any other purpose, which includes but is not limited to, unauthorized commercial uses, in vitro diagnostic uses, ex vivo or in vivo therapeutic uses or any type of consumption or application to humans or animals.


Still not finding the right product?

Try our Product Selector Tool to narrow your options


Storage Class

10 - Combustible liquids

wgk

WGK 1

flash_point_f

Not applicable

flash_point_c

Not applicable



Choose from one of the most recent versions:

Certificates of Analysis (COA)

Lot/Batch Number

It looks like we've run into a problem, but you can still download Certificates of Analysis from our Documents section.

If you need assistance, please contact Customer Support

Already Own This Product?

Find documentation for the products that you have recently purchased in the Document Library.

Visit the Document Library



Distribution of glycine immunoreactivity in the brain of the Siberian sturgeon (Acipenser baeri): Comparison with gamma-aminobutyric acid
Adrio F, et al.
The Journal of Comparative Neurology, 519(6), 1115-1142 (2011)
GABA maintains the proliferation of progenitors in the developing chick ciliary marginal zone and non-pigmented ciliary epithelium
Ring H, et al.
PLoS ONE, 7(5), e36874-e36874 (2012)
Kunihiko Obata
Proceedings of the Japan Academy. Series B, Physical and biological sciences, 89(4), 139-156 (2013-04-12)
Signal transmission through synapses connecting two neurons is mediated by release of neurotransmitter from the presynaptic axon terminals and activation of its receptor at the postsynaptic neurons. γ-Aminobutyric acid (GABA), non-protein amino acid formed by decarboxylation of glutamic acid, is



Global Trade Item Number

SKUGTIN
SAB4200721-100UL04061838037770