Sign In to View Organizational & Contract Pricing.
Select a Size
Change View
About This Item
Conjugate:
unconjugated
Clone:
polyclonal
Application:
IF, WB
Citations:
1
biological source
rabbit
conjugate
unconjugated
antibody form
IgG fraction of antiserum
antibody product type
primary antibodies
clone
polyclonal
form
buffered aqueous solution
mol wt
antigen 46 kDa
species reactivity
human
technique(s)
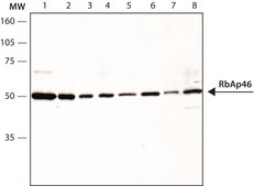
indirect immunofluorescence: 1:200-1:400 using human HeLa cells fixed with paraformaldehyde/Triton, western blot: 1:1,000-1:2,000 μg/mL using nuclear extracts of human HeLa cells
UniProt accession no.
shipped in
dry ice
storage temp.
−20°C
target post-translational modification
unmodified
Gene Information
human ... RBBP7(5931)
General description
Retinoblastoma-associated binding protein 46 (RbAp46), also referred to as retinoblastoma-binding protein 7 (RBBP7) has 89% amino acid identity with RbAp48. This nuclear protein belongs to the WD-repeat protein family. It has four repeats that ends with Trp-Asp(WD) residues. RbAp46 is an important constituent of the histone modifying and remodeling complexes. RbAp46 gene is located on human chromosome Xp22.13
Immunogen
synthetic peptide corresponding to amino acids 1-14 of human RbAp46, conjugated to KLH via a C-terminal added cysteine residue. The sequence differs in mice by one amino acid.
Application
Anti-RbAp46, N-terminal antibody produced in rabbit may be used in immunoblotting and immunofluorescence.
Biochem/physiol Actions
Anti-RbAp46, N-terminal specifically recognizes human RbAp46.
Retinoblastoma-associated binding protein 46 (RbAp46) plays an important role in the modification and remodeling of chromatin during cell growth and differentiation. It is associated with the nucleosomal remodeling and deacetylation complex (NURD). It may also play a key role in histone deacetylation and transcription repression.
Physical form
Solution in 0.01 M phosphate buffered saline, pH 7.4, containing 15 mM sodium azide.
Preparation Note
For continuous use, store at 2-8 °C for up to one month. For extended storage, freeze in working aliquots. Repeated freezing and thawing is not recommended. Storage in frost-free freezers is also not recommended. If slight turbidity occurs upon prolonged storage, clarify the solution by centrifugation before use. Working dilutions should be discarded if not used within 12 hours.
Disclaimer
Unless otherwise stated in our catalog or other company documentation accompanying the product(s), our products are intended for research use only and are not to be used for any other purpose, which includes but is not limited to, unauthorized commercial uses, in vitro diagnostic uses, ex vivo or in vivo therapeutic uses or any type of consumption or application to humans or animals.
Still not finding the right product?
Try our Product Selector Tool to narrow your options
Storage Class
10 - Combustible liquids
wgk
WGK 3
flash_point_f
Not applicable
flash_point_c
Not applicable
ppe
Eyeshields, Gloves, multi-purpose combination respirator cartridge (US)
Choose from one of the most recent versions:
Already Own This Product?
Find documentation for the products that you have recently purchased in the Document Library.
Related Content
The role of retinoblastoma-associated proteins 46 and 48 in estrogen receptor alpha mediated gene expression
Creekmore AL, et al.
Molecular and Cellular Endocrinology, 291(1-2), 79-86 (2008)
Global Trade Item Number
| SKU | GTIN |
|---|---|
| R4154-200UL | 04061838107077 |