Skip to Content
MilliporeSigma

ABN302

Sigma-Aldrich

Anti-Complex I-75kD Antibody

from rabbit, purified by affinity chromatography

Synonym(s):

NADH-ubiquinone oxidoreductase 75 kDa subunit, mitochondrial, Complex I-75kD, CI-75kD

Sign Into View Organizational & Contract Pricing

Select a Size


About This Item

UNSPSC Code:
12352203
eCl@ss:
32160702
NACRES:
NA.41
Technical Service
Need help? Our team of experienced scientists is here for you.
Let Us Assist
Technical Service
Need help? Our team of experienced scientists is here for you.
Let Us Assist

biological source

rabbit

Quality Level

conjugate

unconjugated

antibody form

affinity isolated antibody

antibody product type

primary antibodies

clone

polyclonal

purified by

affinity chromatography

species reactivity

mouse, rat, human

species reactivity (predicted by homology)

bovine (based on 100% sequence homology), chimpanzee (based on 100% sequence homology)

technique(s)

immunohistochemistry: suitable (paraffin)
western blot: suitable

NCBI accession no.

UniProt accession no.

shipped in

wet ice

target post-translational modification

unmodified

Gene Information

human ... NDUFS1(4719)

General description

Complex I-75kD (CI-75kD) is also called NADH-ubiquinone oxidoreductase 75 kDa subunit, mitochondrial (NDUFS1). Complex I-75kD is a core subunit of the mitochondrial membrane respiratory chain NADH dehydrogenase (Complex I), which transfers electrons from NADH to the respiratory chain, and is thought to be part of the minimal assembly required for catalysis. Complex I-75kD defects are thought to be a cause of Mitochondrial complex I deficiency (MT-C1D).
~75 kDa observed

Immunogen

KLH-conjugated linear peptide corresponding to 15 amino acids from the internal region of human Complex I-75kD.

Application

Anti-Complex I-75kD, Cat. No. ABN302, is a rabbit polyclonal antibody that detects Complex I-75kD and is tested for use in Western Blotting and Immunohistochemistry.
Research Category
Neuroscience
Research Sub Category
Developmental Signaling
Tested Applications

Western Blotting Analysis: A 1:5,000 dilution from a representative lot detected Complex I-75kD in rat brain, human brain, and human heart tissue lysates.

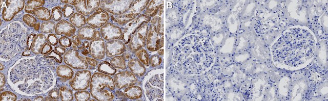
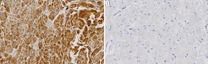
Immunohistochemistry (Paraffin) Analysis: A 1:1,000 dilution of this antibody detected Complex I-75kD in human kidney and human heart tissue sections.

Note: Actual optimal working dilutions must be determined by end user as specimens, and experimental conditions may vary with the end user.

Physical form

Affinity purified
Purified rabbit polyclonal antibody in buffer containing 0.1 M Tris-Glycine (pH 7.4), 150 mM NaCl with 0.05% sodium azide.

Preparation Note

Recommended storage: +2°C to +8°C.

Analysis Note

Evaluated by Western Blotting in mouse brain tissue lysate.

Western Blotting Analysis: A 1:5,000 dilution of this antibody detected Complex I-75kD in mouse brain tissue lysates.

Other Notes

Concentration: Please refer to the Certificate of Analysis for the lot-specific concentration.

Disclaimer

Unless otherwise stated in our catalog or other company documentation accompanying the product(s), our products are intended for research use only and are not to be used for any other purpose, which includes but is not limited to, unauthorized commercial uses, in vitro diagnostic uses, ex vivo or in vivo therapeutic uses or any type of consumption or application to humans or animals.

Not finding the right product?  

Try our Product Selector Tool.

Storage Class

12 - Non Combustible Liquids

wgk_germany

WGK 1

flash_point_f

Not applicable

flash_point_c

Not applicable


Certificates of Analysis (COA)

Search for Certificates of Analysis (COA) by entering the products Lot/Batch Number. Lot and Batch Numbers can be found on a product’s label following the words ‘Lot’ or ‘Batch’.

Already Own This Product?

Find documentation for the products that you have recently purchased in the Document Library.

Visit the Document Library

Leena P Bharath et al.
Cell metabolism, 32(1), 44-55 (2020-05-14)
Age is a non-modifiable risk factor for the inflammation that underlies age-associated diseases; thus, anti-inflammaging drugs hold promise for increasing health span. Cytokine profiling and bioinformatic analyses showed that Th17 cytokine production differentiates CD4+ T cells from lean, normoglycemic older and

Our team of scientists has experience in all areas of research including Life Science, Material Science, Chemical Synthesis, Chromatography, Analytical and many others.

Contact Technical Service