Skip to Content
MilliporeSigma

MABN688

Sigma-Aldrich

Anti-PTH1R Antibody, clone 4D2

ascites fluid, clone 4D2, from mouse

Synonym(s):

Parathyroid hormone 2 receptor, PTH2 receptor, PTH1R

Sign Into View Organizational & Contract Pricing

Select a Size


About This Item

UNSPSC Code:
12352203
eCl@ss:
32160702
NACRES:
NA.41
Technical Service
Need help? Our team of experienced scientists is here for you.
Let Us Assist
Technical Service
Need help? Our team of experienced scientists is here for you.
Let Us Assist

biological source

mouse

Quality Level

conjugate

unconjugated

antibody form

ascites fluid

antibody product type

primary antibodies

clone

4D2, monoclonal

species reactivity

human

technique(s)

immunocytochemistry: suitable
immunohistochemistry: suitable

isotype

IgG1

NCBI accession no.

UniProt accession no.

shipped in

wet ice

target post-translational modification

unmodified

Gene Information

mouse ... Pth1R(19228)

General description

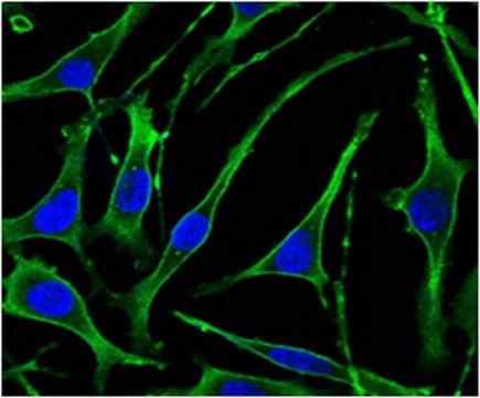
Parathyroid hormone-related peptide receptor (PTH1R) or alternatively known as PTH/PTHr receptor is encoded by the human gene named PTH1R/PTHR/PTHR1. The protein is the receptor for parathyroid hormone and for parathyroid hormone related peptide. It is a multi-pass G-protein coupled receptor localized to the cell membrane. It is expressed in most tissues but particularly in the kidney, bone and liver. The activity of the receptor is mediated through adenyl cyclase, phospholipase C, and phosphatidylinositol-calcium secondary messenger pathways. Parathyroid hormone related peptide regulates calcium ion homeostasis and when PTH1R is activated by ligand binding osteoblasts express RANKL which binds RANK on osteoclasts, which activates them to increase the resorption of calcium. Defects in PTH1R cause various defects in cartilage, bone, and tooth development as well as tumors of bone and cartilage. EMD-Millipore’s Anti-PTH1R mouse monoclonal antibody has been tested in western blot on transfected recombinant protein and in paraffin embedded immunohistochemistry on human kidney tissue sections and fluorescent immunocytochemistry on SK-BR-3 cells in culture.
~66 kDa observed. Uncharacterized bands may appear in some lysate(s).

Immunogen

Purified recombinant fragment of human PTH1R expressed in E. coli.

Application

Anti-PTH1R Antibody, clone 4D2 is a highly specific mouse monoclonal antibody that targets PTHR1 and has been tested in Immunocytochemistry, Immunohistochemistry, and Western Blotting.
Immunohistochemistry Analysis: A 1:200-1,000 dilution from a representative lot detected PTH1R in human kidney tissue.

Immunocytochemistry Analysis: A 1:200-1,000 dilution from a representative lot detected PTH1R in SK-BR-3 cells.

Optimal working dilutions must be determined by end user.
Research Category
Neuroscience
Research Sub Category
Developmental Neuroscience

Physical form

Mouse monoclonal IgG1 ascites fluid containing up to 0.1% sodium azide.
Unpurified

Preparation Note

Stable for 1 year at -20°C from date of receipt.
Handling Recommendations: Upon receipt and prior to removing the cap, centrifuge the vial and gently mix the solution. Aliquot into microcentrifuge tubes and store at -20°C. Avoid repeated freeze/thaw cycles, which may damage IgG and affect product performance.

Analysis Note

Control
PTH1R-hIgGFc transfected HEK293 cell lysate
Evaluated by Western Blotting in PTH1R-hIgGFc transfected HEK293 cell lysate.

Western Blotting Analysis: A 1:500-2,000 dilution of this antibody detected PTH1R-hIgGFc transfected HEK293 cell lysate.

Disclaimer

Unless otherwise stated in our catalog or other company documentation accompanying the product(s), our products are intended for research use only and are not to be used for any other purpose, which includes but is not limited to, unauthorized commercial uses, in vitro diagnostic uses, ex vivo or in vivo therapeutic uses or any type of consumption or application to humans or animals.

Not finding the right product?  

Try our Product Selector Tool.

Storage Class

12 - Non Combustible Liquids

wgk_germany

nwg

flash_point_f

Not applicable

flash_point_c

Not applicable


Certificates of Analysis (COA)

Search for Certificates of Analysis (COA) by entering the products Lot/Batch Number. Lot and Batch Numbers can be found on a product’s label following the words ‘Lot’ or ‘Batch’.

Already Own This Product?

Find documentation for the products that you have recently purchased in the Document Library.

Visit the Document Library

Our team of scientists has experience in all areas of research including Life Science, Material Science, Chemical Synthesis, Chromatography, Analytical and many others.

Contact Technical Service