Select a Size
About This Item
biological source
rabbit
conjugate
unconjugated
antibody form
affinity isolated antibody
antibody product type
primary antibodies
clone
polyclonal
form
buffered aqueous solution
species reactivity
Drosophila, Caenorhabditis elegans, rat, bovine, human, mouse, frog, chicken
technique(s)
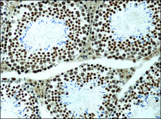
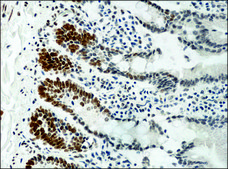
microarray: suitable, western blot: 1:1,000 using whole cell extract of the human epitheloid carcinoma HeLa cell line
UniProt accession no.
shipped in
dry ice
storage temp.
−20°C
target post-translational modification
monomethylation (Lys9)
Gene Information
human ... H3F3A(3020), H3F3B(3021), HIST1H3A(8350), HIST1H3B(8358), HIST1H3C(8352), HIST1H3D(8351), HIST1H3E(8353), HIST1H3F(8968), HIST1H3G(8355), HIST1H3H(8357), HIST1H3I(8354), HIST1H3J(8356), HIST2H3A(333932), HIST2H3C(126961), HIST3H3(8290)
mouse ... H3f3a(15078), H3f3b(15081), Hist1h3a(360198), Hist1h3b(319150), Hist1h3c(319148), Hist1h3d(319149), Hist1h3e(319151), Hist1h3f(260423), Hist1h3g(97908), Hist1h3h(319152), Hist1h3i(319153), Hist2h3b(319154), Hist2h3c1(15077), Hist2h3c2(97114)
rat ... H3f3b(117056)
General description
Immunogen
Application
Biochem/physiol Actions
Physical form
Preparation Note
Disclaimer
Still not finding the right product?
Try our Product Selector Tool to narrow your options
Choose from one of the most recent versions:
Already Own This Product?
Find documentation for the products that you have recently purchased in the Document Library.
Global Trade Item Number
| SKU | GTIN |
|---|---|
| H7162-200UL | 04061837794377 |