Skip to Content
MilliporeSigma

HPA001200

Anti-EGFR antibody produced in rabbit

Ab1, Prestige Antibodies® Powered by Atlas Antibodies, affinity isolated antibody, buffered aqueous glycerol solution

Synonym(s):

Anti-Epidermal growth factor receptor precursor antibody produced in rabbit, Anti-Receptor tyrosine-protein kinase ErbB-1 antibody produced in rabbit

Sign In to View Organizational & Contract Pricing.

Select a Size

Change View

About This Item

UNSPSC Code:
12352203
Human Protein Atlas Number:
NACRES:
NA.43
MDL number:
Conjugate:
unconjugated
Clone:
polyclonal
Application:
IHC
Citations:
37
Technical Service
Need help? Our team of experienced scientists is here for you.
Let Us Assist


biological source

rabbit

Quality Level

conjugate

unconjugated

antibody form

affinity isolated antibody

antibody product type

primary antibodies

clone

polyclonal

product line

Prestige Antibodies® Powered by Atlas Antibodies

form

buffered aqueous glycerol solution

species reactivity

human

enhanced validation

orthogonal RNAseq
Learn more about Antibody Enhanced Validation

technique(s)

immunohistochemistry: 1:50-1:200

immunogen sequence

EFKDSLSINATNIKHFKNCTSISGDLHILPVAFRGDSFTHTPPLDPQELDILKTVKEITGFLLIQAWPENRTDLHAFENLEIIRGRTKQHGQFSLAVVSLNITSLGLRSLKEISDGDVIISGNKNLCYANTINWKKLFGTSGQKTKIIS

UniProt accession no.

application(s)

research pathology

shipped in

wet ice

storage temp.

−20°C

target post-translational modification

unmodified

Gene Information

human ... EGFR(1956)

General description

The gene epidermal growth factor receptor (EGFR) is mapped to human chromosome 7p12. It belongs to receptor tyrosine kinase family. The protein is mainly localized in the plasma membrane.

Immunogen

Epidermal growth factor receptor precursor recombinant protein epitope signature tag (PrEST)

Application

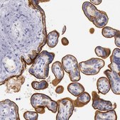
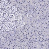
Anti-EGFR antibody produced in rabbit is suitable for use in epitope mapping to study the antibody cross-reactivity with a multi-target fragment library.
Anti-EGFR antibody produced in rabbit, a Prestige Antibody, is developed and validated by the Human Protein Atlas (HPA) project . Each antibody is tested by immunohistochemistry against hundreds of normal and disease tissues. These images can be viewed on the Human Protein Atlas (HPA) site by clicking on the Image Gallery link. The antibodies are also tested using immunofluorescence and western blotting. To view these protocols and other useful information about Prestige Antibodies and the HPA, visit sigma.com/prestige.

Biochem/physiol Actions

Epidermal growth factor receptor (EGFR) plays an important role in cell proliferation, survival, and differentiation. Interaction between EGFR and its ligands results in stimulation of several transduction pathways including the RAS/RAF/MEK/MAPK, PLC-γ/PKC, PI3K/AKT, JAK/STAT, and NF-κB cascades. Presence of ligand stimulates EGFR phosphorylation. This event subsequently recruits ubiquitin ligase, CBL, to EGFR. Activated EGFR-ligand complex is removed from the cell surface via endocytosis and is degraded in the lysosomes to attenuate the signaling. EGFR hyper-phosphorylation is linked to cell proliferation and thereby tumor development. EGFR is associated with a number of human solid tumors, including lung, breast, prostate, bladder, colon, head and neck, ovarian and salivary duct carcinomas.
Density-enhanced phosphatase-1 (DEP1) dephosphorylates and thereby stabilizes EGFR. The transmembrane protein LRIG1 and suppressors of cytokine signaling-5 (SOCS5) binds and destabilizes EGFR. Protein tyrosine phosphatase PTPN3 and PHD3 promotes EGFR endocytic degradation.

Features and Benefits

Prestige Antibodies® are highly characterized and extensively validated antibodies with the added benefit of all available characterization data for each target being accessible via the Human Protein Atlas portal linked just below the product name at the top of this page. The uniqueness and low cross-reactivity of the Prestige Antibodies® to other proteins are due to a thorough selection of antigen regions, affinity purification, and stringent selection. Prestige antigen controls are available for every corresponding Prestige Antibody and can be found in the linkage section.

Every Prestige Antibody is tested in the following ways:
  • IHC tissue array of 44 normal human tissues and 20 of the most common cancer type tissues.
  • Protein array of 364 human recombinant protein fragments.

Physical form

Solution in phosphate-buffered saline, pH 7.2, containing 40% glycerol and 0.02% sodium azide

Other Notes

Corresponding Antigen APREST78874

Legal Information

Prestige Antibodies is a registered trademark of Merck KGaA, Darmstadt, Germany

Disclaimer

Unless otherwise stated in our catalog or other company documentation accompanying the product(s), our products are intended for research use only and are not to be used for any other purpose, which includes but is not limited to, unauthorized commercial uses, in vitro diagnostic uses, ex vivo or in vivo therapeutic uses or any type of consumption or application to humans or animals.


Still not finding the right product?

or

Try our Product Selector Tool to narrow your options


Storage Class

10 - Combustible liquids

wgk

WGK 1

flash_point_f

Not applicable

flash_point_c

Not applicable

ppe

Eyeshields, Gloves, multi-purpose combination respirator cartridge (US)



Choose from one of the most recent versions:

Certificates of Analysis (COA)

Lot/Batch Number

Don't see the Right Version?

If you require a particular version, you can look up a specific certificate by the Lot or Batch number.

Already Own This Product?

Find documentation for the products that you have recently purchased in the Document Library.

Visit the Document Library



Y Yarden
European journal of cancer (Oxford, England : 1990), 37 Suppl 4, S3-S8 (2001-10-13)
Growth factors and their transmembrane receptor tyrosine kinases play important roles in cell proliferation, survival, migration and differentiation. One group of growth factors, comprising epidermal growth factor (EGF)-like proteins and neuregulins, stimulates cells to divide by activating members of the
J Guillermo Paez et al.
Science (New York, N.Y.), 304(5676), 1497-1500 (2004-05-01)
Receptor tyrosine kinase genes were sequenced in non-small cell lung cancer (NSCLC) and matched normal tissue. Somatic mutations of the epidermal growth factor receptor gene EGFR were found in 15of 58 unselected tumors from Japan and 1 of 61 from
Gal Gur et al.
The EMBO journal, 23(16), 3270-3281 (2004-07-30)
Kekkon proteins negatively regulate the epidermal growth factor receptor (EGFR) during oogenesis in Drosophila. Their structural relative in mammals, LRIG1, is a transmembrane protein whose inactivation in rodents promotes skin hyperplasia, suggesting involvement in EGFR regulation. We report upregulation of



Global Trade Item Number

SKUGTIN
HPA001200-100UL04061837132513
HPA001200-25UL04061841601203